AMN Antibody
-
中文名稱:AMN兔多克隆抗體
-
貨號:CSB-PA880128LA01HU
-
規格:¥440
-
圖片:
-
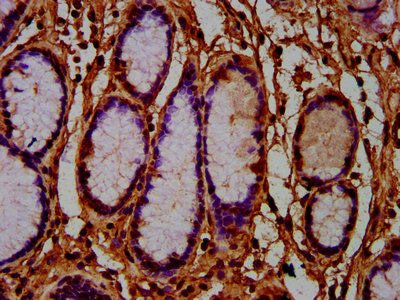
IHC image of CSB-PA880128LA01HU diluted at 1:600 and staining in paraffin-embedded human gastric cancer performed on a Leica BondTM system. After dewaxing and hydration, antigen retrieval was mediated by high pressure in a citrate buffer (pH 6.0). Section was blocked with 10% normal goat serum 30min at RT. Then primary antibody (1% BSA) was incubated at 4°C overnight. The primary is detected by a biotinylated secondary antibody and visualized using an HRP conjugated SP system.
-
Immunofluorescence staining of Hela cells with CSB-PA880128LA01HU at 1:200, counter-stained with DAPI. The cells were fixed in 4% formaldehyde, permeabilized using 0.2% Triton X-100 and blocked in 10% normal Goat Serum. The cells were then incubated with the antibody overnight at 4°C. The secondary antibody was Alexa Fluor 488-congugated AffiniPure Goat Anti-Rabbit IgG(H+L).
-
-
其他:
產品詳情
-
產品名稱:Rabbit anti-Homo sapiens (Human) AMN Polyclonal antibody
-
Uniprot No.:
-
基因名:AMN
-
別名:5033428N14Rik antibody; amn antibody; Amnion associated transmembrane protein antibody; Amnionless antibody; Amnionless homolog antibody; AMNLS_HUMAN antibody; AV002116 antibody; PRO1028 antibody; Protein amnionless antibody; Type I transmembrane protein antibody; UNQ513/PRO1028 antibody; Visceral endoderm specific type 1 transmembrane protein antibody
-
宿主:Rabbit
-
反應種屬:Human
-
免疫原:Recombinant Human Protein amnionless protein (25-163AA)
-
免疫原種屬:Homo sapiens (Human)
-
標記方式:Non-conjugated
本頁面中的產品,AMN Antibody (CSB-PA880128LA01HU),的標記方式是Non-conjugated。對于AMN Antibody,我們還提供其他標記。見下表:
-
克隆類型:Polyclonal
-
抗體亞型:IgG
-
純化方式:>95%, Protein G purified
-
濃度:It differs from different batches. Please contact us to confirm it.
-
保存緩沖液:Preservative: 0.03% Proclin 300
Constituents: 50% Glycerol, 0.01M PBS, pH 7.4 -
產品提供形式:Liquid
-
應用范圍:ELISA, IHC, IF
-
推薦稀釋比:
Application Recommended Dilution IHC 1:500-1:1000 IF 1:200-1:500 -
Protocols:
-
儲存條件:Upon receipt, store at -20°C or -80°C. Avoid repeated freeze.
-
貨期:Basically, we can dispatch the products out in 1-3 working days after receiving your orders. Delivery time maybe differs from different purchasing way or location, please kindly consult your local distributors for specific delivery time.
-
用途:For Research Use Only. Not for use in diagnostic or therapeutic procedures.
相關產品
靶點詳情
-
功能:Membrane-bound component of the endocytic receptor formed by AMN and CUBN. Required for normal CUBN glycosylation and trafficking to the cell surface. The complex formed by AMN and CUBN is required for efficient absorption of vitamin B12. Required for normal CUBN-mediated protein transport in the kidney (Probable).
-
基因功能參考文獻:
- Study shows that cubilin mutations (novel and some previously reported) and all previously reported amnionless missense mutations resulted in endoplasmic reticulum retention and completely inhibited amnionless-dependent plasma membrane expression of cubilin. PMID: 29402915
- heterozygous mutations in AMN in a family from the United Kingdom with clinical features of Imerslund-Grasbeck Syndrome PMID: 26040326
- Our genetic screening of 154 families of patients with inherited cobalamin malabsorption revealed population-specific mutations, mutational hotspots, and functionally distinct regions in the three causal genes: CUBN, AMN, and GIF. PMID: 22929189
- We present evidence that this founder mutation causes over 50% of the Imerslund-Grasbeck syndrome (IGS) cases among Arabic, Turkish, and Sephardic Jewish families, and the mutation is as old as human civvlization. PMID: 22078000
- amnionless is essential for the correct luminal expression of cubilin in humans. PMID: 21750092
- homozygous mutations affecting exons 1-4 of human AMN lead to megaloblastic anemia 1 PMID: 12590260
- cubilin and amnionless are subunits of a novel cubilin/amnionless (cubam) complex PMID: 14576052
- Recurrent spontaneous abortions may be caused by mutations in the Amnionless gene. PMID: 16403802
- This review summarizes recent data on the biological function of amnionless and focuses on its implication in embryonic nutrition and central nervous system malformations. PMID: 17979745
顯示更多
收起更多
-
相關疾病:Recessive hereditary megaloblastic anemia 1 (RH-MGA1)
-
亞細胞定位:[Isoform 1]: Apical cell membrane; Single-pass type I membrane protein. Cell membrane; Single-pass type I membrane protein. Endosome membrane. Membrane, coated pit.; [Soluble protein amnionless]: Secreted.
-
組織特異性:Detected in proximal tubules in the kidney cortex (at protein level). Long isoforms are highly expressed in small intestine, colon and kidney (renal proximal tubule epithelial cells). Shorter isoforms are detected at lower levels in testis, thymus and per
-
數據庫鏈接:
Most popular with customers
-
YWHAB Recombinant Monoclonal Antibody
Applications: ELISA, WB, IHC, IF, FC
Species Reactivity: Human, Mouse, Rat
-
Phospho-YAP1 (S127) Recombinant Monoclonal Antibody
Applications: ELISA, WB, IHC
Species Reactivity: Human
-
-
-
-
-
-















