ALPI Antibody
-
中文名稱:ALPI兔多克隆抗體
-
貨號:CSB-PA921124
-
規格:¥1100
-
圖片:
-
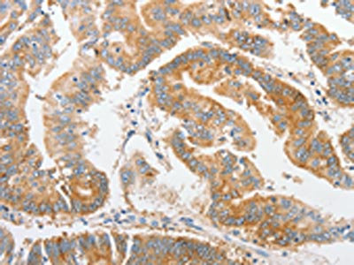
The image on the left is immunohistochemistry of paraffin-embedded Human colon cancer tissue using CSB-PA921124(ALPI Antibody) at dilution 1/25, on the right is treated with fusion protein. (Original magnification: ×200)
-
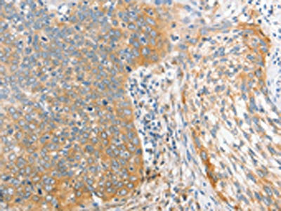
The image on the left is immunohistochemistry of paraffin-embedded Human cervical cancer tissue using CSB-PA921124(ALPI Antibody) at dilution 1/25, on the right is treated with fusion protein. (Original magnification: ×200)
-
-
其他:
產品詳情
-
Uniprot No.:
-
基因名:
-
別名:Alkaline phosphatase intestinal antibody; Alkaline phosphomonoesterase antibody; Alpi antibody; Glycerophosphatase antibody; IAP antibody; Intestinal alkaline phosphatase antibody; Intestinal-type alkaline phosphatase antibody; Kasahara isozyme antibody; OTTHUMP00000164357 antibody; PPBI_HUMAN antibody
-
宿主:Rabbit
-
反應種屬:Human
-
免疫原:Fusion protein of Human ALPI
-
免疫原種屬:Homo sapiens (Human)
-
標記方式:Non-conjugated
-
抗體亞型:IgG
-
純化方式:Antigen affinity purification
-
濃度:It differs from different batches. Please contact us to confirm it.
-
保存緩沖液:-20°C, pH7.4 PBS, 0.05% NaN3, 40% Glycerol
-
產品提供形式:Liquid
-
應用范圍:ELISA,IHC
-
推薦稀釋比:
Application Recommended Dilution ELISA 1:2000-1:5000 IHC 1:25-1:100 -
Protocols:
-
儲存條件:Upon receipt, store at -20°C or -80°C. Avoid repeated freeze.
-
貨期:Basically, we can dispatch the products out in 1-3 working days after receiving your orders. Delivery time maybe differs from different purchasing way or location, please kindly consult your local distributors for specific delivery time.
-
用途:For Research Use Only. Not for use in diagnostic or therapeutic procedures.
相關產品
靶點詳情
-
功能:Alkaline phosphatase that can hydrolyze various phosphate compounds.
-
基因功能參考文獻:
- Data confirm that, in enterocytes (Caco-2 cells), 1-alpha,25-dihydroxy-vitamin-D3 up-regulates expression of 2 isoforms of IAP, alternative splicing variants. PMID: 28931466
- Expressions of human intestinal alkaline phosphatase and sucrase-isomaltase, which are intestinal differentiation markers, were highly enhanced in Caco-2 cells by menaquinone-4. PMID: 27865621
- Data indicate alkaline phosphatase (AP) as the primary soluble ectonucleotidase in infants undergoing cardiopulmonary bypass and show decreased capacity to clear AMP when AP activity decreases post-bypass. PMID: 27384524
- Intestinal alkaline phosphatase is a major regulator of gut mucosal permeability and appears to work at least partly through improving tight junction protein levels and localization. PMID: 27106638
- A High Level of Intestinal Alkaline Phosphatase Is Protective Against Type 2 Diabetes Mellitus Irrespective of Obesity PMID: 26844282
- Review of the role of intestinal alkaline phosphatase in inflammatory diseases. Loss of IAP expression or function is associated with increased intestinal inflammation, dysbiosis, bacterial translocation and subsequently systemic inflammation. PMID: 27083970
- The expression of ALPi and MUC5AC in cocultures of Caco-2 and HT29 cells developed for permeability studies is reported. PMID: 26299896
- Data indicate that histone deacetylase inhibitors (HDACi) induce intestinal alkaline phosphatase (ALPi) in a subset of colon cancer cell lines in a Kruppel-like factor 5 (KLF5)-dependent manner. PMID: 25037223
- Report lowered intestinal alkaline phosphatase in the colonic mucosa of children with inflammatory bowel disease. PMID: 22783049
- we are the first to demonstrate the alteration of protein expression of iAP in the duodenal mucosa of children with newly diagnosed coeliac disease PMID: 22262031
- Mechanism of IAP action appears to be through dephosphorylation of specific bacterial components, including LPS, CpG DNA, and flagellin, and not on live bacteria. IAP likely targets these bacterially derived molecules as gut mucosal defense factor. PMID: 20489044
- the structural differences in human AP isoforms are demonstrated through models PMID: 12372831
- intestinal alkaline transactivation by Kruppel-like factor-4 is likely mediated through a critical region located within the proximal IAP promoter region PMID: 12919939
- Northern blotting detected expression of two IAP transcripts, which were increased approximately 3-fold in response to thyroid hormone PMID: 15143152
- receptor for Aeromonas sobria hemolysin PMID: 15715171
- Cdx1 activates the IAP gene via a novel cis element, whereas Cdx2 inhibits the Cdx1 effects PMID: 15774940
- Cotransfection with an HNF-4alpha expression vector demonstrated a direct activation of the ALPI promoter through -94 to -82 element PMID: 15831710
- Crohn's disease increases the alkaline phosphatase activity in the intestine. Use histochemistry to differentiate Crohn's disease/ulcerative colitis. PMID: 17498884
- has the ability to detoxify lipopolysaccharide and prevent bacterial invasion across the gut mucosal barrier. IAP expression and function are lost with starvation and maintained by enteral feeding PMID: 18292227
- Cathepsin C propeptide interacts with intestinal alkaline phosphatase (IAP) and heat shock cognate protein 70. The propeptide of cathepsin C may stimulate the sorting to the lysosome contributing to the degradation of IAP in Caco-2 cells. PMID: 18307834
- Suggest role for lysophosphatidylcholine in brush-border intestinal alkaline phosphatase release and restoration. PMID: 19407215
顯示更多
收起更多
-
亞細胞定位:Cell membrane; Lipid-anchor, GPI-anchor.
-
蛋白家族:Alkaline phosphatase family
-
數據庫鏈接:
Most popular with customers
-
YWHAB Recombinant Monoclonal Antibody
Applications: ELISA, WB, IHC, IF, FC
Species Reactivity: Human, Mouse, Rat
-
Phospho-YAP1 (S127) Recombinant Monoclonal Antibody
Applications: ELISA, WB, IHC
Species Reactivity: Human
-
-
-
-
-
-















