ALDH3B1 Antibody
-
中文名稱:ALDH3B1兔多克隆抗體
-
貨號:CSB-PA254568
-
規格:¥1100
-
圖片:
-
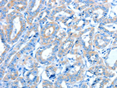
The image on the left is immunohistochemistry of paraffin-embedded Human thyroid cancer tissue using CSB-PA254568(ALDH3B1 Antibody) at dilution 1/30, on the right is treated with fusion protein. (Original magnification: ×200)
-
Gel: 10%SDS-PAGE, Lysate: 40 μg, Lane 1-3: Human normal kidney tissue, Human liver tissue, human liver cancer tissue, Primary antibody: CSB-PA254568(ALDH3B1 Antibody) at dilution 1/300, Secondary antibody: Goat anti rabbit IgG at 1/8000 dilution, Exposure time: 45 seconds
-
-
其他:
產品詳情
-
Uniprot No.:
-
基因名:ALDH3B1
-
別名:ALDH3B1 antibody; ALDH7Aldehyde dehydrogenase family 3 member B1 antibody; EC 1.2.1.28 antibody; EC 1.2.1.5 antibody; EC 1.2.1.7 antibody; Aldehyde dehydrogenase 7 antibody
-
宿主:Rabbit
-
反應種屬:Human,Mouse,Rat
-
免疫原:Fusion protein of Human ALDH3B1
-
免疫原種屬:Homo sapiens (Human)
-
標記方式:Non-conjugated
-
抗體亞型:IgG
-
純化方式:Antigen affinity purification
-
濃度:It differs from different batches. Please contact us to confirm it.
-
保存緩沖液:-20°C, pH7.4 PBS, 0.05% NaN3, 40% Glycerol
-
產品提供形式:Liquid
-
應用范圍:ELISA,WB,IHC
-
推薦稀釋比:
Application Recommended Dilution ELISA 1:2000-1:5000 WB 1:200-1:1000 IHC 1:25-1:100 -
Protocols:
-
儲存條件:Upon receipt, store at -20°C or -80°C. Avoid repeated freeze.
-
貨期:Basically, we can dispatch the products out in 1-3 working days after receiving your orders. Delivery time maybe differs from different purchasing way or location, please kindly consult your local distributors for specific delivery time.
-
用途:For Research Use Only. Not for use in diagnostic or therapeutic procedures.
相關產品
靶點詳情
-
功能:Oxidizes medium and long chain saturated and unsaturated aldehydes. Metabolizes also benzaldehyde. Low activity towards acetaldehyde and 3,4-dihydroxyphenylacetaldehyde. May not metabolize short chain aldehydes. Can use both NADP(+) and NAD(+) as electron acceptor. May have a protective role against the cytotoxicity induced by lipid peroxidation.
-
基因功能參考文獻:
- the likely physiological function of ALDH3B1 is to oxidize lipid-derived aldehydes generated in the plasma membrane and not to be involved in the sphingolipid metabolism in the endoplasmic reticulum. PMID: 23721920
- protects cells from the damaging effects of oxidative stress PMID: 20699116
- The specificity of ALDH3B1 distribution may prove to be directly related to the functional role of this enzyme in human tissues. PMID: 20729348
- This study shows for the first time the functionality, expression and protective role of ALDH3B1 and indicates a potential physiological role of ALDH3B1 against oxidative stress. PMID: 17382292
- These findings provided convincing evidence that epistasis between the catechol-O-methyltransferase and aldehyde dehydrogenase 3B1 genes plays an important role in the pathogenesis of schizophrenia PMID: 19159868
- Initial characterization of human ALDH3B1 suggests a potential physiological role of this protein in oxidative stress processes. PMID: 17382292
顯示更多
收起更多
-
亞細胞定位:Cell membrane; Lipid-anchor. Note=Primarily in the plasma membrane as well as in some punctate structures in the cytoplasm.
-
蛋白家族:Aldehyde dehydrogenase family
-
組織特異性:Highest expression in kidney and lung.
-
數據庫鏈接:
Most popular with customers
-
YWHAB Recombinant Monoclonal Antibody
Applications: ELISA, WB, IHC, IF, FC
Species Reactivity: Human, Mouse, Rat
-
Phospho-YAP1 (S127) Recombinant Monoclonal Antibody
Applications: ELISA, WB, IHC
Species Reactivity: Human
-
-
-
-
-
-















