ALPPL2 Antibody
-
中文名稱:ALPPL2兔多克隆抗體
-
貨號:CSB-PA182593
-
規格:¥1100
-
圖片:
-
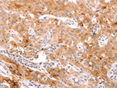
The image on the left is immunohistochemistry of paraffin-embedded Human esophagus cancer tissue using CSB-PA182593(ALPPL2 Antibody) at dilution 1/20, on the right is treated with synthetic peptide. (Original magnification: ×200)
-
The image on the left is immunohistochemistry of paraffin-embedded Human lung cancer tissue using CSB-PA182593(ALPPL2 Antibody) at dilution 1/20, on the right is treated with synthetic peptide. (Original magnification: ×200)
-
-
其他:
產品詳情
-
Uniprot No.:
-
基因名:ALPPL2
-
別名:Akp5 antibody; Alkaline phosphatase antibody; Alkaline phosphatase Nagao isozyme antibody; Alkaline phosphatase placental like antibody; ALP 1 antibody; ALP-1 antibody; ALP1 antibody; ALPG antibody; ALPPL 2 antibody; ALPPL antibody; ALPPL2 antibody; C77216 antibody; D1Ertd816e antibody; GCAP antibody; Germ cell alkaline phosphatase antibody; Nagao isozyme antibody; Placental alkaline phosphatase-like antibody; Placental like alkaline phosphatase antibody; placental-like antibody; PLAP like antibody; PLAP-like antibody; PPBN_HUMAN antibody; Testicular and thymus alkaline phosphatase antibody
-
宿主:Rabbit
-
反應種屬:Human
-
免疫原:Synthetic peptide of Human ALPPL2
-
免疫原種屬:Homo sapiens (Human)
-
標記方式:Non-conjugated
-
抗體亞型:IgG
-
純化方式:Antigen affinity purification
-
濃度:It differs from different batches. Please contact us to confirm it.
-
保存緩沖液:-20°C, pH7.4 PBS, 0.05% NaN3, 40% Glycerol
-
產品提供形式:Liquid
-
應用范圍:ELISA,IHC
-
推薦稀釋比:
Application Recommended Dilution ELISA 1:2000-1:5000 IHC 1:25-1:100 -
Protocols:
-
儲存條件:Upon receipt, store at -20°C or -80°C. Avoid repeated freeze.
-
貨期:Basically, we can dispatch the products out in 1-3 working days after receiving your orders. Delivery time maybe differs from different purchasing way or location, please kindly consult your local distributors for specific delivery time.
-
用途:For Research Use Only. Not for use in diagnostic or therapeutic procedures.
相關產品
靶點詳情
-
功能:Alkaline phosphatase that can hydrolyze various phosphate compounds.
-
基因功能參考文獻:
- aptamer-mediated identification of ALPPL-2 on the cell surface and cell secretions of pancreatic cancer cells supports its potential use in the serum- and membrane-based diagnosis of PDAC PMID: 23467613
- These results indicate that IAP is strongly involved in chylomicron formation and fatty acid metabolism might change among ABO blood type. PMID: 16412386
- Premature induction of hypertrophy-related molecules (type X collagen and matrix metalloproteinase 13) occurred before production of type II collagen and was followed by up-regulation of alkaline phosphatase activity. PMID: 17009260
-
亞細胞定位:Cell membrane; Lipid-anchor, GPI-anchor.
-
蛋白家族:Alkaline phosphatase family
-
組織特異性:Trace amounts in the testis and thymus, and in elevated amounts in germ cell tumors.
-
數據庫鏈接:
Most popular with customers
-
-
YWHAB Recombinant Monoclonal Antibody
Applications: ELISA, WB, IHC, IF, FC
Species Reactivity: Human, Mouse, Rat
-
Phospho-YAP1 (S127) Recombinant Monoclonal Antibody
Applications: ELISA, WB, IHC
Species Reactivity: Human
-
-
-
-
-















