ALYREF Antibody
-
中文名稱:ALYREF兔多克隆抗體
-
貨號:CSB-PA922317
-
規格:¥1100
-
圖片:
-
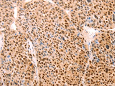
The image on the left is immunohistochemistry of paraffin-embedded Human liver cancer tissue using CSB-PA922317(ALYREF Antibody) at dilution 1/15, on the right is treated with synthetic peptide. (Original magnification: ×200)
-
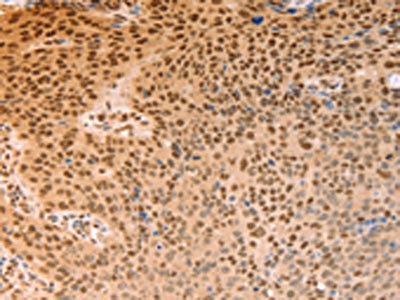
The image on the left is immunohistochemistry of paraffin-embedded Human lymphoma tissue using CSB-PA922317(ALYREF Antibody) at dilution 1/15, on the right is treated with synthetic peptide. (Original magnification: ×200)
-
-
其他:
產品詳情
-
Uniprot No.:
-
基因名:ALYREF
-
別名:Ally of AML-1 and LEF-1 antibody; Ally of AML1 and LEF1 antibody; ALY antibody; ALY/REF antibody; Aly/REF export factor antibody; BEF antibody; bZIP enhancing factor antibody; bZIP-enhancing factor BEF antibody; REF antibody; THO complex 4 antibody; THO complex subunit 4 antibody; Tho4 antibody; thoc4 antibody; THOC4_HUMAN antibody; Transcriptional coactivator Aly/REF antibody; Transcriptional coactivator antibody
-
宿主:Rabbit
-
反應種屬:Human,Mouse
-
免疫原:Synthetic peptide of Human ALYREF
-
免疫原種屬:Homo sapiens (Human)
-
標記方式:Non-conjugated
-
抗體亞型:IgG
-
純化方式:Antigen affinity purification
-
濃度:It differs from different batches. Please contact us to confirm it.
-
保存緩沖液:-20°C, pH7.4 PBS, 0.05% NaN3, 40% Glycerol
-
產品提供形式:Liquid
-
應用范圍:ELISA,IHC
-
推薦稀釋比:
Application Recommended Dilution ELISA 1:2000-1:5000 IHC 1:25-1:100 -
Protocols:
-
儲存條件:Upon receipt, store at -20°C or -80°C. Avoid repeated freeze.
-
貨期:Basically, we can dispatch the products out in 1-3 working days after receiving your orders. Delivery time maybe differs from different purchasing way or location, please kindly consult your local distributors for specific delivery time.
-
用途:For Research Use Only. Not for use in diagnostic or therapeutic procedures.
相關產品
靶點詳情
-
功能:Export adapter involved in nuclear export of spliced and unspliced mRNA. Binds mRNA which is thought to be transferred to the NXF1-NXT1 heterodimer for export (TAP/NFX1 pathway). Component of the TREX complex which is thought to couple mRNA transcription, processing and nuclear export, and specifically associates with spliced mRNA and not with unspliced pre-mRNA. TREX is recruited to spliced mRNAs by a transcription-independent mechanism, binds to mRNA upstream of the exon-junction complex (EJC) and is recruited in a splicing- and cap-dependent manner to a region near the 5' end of the mRNA where it functions in mRNA export to the cytoplasm. TREX recruitment occurs via an interaction between ALYREF/THOC4 and the cap-binding protein NCBP1. The TREX complex is essential for the export of Kaposi's sarcoma-associated herpesvirus (KSHV) intronless mRNAs and infectious virus production; ALYREF/THOC4 mediates the recruitment of the TREX complex to the intronless viral mRNA. Required for TREX complex assembly and for linking DDX39B to the cap-binding complex (CBC). In conjunction with THOC5 functions in NXF1-NXT1 mediated nuclear export of HSP70 mRNA; both proteins enhance the RNA binding activity of NXF1 and are required for NXF1 localization to the nuclear rim. Involved in the nuclear export of intronless mRNA; proposed to be recruited to intronless mRNA by ATP-bound DDX39B. Involved in transcription elongation and genome stability. Involved in mRNA export of C5-methylcytosine (m5C)-containing mRNAs: specifically recognizes and binds m5C mRNAs and mediates their nucleo-cytoplasmic shuttling.; Acts as chaperone and promotes the dimerization of transcription factors containing basic leucine zipper (bZIP) domains and thereby promotes transcriptional activation.
-
基因功能參考文獻:
- Dysregulation of ALYREF-mediated mRNA export upon NSUN2 depletion could be restored by reconstitution of wild-type but not methyltransferase-defective NSUN2. PMID: 28418038
- ALYREF mainly binds to the 5' and the 3' regions of the mRNA. ALYREF is likely recruited to mRNAs by PABPN1 and the 3' processing machinery. PMID: 28934468
- The competition between hMTR4 and ALYREF determines exosome recruitment and functions in creating balanced nuclear RNA pools for degradation and export. PMID: 28801509
- small hairpin RNA-mediated down-regulation of TAP or Aly reduced nuclear export of HDAg-L and assembly of HDV virions. Furthermore, a peptide, TAT-HDAg-L(198-210), containing the 10-amino acid TAT peptide and HDAg-L(198-210), inhibited the interaction between HDAg-L and TAP and blocked HDV virion assembly and secretion. PMID: 27807029
- A short conserved motif in ALYREF directs cap- and exon junction complex-dependent assembly of export complexes on spliced mRNAs. PMID: 26773052
- the data provides the first site-specific description of how viral mRNA is locked by a herpes viral adaptor protein in complex with cellular ALYREF, giving herpesvirus access to the cellular mRNA export machinery PMID: 24550725
- a spatial map is produced in living cells of the sites for the interaction of two TREX subunits, Alyref and Chtop, with Nxf1. PMID: 23826332
- ALY is a novel E2F2-interacting protein and a relevant modulator of E2F-responsive gene expression. PMID: 23297349
- The interaction of the cellular export adaptor protein Aly/REF with ICP27 contributes to the efficiency of herpes simplex virus 1 mRNA export. PMID: 23637401
- High ALY expression is associated with lymph node metastasis in oral squamous cell carcinoma. PMID: 23242234
- Authors propose that Aly, THO and UAP56 form a highly integrated unit to associate with the spliced mRNA and function in mRNA export. PMID: 23222130
- REF/Aly-ORF57 interaction is not essential for KSHV lytic replication but may contribute to target RNA stability independent of effects on RNA export, suggesting a novel role for REF/Aly in viral RNA metabolism. PMID: 22761374
- When the TREX components UAP56 or Aly are knocked down, spliced mRNA, as well as total polyA+ RNA, accumulates in nuclear speckle domains. PMID: 20981025
- Results describe the subcellular localization of ICP27 and its colocalization with cellular RNA export factors Aly/REF and TAP/NXF1. PMID: 20015986
- suggest a central role for ALY in T-cell enhancer function and oncogene activation PMID: 17229714
- Aly is a physiological target of nuclear PI3K signaling, which regulates its subnuclear residency, cell proliferation, and mRNA export activities through nuclear Akt phosphorylation and phosphoinositide association. PMID: 18562279
- Adaptor Aly functions in the Tap-p15-mediated nuclear export of HSP70 mRNA. PMID: 19165146
- The authors demonstrate that ORF57 recruits several members of hTREX, namely Aly, UAP56 and hTHO-complex proteins, onto the viral mRNAs to assemble an export-competent ribonucleoprotein particle. PMID: 19264631
- TAP/NXF1, but not Aly/REF, is required for RNA export during HSV-1 infection. PMID: 19369354
- These results indicate that ICP27 RGG box methylation regulates interaction ALY and SRPK1 proteins. PMID: 19553338
顯示更多
收起更多
-
亞細胞定位:Nucleus. Nucleus speckle. Cytoplasm.
-
蛋白家族:ALYREF family
-
組織特異性:Expressed in a wide variety of cancer types.
-
數據庫鏈接:
Most popular with customers
-
-
YWHAB Recombinant Monoclonal Antibody
Applications: ELISA, WB, IHC, IF, FC
Species Reactivity: Human, Mouse, Rat
-
Phospho-YAP1 (S127) Recombinant Monoclonal Antibody
Applications: ELISA, WB, IHC
Species Reactivity: Human
-
-
-
-
-















