AKR7A3 Antibody
-
中文名稱:AKR7A3兔多克隆抗體
-
貨號:CSB-PA001551ESR1HU
-
規格:¥440
-
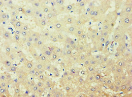
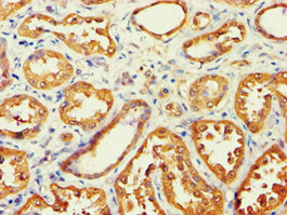
圖片:
-
其他:
產品詳情
-
產品名稱:Rabbit anti-Homo sapiens (Human) AKR7A3 Polyclonal antibody
-
Uniprot No.:
-
基因名:AKR7A3
-
別名:AFAR 2 antibody; AFAR2 antibody; AFB1 aldehyde reductase 2 antibody; AFB1 AR 2 antibody; AFB1-AR 2 antibody; Aflatoxin aldehyde reductase antibody; Aflatoxin B1 aldehyde reductase 2 antibody; Aflatoxin B1 aldehyde reductase member 3 antibody; Akr7a3 antibody; Aldo keto reductase family 7 member A3 antibody; ARK73_HUMAN antibody; OTTHUMP00000002623 antibody
-
宿主:Rabbit
-
反應種屬:Human
-
免疫原:Recombinant Human Aflatoxin B1 aldehyde reductase member 3 protein (1-331AA)
-
免疫原種屬:Homo sapiens (Human)
-
標記方式:Non-conjugated
-
克隆類型:Polyclonal
-
抗體亞型:IgG
-
純化方式:Antigen Affinity Purified
-
濃度:It differs from different batches. Please contact us to confirm it.
-
保存緩沖液:PBS with 0.02% sodium azide, 50% glycerol, pH7.3.
-
產品提供形式:Liquid
-
應用范圍:ELISA, IHC
-
推薦稀釋比:
Application Recommended Dilution IHC 1:20-1:200 -
Protocols:
-
儲存條件:Upon receipt, store at -20°C or -80°C. Avoid repeated freeze.
-
貨期:Basically, we can dispatch the products out in 1-3 working days after receiving your orders. Delivery time maybe differs from different purchasing way or location, please kindly consult your local distributors for specific delivery time.
-
用途:For Research Use Only. Not for use in diagnostic or therapeutic procedures.
相關產品
靶點詳情
-
功能:Can reduce the dialdehyde protein-binding form of aflatoxin B1 (AFB1) to the non-binding AFB1 dialcohol. May be involved in protection of liver against the toxic and carcinogenic effects of AFB1, a potent hepatocarcinogen.
-
基因功能參考文獻:
- Results demonstrate that Akr7a3 mRNA and protein levels are consistently co-expressed along with Akr1b10, in both experimental rat liver carcinogenesis and some human hepatocellular carcinoma samples. PMID: 29383608
-
亞細胞定位:Cytoplasm.
-
蛋白家族:Aldo/keto reductase family, Aldo/keto reductase 2 subfamily
-
組織特異性:Expressed in colon, kidney, liver, pancreas, adenocarcinoma and endometrium.
-
數據庫鏈接:
Most popular with customers
-
-
YWHAB Recombinant Monoclonal Antibody
Applications: ELISA, WB, IHC, IF, FC
Species Reactivity: Human, Mouse, Rat
-
Phospho-YAP1 (S127) Recombinant Monoclonal Antibody
Applications: ELISA, WB, IHC
Species Reactivity: Human
-
-
-
-
-















