ALDH3A2 Antibody
-
中文名稱:ALDH3A2兔多克隆抗體
-
貨號:CSB-PA033785
-
規格:¥1100
-
圖片:
-
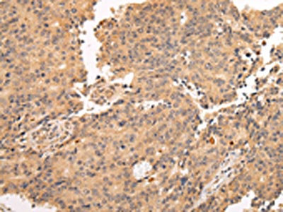
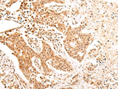
The image on the left is immunohistochemistry of paraffin-embedded Human prostate cancer tissue using CSB-PA033785(ALDH3A2 Antibody) at dilution 1/20, on the right is treated with fusion protein. (Original magnification: ×200)
-
The image on the left is immunohistochemistry of paraffin-embedded Human colorectal cancer tissue using CSB-PA033785(ALDH3A2 Antibody) at dilution 1/20, on the right is treated with fusion protein. (Original magnification: ×200)
-
Gel: 6%SDS-PAGE, Lysate: 40 μg, Lane 1-2: Human fetal liver and normal liver tissue, Primary antibody: CSB-PA033785(ALDH3A2 Antibody) at dilution 1/250 dilution, Secondary antibody: Goat anti rabbit IgG at 1/8000 dilution, Exposure time: 10 seconds
-
-
其他:
產品詳情
-
Uniprot No.:
-
基因名:
-
別名:ALDH3A2; ALDH10; FALDH; Aldehyde dehydrogenase family 3 member A2; Aldehyde dehydrogenase 10; Fatty aldehyde dehydrogenase; Microsomal aldehyde dehydrogenase
-
宿主:Rabbit
-
反應種屬:Human
-
免疫原:Fusion protein of Human ALDH3A2
-
免疫原種屬:Homo sapiens (Human)
-
標記方式:Non-conjugated
-
抗體亞型:IgG
-
純化方式:Antigen affinity purification
-
濃度:It differs from different batches. Please contact us to confirm it.
-
保存緩沖液:-20°C, pH7.4 PBS, 0.05% NaN3, 40% Glycerol
-
產品提供形式:Liquid
-
應用范圍:ELISA,WB,IHC
-
推薦稀釋比:
Application Recommended Dilution ELISA 1:2000-1:5000 WB 1:500-1:2000 IHC 1:25-1:100 -
Protocols:
-
儲存條件:Upon receipt, store at -20°C or -80°C. Avoid repeated freeze.
-
貨期:Basically, we can dispatch the products out in 1-3 working days after receiving your orders. Delivery time maybe differs from different purchasing way or location, please kindly consult your local distributors for specific delivery time.
-
用途:For Research Use Only. Not for use in diagnostic or therapeutic procedures.
相關產品
靶點詳情
-
功能:Catalyzes the oxidation of medium and long chain aliphatic aldehydes to fatty acids. Active on a variety of saturated and unsaturated aliphatic aldehydes between 6 and 24 carbons in length. Responsible for conversion of the sphingosine 1-phosphate (S1P) degradation product hexadecenal to hexadecenoic acid.
-
基因功能參考文獻:
- Homozygous ALDH3A2 mutations exhibited an unusual neuro-regressive clinical course associated with seizures in Sjogren-Larsson syndrome patients, which may reflect the presence of unidentified genetic or environmental modifiers in this consanguineous population. PMID: 29183715
- In female infertility, ALDH3A2 expression levels were higher in patients greater than 40 years of age and in poor responders compared to oocyte donors. PMID: 26449735
- Sjogren-Larsson syndrome belongs to a new group of inborn-errors-of-metabolism with inherited defects in phospholipids, sphingolipids and fatty-acids biosynthesis. It is caused by ALDH3A2 gene mutations. PMID: 25532748
- A previously unreported novel ALDH3A2 mutation was identified, c.681-14T>G, in a Sjogren-Larsson syndrome patient (homozygote) and his asymptomatic parents (heterozygotes). PMID: 24377952
- The gatekeeper helix domain is important for directing the substrate specificity of FALDH towards long-chain fatty aldehydes. PMID: 25047030
- Sjogren-Larsson Syndrome patients with ALDH3A2 mutations exhibit retinal disease in retinal cell layers PMID: 25784589
- variation in the neurologic phenotype of Sjogren-Larsson syndrome is not strictly determined by the ALDH3A2 mutation or a biochemical defect, but by unidentified epigenetic/environmental factors, gene modifiers, or other mechanisms. PMID: 23034980
- Five unrelated patients with typical Sjogren-Larsson syndrome all present mutations in the ALDH3A2 gene. PMID: 21872273
- the Sjogren-Larsson syndrome-causative gene ALDH3A2 is responsible for conversion of the sphingosine 1-phosphate degradation product hexadecenal to hexadecenoic acid PMID: 22633490
- We studied three Turkish Sjogren-Larsson syndrome patients One patient was homozygous for a novel ALDH3A2 mutation in exon 5. The mutation involves the codon 228 (CGC) with the transversion G->A modifying the codon in CAC. PMID: 22397046
- We describe 2 Sjogren-Larsson syndrome patients whose disease is caused by large contiguous gene deletions of the ALDH3A2 locus on 17p11.2. PMID: 21684788
- SLS is caused by mutation in the ALDH3A2 gene, which encodes for FALDH, an enzyme that catalyzes the oxidation of medium- and long-chain aliphtic aldehydes. PMID: 21524986
- The present results suggest that ALDH3A2 is a gene responsible for Sjogren-Larsson syndrome in Asian populations. PMID: 20883264
- Fibroblasts of patients affected by Sjogren Larsson syndrome were found to be deficient in microsomal fatty aldehyde dehydrogenase. PMID: 15110319
- seven novel ALDH3A2 mutations and their associated haplotypes envolved in Sjogren-Larsson Syndrome were identified in 13 patients and one fetus. PMID: 15241804
- REVIEW: mutation update of Sjogren-Larsson syndrome PMID: 15931689
- We report novel compound heterozygous mutations in ALDH3A2 in a Japanese family with Sjogren-Larsson syndrome. PMID: 16794583
- Minireview summarizes recent advances in the molecular genetics of fatty aldehyde dehydrogenase (FALDH) deficiency and the biochemical pathogenesis of Sjogren-Larsson syndrome. PMID: 16996289
- FALDH variants are produced by alternative splicing and share an important role in protecting against oxidative stress in an organelle-specific manner. PMID: 17510064
- These results add to understanding of the genetic basis of Sjogren-Larsson syndrome. PMID: 17902024
- FALDH deficiency in keratinocytes from patients with Sjogren-Larsson syndrome causes accumulation and diversion of fatty alcohol into alternative biosynthetic pathways. PMID: 17971613
- Mutational analysis identified compound heterozygous mutations in each allele of fatty aldehyde dehydrogenase gene, confirming Sjogren-Larsson syndrome. PMID: 17998529
- A structural model of FALDH has been constructed, and catalytically important residues have been proposed to be involved in alcohol and aldehyde oxidation: Gln-120, Glu-207, Cys-241, Phe-333, Tyr-410 and His-411. PMID: 18035827
顯示更多
收起更多
-
相關疾病:Sjoegren-Larsson syndrome (SLS)
-
亞細胞定位:Microsome membrane; Single-pass membrane protein. Endoplasmic reticulum membrane; Single-pass membrane protein; Cytoplasmic side.
-
蛋白家族:Aldehyde dehydrogenase family
-
組織特異性:Detected in liver (at protein level).
-
數據庫鏈接:
Most popular with customers
-
-
YWHAB Recombinant Monoclonal Antibody
Applications: ELISA, WB, IHC, IF, FC
Species Reactivity: Human, Mouse, Rat
-
-
-
-
-
-















