ALG12 Antibody
-
中文名稱:ALG12兔多克隆抗體
-
貨號:CSB-PA092883
-
規格:¥1100
-
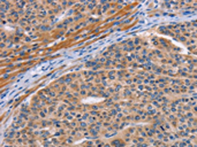
圖片:
-
The image on the left is immunohistochemistry of paraffin-embedded Human lymphoma tissue using CSB-PA092883(ALG12 Antibody) at dilution 1/20, on the right is treated with fusion protein. (Original magnification: ×200)
-
The image on the left is immunohistochemistry of paraffin-embedded Human liver cancer tissue using CSB-PA092883(ALG12 Antibody) at dilution 1/20, on the right is treated with fusion protein. (Original magnification: ×200)
-
-
其他:
產品詳情
-
Uniprot No.:
-
基因名:ALG12
-
別名:6-mannosyltransferase antibody; ALG12 antibody; ALG12_HUMAN antibody; Asparagine linked glycosylation 12 alpha 1 6 mannosyltransferase homolog antibody; Asparagine linked glycosylation protein 12 homolog antibody; Asparagine-linked glycosylation protein 12 homolog antibody; CDG1G antibody; Dol P Man:Man(7)GlcNAc(2) PP Dol alpha 1 6 mannosyltransferase antibody; Dol-P-Man:Man(7)GlcNAc(2)-PP-Dol alpha-1 antibody; Dolichyl P Man:Man(7)GlcNAc(2) PP dolichyl alpha 1 6 mannosyltransferase antibody; Dolichyl P mannose:Man 7 GlcNAc 2 PP dolichyl alpha 6 mannosyltransferase antibody; Dolichyl-P-Man:Man(7)GlcNAc(2)-PP-dolichyl-alpha-1 antibody; ECM39 antibody; hALG12 antibody; Mannosyltransferase ALG12 homolog antibody; Membrane protein SB87 antibody; MGC111358 antibody; MGC3136 antibody; PP14673 antibody
-
宿主:Rabbit
-
反應種屬:Human,Mouse
-
免疫原:Fusion protein of Human ALG12
-
免疫原種屬:Homo sapiens (Human)
-
標記方式:Non-conjugated
-
抗體亞型:IgG
-
純化方式:Antigen affinity purification
-
濃度:It differs from different batches. Please contact us to confirm it.
-
保存緩沖液:-20°C, pH7.4 PBS, 0.05% NaN3, 40% Glycerol
-
產品提供形式:Liquid
-
應用范圍:ELISA,IHC
-
推薦稀釋比:
Application Recommended Dilution ELISA 1:2000-1:5000 IHC 1:25-1:100 -
Protocols:
-
儲存條件:Upon receipt, store at -20°C or -80°C. Avoid repeated freeze.
-
貨期:Basically, we can dispatch the products out in 1-3 working days after receiving your orders. Delivery time maybe differs from different purchasing way or location, please kindly consult your local distributors for specific delivery time.
-
用途:For Research Use Only. Not for use in diagnostic or therapeutic procedures.
相關產品
靶點詳情
-
功能:Adds the eighth mannose residue in an alpha-1,6 linkage onto the dolichol-PP-oligosaccharide precursor (dolichol-PP-Man(7)GlcNAc(2)) required for protein glycosylation.
-
基因功能參考文獻:
- deficiency results in congenital disorders of glycosylation type Ig PMID: 11983712
- this enzyme has a role in glycosylation and its deficiency causes congenital disorder of glycosylation type Ig PMID: 12093361
-
相關疾?。?/div>Congenital disorder of glycosylation 1G (CDG1G)亞細胞定位:Endoplasmic reticulum membrane; Multi-pass membrane protein.蛋白家族:Glycosyltransferase 22 family組織特異性:Expressed in fibroblasts.數據庫鏈接:
Most popular with customers
-
YWHAB Recombinant Monoclonal Antibody
Applications: ELISA, WB, IHC, IF, FC
Species Reactivity: Human, Mouse, Rat
-
Phospho-YAP1 (S127) Recombinant Monoclonal Antibody
Applications: ELISA, WB, IHC
Species Reactivity: Human
-
-
-
-
-
-















