AMIGO2 Antibody
-
中文名稱:AMIGO2兔多克隆抗體
-
貨號:CSB-PA555803
-
規格:¥1100
-
圖片:
-
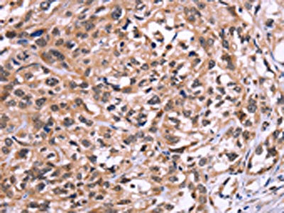
The image on the left is immunohistochemistry of paraffin-embedded Human esophagus cancer tissue using CSB-PA555803(AMIGO2 Antibody) at dilution 1/50, on the right is treated with fusion protein. (Original magnification: ×200)
-
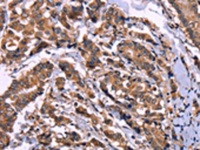
The image on the left is immunohistochemistry of paraffin-embedded Human breast cancer tissue using CSB-PA555803(AMIGO2 Antibody) at dilution 1/50, on the right is treated with fusion protein. (Original magnification: ×200)
-
Gel: 6%SDS-PAGE, Lysate: 40 μg, Lane 1-2: SP20 cells, mouse heart tissue, Primary antibody: CSB-PA555803(AMIGO2 Antibody) at dilution 1/615, Secondary antibody: Goat anti rabbit IgG at 1/8000 dilution, Exposure time: 2 minutes
-
-
其他:
產品詳情
-
Uniprot No.:
-
基因名:AMIGO2
-
別名:Adhesion molecule with Ig like domain 2 antibody; ALI 1 antibody; ALI1 antibody; Alivin 1 antibody; Alivin-1 antibody; Alivin1 antibody; AMGO2_HUMAN antibody; AMIGO 2 antibody; AMIGO-2 antibody; Amigo2 antibody; Amphoterin induced gene 2 antibody; Amphoterin induced protein 2 antibody; Amphoterin-induced gene and open reading frame 2 antibody; Amphoterin-induced protein 2 antibody; DEGA antibody; Differentially expressed in gastric adenocarcinoma antibody; Differentially expressed in gastric adenocarcinomas antibody; Transmembrane protein AMIGO 2 antibody; Transmembrane protein AMIGO2 antibody
-
宿主:Rabbit
-
反應種屬:Human,Mouse,Rat
-
免疫原:Fusion protein of Human AMIGO2
-
免疫原種屬:Homo sapiens (Human)
-
標記方式:Non-conjugated
-
抗體亞型:IgG
-
純化方式:Antigen affinity purification
-
濃度:It differs from different batches. Please contact us to confirm it.
-
保存緩沖液:-20°C, pH7.4 PBS, 0.05% NaN3, 40% Glycerol
-
產品提供形式:Liquid
-
應用范圍:ELISA,WB,IHC
-
推薦稀釋比:
Application Recommended Dilution ELISA 1:2000-1:5000 WB 1:500-1:2000 IHC 1:50-1:200 -
Protocols:
-
儲存條件:Upon receipt, store at -20°C or -80°C. Avoid repeated freeze.
-
貨期:Basically, we can dispatch the products out in 1-3 working days after receiving your orders. Delivery time maybe differs from different purchasing way or location, please kindly consult your local distributors for specific delivery time.
-
用途:For Research Use Only. Not for use in diagnostic or therapeutic procedures.
相關產品
靶點詳情
-
功能:Required for depolarization-dependent survival of cultured cerebellar granule neurons. May mediate homophilic as well as heterophilic cell-cell interaction with AMIGO1 or AMIGO3. May contribute to signal transduction through its intracellular domain. May be required for tumorigenesis of a subset of gastric adenocarcinomas.
-
基因功能參考文獻:
- Amigo2, which is a member of the Amigo family that shows high species conservation, may be involved in determining liver metastasis by preferential adhesion of the tumour cells to liver endothelial cells. PMID: 28272394
- this study uncovers mechanisms underlying the therapeutic effects of BETi in melanoma and reveals the AMIGO2-PTK7 axis as a targetable pathway for metastatic melanoma. PMID: 29149598
- AMIGO2 is an important regulator of the PDK1-Akt pathway. PMID: 26553931
- Expression of ali1 promotes depolarization-dependent survival of cerebellar granule neurons. Mouse ali1 mapped to a chromosome 15 locus syntenic to candidate loci for familial Alzheimer's disease type 5 and Parkinson's disease 8 on human chromosome 12. PMID: 12843293
- Stable expression of a DEGA/AMIGO-2 antisense construct led to altered morphology, increased ploidy, chromosomal instability, decreased cell adhesion/migration, and a nearly complete abrogation of tumorigenicity in nude mice. PMID: 15107827
顯示更多
收起更多
-
亞細胞定位:Cell membrane; Single-pass type I membrane protein. Nucleus.
-
蛋白家族:Immunoglobulin superfamily, AMIGO family
-
組織特異性:Highest levels in breast, ovary, cervix, and uterus. Lower levels in lung, colon, and rectum. Differentially expressed in 56% of thyroid, 57% of pancreatic and 45% of stomach cancers.
-
數據庫鏈接:
Most popular with customers
-
YWHAB Recombinant Monoclonal Antibody
Applications: ELISA, WB, IHC, IF, FC
Species Reactivity: Human, Mouse, Rat
-
Phospho-YAP1 (S127) Recombinant Monoclonal Antibody
Applications: ELISA, WB, IHC
Species Reactivity: Human
-
-
-
-
-
-
VDAC1 Recombinant Monoclonal Antibody
Applications: ELISA, WB, IHC
Species Reactivity: Human, Mouse, Rat















