ALG8 Antibody
-
中文名稱:ALG8兔多克隆抗體
-
貨號:CSB-PA725690
-
規格:¥1100
-
圖片:
-
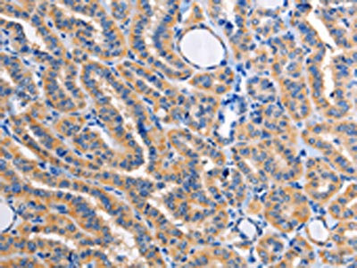
The image on the left is immunohistochemistry of paraffin-embedded Human thyroid cancer tissue using CSB-PA725690(ALG8 Antibody) at dilution 1/30, on the right is treated with fusion protein. (Original magnification: ×200)
-
The image on the left is immunohistochemistry of paraffin-embedded Human esophagus cancer tissue using CSB-PA725690(ALG8 Antibody) at dilution 1/30, on the right is treated with fusion protein. (Original magnification: ×200)
-
-
其他:
產品詳情
-
Uniprot No.:
-
基因名:
-
別名:ALG8 antibody; HUSSY-02Probable dolichyl pyrophosphate Glc1Man9GlcNAc2 alpha-1,3-glucosyltransferase antibody; EC 2.4.1.265 antibody; Asparagine-linked glycosylation protein 8 homolog antibody; Dol-P-Glc:Glc(1)Man(9)GlcNAc(2)-PP-dolichyl alpha-1,3-glucosyltransferase antibody; Dolichyl-P-Glc:Glc1Man9GlcNAc2-PP-dolichyl glucosyltransferase antibody
-
宿主:Rabbit
-
反應種屬:Human,Mouse
-
免疫原:Fusion protein of Human ALG8
-
免疫原種屬:Homo sapiens (Human)
-
標記方式:Non-conjugated
-
抗體亞型:IgG
-
純化方式:Antigen affinity purification
-
濃度:It differs from different batches. Please contact us to confirm it.
-
保存緩沖液:-20°C, pH7.4 PBS, 0.05% NaN3, 40% Glycerol
-
產品提供形式:Liquid
-
應用范圍:ELISA,IHC
-
推薦稀釋比:
Application Recommended Dilution ELISA 1:2000-1:5000 IHC 1:25-1:100 -
Protocols:
-
儲存條件:Upon receipt, store at -20°C or -80°C. Avoid repeated freeze.
-
貨期:Basically, we can dispatch the products out in 1-3 working days after receiving your orders. Delivery time maybe differs from different purchasing way or location, please kindly consult your local distributors for specific delivery time.
-
用途:For Research Use Only. Not for use in diagnostic or therapeutic procedures.
相關產品
靶點詳情
-
功能:Adds the second glucose residue to the lipid-linked oligosaccharide precursor for N-linked glycosylation. Transfers glucose from dolichyl phosphate glucose (Dol-P-Glc) onto the lipid-linked oligosaccharide Glc(1)Man(9)GlcNAc(2)-PP-Dol before it is transferred to the nascent peptide. Required for PKD1/Polycystin-1 maturation and localization to the plasma membrane of the primary cilia.
-
基因功能參考文獻:
- used whole exome sequencing in a discovery cohort of 102 unrelated patients who were excluded for mutations in the 2 most common polycystic liver disease genes, PRKCSH and SEC63, to identify heterozygous loss-of-function mutations in 3 additional genes, ALG8, GANAB, and SEC61B. Similarly to PRKCSH and SEC63, these genes encode proteins that are integral to the protein biogenesis pathway in the endoplasmic reticulum. PMID: 28375157
- In ALG8-CDG, isoelectric focusing of transferrin in serum or plasma shows an abnormal sialotransferrin pattern. The diagnosis is confirmed by mutation analysis in ALG8; all patients reported so far had point mutations or small deletions PMID: 26066342
- We reviewed the clinical features in all nine previously reported patients diagnosed with ALG8-disorder of glycosylation with a special focus on their skin signs. PMID: 24555185
- Severe ALG8 congenital disorder of glycosylation(CDG-Ih) is associated with homozygosity for two novel missense mutations in exon 8 of ALG8 PMID: 22306853
- ALG8 mutations expand the clinical spectrum of congenital disorder of glycosylation type Ih. PMID: 19648040
- ALG8 splice site mutations and missense mutations causing ALG8 deficiency in patients with congenital disorders of glycosylation type Ih. PMID: 15235028
顯示更多
收起更多
-
相關疾?。?/div>Congenital disorder of glycosylation 1H (CDG1H)亞細胞定位:Endoplasmic reticulum membrane; Multi-pass membrane protein.蛋白家族:ALG6/ALG8 glucosyltransferase family數據庫鏈接:
Most popular with customers
-
-
YWHAB Recombinant Monoclonal Antibody
Applications: ELISA, WB, IHC, IF, FC
Species Reactivity: Human, Mouse, Rat
-
Phospho-YAP1 (S127) Recombinant Monoclonal Antibody
Applications: ELISA, WB, IHC
Species Reactivity: Human
-
-
-
-
-















