AKTIP Antibody
-
中文名稱:AKTIP兔多克隆抗體
-
貨號:CSB-PA862043LA01HU
-
規格:¥440
-
圖片:
-
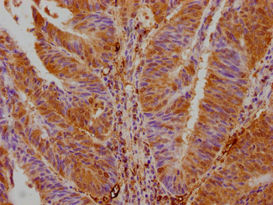
IHC image of CSB-PA862043LA01HU diluted at 1:700 and staining in paraffin-embedded human colon cancer performed on a Leica BondTM system. After dewaxing and hydration, antigen retrieval was mediated by high pressure in a citrate buffer (pH 6.0). Section was blocked with 10% normal goat serum 30min at RT. Then primary antibody (1% BSA) was incubated at 4°C overnight. The primary is detected by a biotinylated secondary antibody and visualized using an HRP conjugated SP system.
-
Immunofluorescence staining of SH-SY5Y cells with CSB-PA862043LA01HU at 1:140, counter-stained with DAPI. The cells were fixed in 4% formaldehyde, permeabilized using 0.2% Triton X-100 and blocked in 10% normal Goat Serum. The cells were then incubated with the antibody overnight at 4°C. The secondary antibody was Alexa Fluor 488-congugated AffiniPure Goat Anti-Rabbit IgG(H+L).
-
-
其他:
產品詳情
-
產品名稱:Rabbit anti-Homo sapiens (Human) AKTIP Polyclonal antibody
-
Uniprot No.:
-
基因名:AKTIP
-
別名:AKT interacting protein antibody; AKT-interacting protein antibody; AKTIP antibody; AKTIP_HUMAN antibody; FT 1 antibody; FT1 antibody; Fused toes homolog antibody; Fused toes protein homolog antibody
-
宿主:Rabbit
-
反應種屬:Human
-
免疫原:Recombinant Human AKT-interacting protein (1-292AA)
-
免疫原種屬:Homo sapiens (Human)
-
標記方式:Non-conjugated
本頁面中的產品,AKTIP Antibody (CSB-PA862043LA01HU),的標記方式是Non-conjugated。對于AKTIP Antibody,我們還提供其他標記。見下表:
-
克隆類型:Polyclonal
-
抗體亞型:IgG
-
純化方式:>95%, Protein G purified
-
濃度:It differs from different batches. Please contact us to confirm it.
-
保存緩沖液:Preservative: 0.03% Proclin 300
Constituents: 50% Glycerol, 0.01M PBS, PH 7.4 -
產品提供形式:Liquid
-
應用范圍:ELISA, IHC, IF
-
推薦稀釋比:
Application Recommended Dilution IHC 1:500-1:1000 IF 1:50-1:200 -
Protocols:
-
儲存條件:Upon receipt, store at -20°C or -80°C. Avoid repeated freeze.
-
貨期:Basically, we can dispatch the products out in 1-3 working days after receiving your orders. Delivery time maybe differs from different purchasing way or location, please kindly consult your local distributors for specific delivery time.
-
用途:For Research Use Only. Not for use in diagnostic or therapeutic procedures.
相關產品
靶點詳情
-
功能:Component of the FTS/Hook/FHIP complex (FHF complex). The FHF complex may function to promote vesicle trafficking and/or fusion via the homotypic vesicular protein sorting complex (the HOPS complex). Regulates apoptosis by enhancing phosphorylation and activation of AKT1. Increases release of TNFSF6 via the AKT1/GSK3B/NFATC1 signaling cascade. FHF complex promotes the distribution of AP-4 complex to the perinuclear area of the cell.
-
基因功能參考文獻:
- Results show that AKTIP co-purifies with A- and B-type lamins and partially co-localizes with lamins in interphase nuclei. In addition, AKTIP depletion lowers lamin A expression and induces senescence hallmarks including telomere homeostasis in human primary fibroblasts. PMID: 27512140
- results suggest that AKT1, FTO, and AKTIP polymorphisms were not associated with obesity/overweight in Brazilians children. PMID: 27342216
- FTS is involved in EGFR-mediated repair of DNA damage induced by cisplatin in ME180 cells PMID: 27535835
- AKTIP interacts with telomeric DNA and is required for telomere maintenance. PMID: 26110528
- High fused toes homolog expression is associated with radioresistance in cervical cancer. PMID: 25151576
- FTS silencing reduced EMT and cell migration by EGF treatment. These results demonstrate a novel function for FTS in EGF-mediated EMT process. PMID: 24971934
- *AKTIP single nucleotide polymorphisms are not associated with late-onset depression patients compared to healthy elderly controls. PMID: 24022875
- Targeted inhibition of FTS led to the shutdown of key elemental characteristics of cervical cancer and could lead to an effective therapeutic strategy. PMID: 21424602
- These data unraveled the involvement of new oncoprotein FTS in cervical cancer which plays a central role in carcinogenesis. PMID: 20945372
- Demographic and clinical characteristics and AKT1 single markers and haplotypes, but not AKTIP polymorphisms or interactions between AKT1 and AKTIP, are associated with increased risk for suicidal behavior in bipolar patients. PMID: 20132317
- Ft1 protein interacts directly with PKB, enhancing the phosphorylation of both of its regulatory sites by promoting its interaction with the upstream kinase PDK1 PMID: 14749367
- These data suggest that the FTS/Hook/FHIP complex functions to promote vesicle trafficking and/or fusion via the homotypic vacuolar protein sorting complex. PMID: 18799622
顯示更多
收起更多
-
亞細胞定位:Cytoplasm. Cell membrane; Peripheral membrane protein.
-
蛋白家族:Ubiquitin-conjugating enzyme family, FTS subfamily
-
數據庫鏈接:
Most popular with customers
-
-
YWHAB Recombinant Monoclonal Antibody
Applications: ELISA, WB, IHC, IF, FC
Species Reactivity: Human, Mouse, Rat
-
Phospho-YAP1 (S127) Recombinant Monoclonal Antibody
Applications: ELISA, WB, IHC
Species Reactivity: Human
-
-
-
-
-















