ALDH5A1 Antibody
-
中文名稱:ALDH5A1兔多克隆抗體
-
貨號:CSB-PA273719
-
規格:¥1100
-
圖片:
-
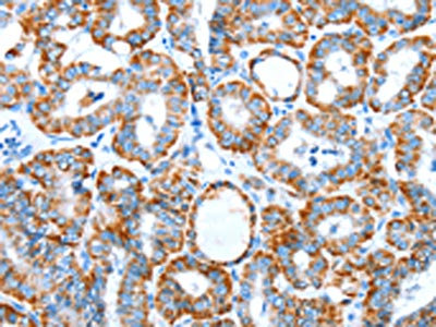
The image on the left is immunohistochemistry of paraffin-embedded Human thyroid cancer tissue using CSB-PA273719(ALDH5A1 Antibody) at dilution 1/60, on the right is treated with synthetic peptide. (Original magnification: ×200)
-
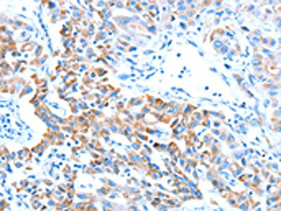
The image on the left is immunohistochemistry of paraffin-embedded Human lung cancer tissue using CSB-PA273719(ALDH5A1 Antibody) at dilution 1/60, on the right is treated with synthetic peptide. (Original magnification: ×200)
-
-
其他:
產品詳情
-
Uniprot No.:
-
基因名:ALDH5A1
-
別名:Aldedehyde dehydrogenase 5 family antibody; Aldehyde dehydrogenase 5 family member A1 antibody; Aldehyde dehydrogenase 5A1 antibody; Aldehyde dehydrogenase family 5 member A1 antibody; ALDH5A 1 antibody; Aldh5a1 antibody; mitochondrial antibody; Mitochondrial succinate semialdehyde dehydrogenase antibody; NAD(+) dependent succinic semialdehyde dehydrogenase antibody; NAD(+)-dependent succinic semialdehyde dehydrogenase antibody; SSADH antibody; SSDH antibody; SSDH_HUMAN antibody; Succinate semialdehyde dehydrogenase antibody; Succinate-semialdehyde dehydrogenase antibody
-
宿主:Rabbit
-
反應種屬:Human,Mouse,Rat
-
免疫原:Synthetic peptide of Human ALDH5A1
-
免疫原種屬:Homo sapiens (Human)
-
標記方式:Non-conjugated
-
抗體亞型:IgG
-
純化方式:Antigen affinity purification
-
濃度:It differs from different batches. Please contact us to confirm it.
-
保存緩沖液:-20°C, pH7.4 PBS, 0.05% NaN3, 40% Glycerol
-
產品提供形式:Liquid
-
應用范圍:ELISA,IHC
-
推薦稀釋比:
Application Recommended Dilution ELISA 1:2000-1:5000 IHC 1:50-1:200 -
Protocols:
-
儲存條件:Upon receipt, store at -20°C or -80°C. Avoid repeated freeze.
-
貨期:Basically, we can dispatch the products out in 1-3 working days after receiving your orders. Delivery time maybe differs from different purchasing way or location, please kindly consult your local distributors for specific delivery time.
-
用途:For Research Use Only. Not for use in diagnostic or therapeutic procedures.
相關產品
靶點詳情
-
功能:Catalyzes one step in the degradation of the inhibitory neurotransmitter gamma-aminobutyric acid (GABA).
-
基因功能參考文獻:
- By ALDH5A1 gene expression in transiently transfected HEK293 cells and enzyme activity assays, we demonstrate that the p.V500 L mutation, despite being conservative, produces complete loss of enzyme activity PMID: 28664505
- ALDH5A1 mRNA expression was down-regulated in ovarian cancer patients compared with that in normal tissues. PMID: 28346042
- SSADH catalytic loop role in the SSADH redox-switch modulation PMID: 26422261
- The proband was found to have compound heterozygous mutations of the succinate-semialdehyde dehydrogenase (ALDH5A1) gene, namely c.398_399delAA (p.N134X) and c.638G>T (p.R213L), for which her parents were both heterozygous carriers. PMID: 28186584
- Two novel ALDH5A1 mutations likely responsible for SSADH deficiency were identified, and DNA sequencing provided an accurate diagnosis for an at-risk fetus whose sibling had SSADH deficiency. Current study and literature review identified nine additional novel mutations in eight unrelated families bringing the number of unique mutations of ALDH5A1 resulting in SSADH deficiency to 44, occurring from exon 1 to exon 10. PMID: 25431891
- Pearl et al. identify 3 new pathogenic mutations in the ALDH5A1 gene previously unreported in the literature. EXON: 1 Nucleotide change: c.412 C>T Change in protein: p.L138F EXON: 4 Nucleotide change: c.754G>T Change in protein: p.Q252X EXON: 8 Nucleotide change: c.1360G>A Change in protein: p.A454T PMID: 25558043
- Missense mutation in ALDH5A1 is associated with succinic semialdehyde dehydrogenase deficiency and severe intellectual disability. PMID: 23825041
- Results show that opioid-dependent patients carrying the T allele of a functional variant in ALDH5A1 had a greater risk of being nonresponders to methadone maintenance treatment PMID: 24230997
- The strongest association signal arose from an intronic region of the gene ALDH5A1, which encodes the mitochondrial enzyme succinic semialdehyde dehydrogenase (SSADH), an enzyme involved in gamma-aminobutyric acid metabolism. PMID: 24327614
- Missense mutations of c.527G>A and c.691G>A in the ALDH5A1 gene are associated with pathogenesis of succinic semialdehyde dehydrogenase deficiency. PMID: 23926001
- Succinic semialdehyde dehydrognase deficiency is caused by a mutation of the Aldh5a1-gene resulting in a dysfunction of the enzyme succinic semialdehyde dehydrogenase--{REVIEW} PMID: 23516105
- our study identified a novel homozygous ALDH5A1 gene mutation associated with SSADH deficiency. PMID: 22437753
- Study seeks to determine whether cerebellar abnormalities are present in human succinic semialdehyde dehydrogenase deficiency on volumetric MRI, compared with radiographic and histologic studies in the mouse model. PMID: 20445195
- the duplication (6)(p22.2) and corresponding hyperactive level of SSADH activity may have negative consequences for GABA metabolism PMID: 21438145
- This study indicated that global disruption of cortical networks in SSADH KO mice, affecting both excitatory and inhibitory neurons. PMID: 20363598
- High activity of this protein probably indicates disorders in lymphocyte energy state. PMID: 12629812
- Higher SSADH activity is associated with higher intelligence across the general population. PMID: 14981524
- The unexpected pattern of human SSADH polymorphism compared to interspecific findings outlines the possibility of a recent positive selection on some variants relevant to new cognitive capabilities unique to humans. PMID: 16786440
- Deficiency in humans causes ggamma-hydroxybutyric aciduria. PMID: 17457693
- within the 65-85 years age range, the T/T genotype is overrepresented in subjects with impaired cognitive function PMID: 18505418
- Redox-switch modulation of human SSADH by dynamic catalytic loop PMID: 19300440
- SSADH deficient patients have widespread reduction in benzodiazepine receptor (BZPR) binding, suggested by high endogenous brain GABA levels that downregulate GABA(A)-BZPR binding site availability. PMID: 19667317
顯示更多
收起更多
-
相關疾病:Succinic semialdehyde dehydrogenase deficiency (SSADHD)
-
亞細胞定位:Mitochondrion.
-
蛋白家族:Aldehyde dehydrogenase family
-
組織特異性:Brain, pancreas, heart, liver, skeletal muscle and kidney. Lower in placenta.
-
數據庫鏈接:
Most popular with customers
-
-
YWHAB Recombinant Monoclonal Antibody
Applications: ELISA, WB, IHC, IF, FC
Species Reactivity: Human, Mouse, Rat
-
Phospho-YAP1 (S127) Recombinant Monoclonal Antibody
Applications: ELISA, WB, IHC
Species Reactivity: Human
-
-
-
-
-















