AMD1 Antibody
-
中文名稱:AMD1兔多克隆抗體
-
貨號:CSB-PA286404
-
規格:¥1100
-
圖片:
-
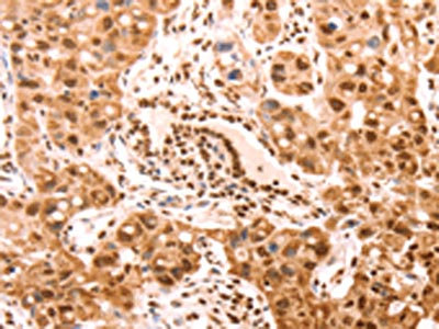
The image on the left is immunohistochemistry of paraffin-embedded Human esophagus cancer tissue using CSB-PA286404(AMD1 Antibody) at dilution 1/25, on the right is treated with synthetic peptide. (Original magnification: ×200)
-
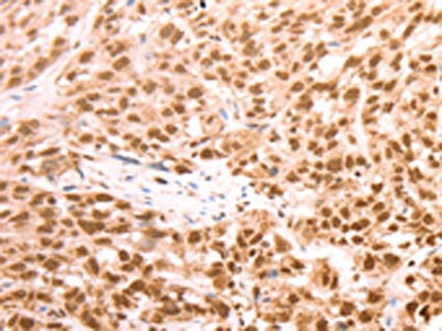
The image on the left is immunohistochemistry of paraffin-embedded Human lung cancer tissue using CSB-PA286404(AMD1 Antibody) at dilution 1/25, on the right is treated with synthetic peptide. (Original magnification: ×200)
-
-
其他:
產品詳情
-
Uniprot No.:
-
基因名:AMD1
-
別名:Adenosylmethionine decarboxylase 1 antibody; AdoMetDC antibody; AMD1 antibody; DCAM_HUMAN antibody; EC 4.1.1.50 antibody; FLJ26964 antibody; S adenosylmethionine decarboxylase 1 antibody; S adenosylmethionine decarboxylase proenzyme antibody; S-adenosylmethionine decarboxylase beta chain antibody; SAMDC antibody
-
宿主:Rabbit
-
反應種屬:Human,Mouse,Rat
-
免疫原:Synthetic peptide of Human AMD1
-
免疫原種屬:Homo sapiens (Human)
-
標記方式:Non-conjugated
-
抗體亞型:IgG
-
純化方式:Antigen affinity purification
-
濃度:It differs from different batches. Please contact us to confirm it.
-
保存緩沖液:-20°C, pH7.4 PBS, 0.05% NaN3, 40% Glycerol
-
產品提供形式:Liquid
-
應用范圍:ELISA,IHC
-
推薦稀釋比:
Application Recommended Dilution ELISA 1:2000-1:10000 IHC 1:50-1:200 -
Protocols:
-
儲存條件:Upon receipt, store at -20°C or -80°C. Avoid repeated freeze.
-
貨期:Basically, we can dispatch the products out in 1-3 working days after receiving your orders. Delivery time maybe differs from different purchasing way or location, please kindly consult your local distributors for specific delivery time.
-
用途:For Research Use Only. Not for use in diagnostic or therapeutic procedures.
相關產品
靶點詳情
-
功能:Essential for biosynthesis of the polyamines spermidine and spermine. Promotes maintenance and self-renewal of embryonic stem cells, by maintaining spermine levels.
-
基因功能參考文獻:
- AMD1 mRNA employs ribosome stalling as a mechanism for molecular memory formation PMID: 29310120
- AMD1 is upregulated in human prostate cancer with activated mTORC1 PMID: 28658205
- AMD1 gene variants previously found to associate among Indian children did not associate with risk of obesity or obesity-related quantitative measures among Caucasian children and juvenile men from Denmark. PMID: 26558825
- Gene expression studies have identified altered expression of AMD1 in suicide completers with a history of mood disorders. PMID: 23260169
- This study demomistrated that H3K4me3 modification plays an important role in up regulation of AMD1 in prefrontal cortex. PMID: 22008221
- Genetic variant of AMD1 is associated with obesity. PMID: 22496743
- Overexpression of S-adenosylmethionine decarboxylase in rodent fibroblasts led to aggressive transformants. PMID: 21134486
- Decreased AMD1 is associated with prostate cancer. PMID: 20215859
- AdoMetDC is ubiquitinated and degraded by the 26 S proteasome PMID: 14718534
- The adhesion-dependent expression of SAM-DC and ODC contributes to extracellular matrix-dependent salivary gland cell differentiation. PMID: 15521072
- For such cells, gamma-radiation and cisplatin, which are direct DNA-damaging agents, were very effective for promoting cell death. PMID: 17069747
- schizophrenia and bipolar disorder patients, the increase of S-adenosyl methionine is associated with an overexpression of DNA methyltransferase-1 mRNA in Brodmann's area 9 GABAergic neurons. PMID: 17259861
- Antisense RNA specifically inhibited the expression of ODC and AdoMetDC and the synthesis of polyamine, while it induced p21 expression, resulting in cell growth arrest in the G1 phase in prostate cancer cells PMID: 18548481
- Binding of putrescine to wild type dimeric ADOMETDC protein is cooperative; putrescine activates the enzyme through electrostatic effects and acts as a switch to correctly orient key catalytic residues. PMID: 19053272
- determined crystal structures cocrystallized with 5'-deoxy-5'-dimethylthioadenosine and 5'-deoxy-5'-(N-dimethyl)amino-8-methyladenosine. The crystal structures revealed cation-pi interaction between the ligand and aromatic side chains of Phe7 and Phe223 PMID: 19527050
顯示更多
收起更多
-
蛋白家族:Eukaryotic AdoMetDC family
-
數據庫鏈接:
Most popular with customers
-
YWHAB Recombinant Monoclonal Antibody
Applications: ELISA, WB, IHC, IF, FC
Species Reactivity: Human, Mouse, Rat
-
Phospho-YAP1 (S127) Recombinant Monoclonal Antibody
Applications: ELISA, WB, IHC
Species Reactivity: Human
-
-
-
-
-
-















