-
中文名稱:AKR1C3兔多克隆抗體
-
貨號:CSB-PA001544ESR1HU
-
規格:¥440
-
圖片:
-
Western blot
All lanes: AKR1C3 antibody at 8µg/ml
Lane 1: K562 whole cell lysate
Lane 2: Hela whole cell lysate
Secondary
Goat polyclonal to rabbit IgG at 1/10000 dilution
Predicted band size: 37, 24 kDa
Observed band size: 37 kDa -
Immunohistochemistry of paraffin-embedded human colon cancer using CSB-PA001544ESR1HU at dilution of 1:100
-
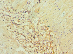
Immunohistochemistry of paraffin-embedded human gallbladder tissue using CSB-PA001544ESR1HU at dilution of 1:100
-
Immunoprecipitating AKR1C3 in HepG2 whole cell lysate
Lane 1: Rabbit control IgG instead of CSB-PA001544ESR1HU in HepG2 whole cell lysate. For western blotting, a HRP-conjugated Protein G antibody was used as the secondary antibody (1/2000)
Lane 2: CSB-PA001544ESR1HU (8µg) + HepG2 whole cell lysate (500µg)
Lane 3: HepG2 whole cell lysate (10µg)
-
-
其他:
產品詳情
-
產品名稱:Rabbit anti-Homo sapiens (Human) AKR1C3 Polyclonal antibody
-
Uniprot No.:
-
基因名:AKR1C3
-
別名:17 beta HSD 5 antibody; 17 beta hydroxysteroid dehydrogenase type 5 antibody; 17-beta-HSD 5 antibody; 17-beta-hydroxysteroid dehydrogenase type 5 antibody; 2-dihydrobenzene-1 antibody; 2-diol dehydrogenase antibody; 20 alpha-hydroxysteroid dehydrogenase antibody; 20-alpha-hydroxysteroid dehydrogenase antibody; 3 alpha hydroxysteroid dehydrogenase type II antibody; 3-alpha-HSD type 2 antibody; 3-alpha-HSD type II antibody; 3-alpha-HSD type II; brain antibody; 3-alpha-hydroxysteroid dehydrogenase type 2 antibody; AK1C3_HUMAN antibody; AKR1 C3 antibody; Akr1c18 antibody; AKR1C3 antibody; Aldo keto reductase family 1 member C3 antibody; Aldo-keto reductase family 1 member C3 antibody; brain antibody; Chlordecone reductase antibody; Chlordecone reductase homolog HAKRb antibody; DD-3 antibody; DD3 antibody; DDH1 antibody; DDX antibody; Dihydrodiol dehydrogenase 3 antibody; Dihydrodiol dehydrogenase type I antibody; Dihydrodiol dehydrogenase X antibody; HA1753 antibody; HAKRB antibody; HAKRe antibody; hluPGFS antibody; HSD17B5 antibody; Indanol dehydrogenase antibody; KIAA0119 antibody; PGFS antibody; Prostaglandin F synthase antibody; Testosterone 17-beta-dehydrogenase 5 antibody; Trans-1 antibody; Trans-1,2-dihydrobenzene-1,2-diol dehydrogenase antibody; Type IIb 3 alpha hydroxysteroid dehydrogenase antibody
-
宿主:Rabbit
-
反應種屬:Human
-
免疫原:Recombinant Human Aldo-keto reductase family 1 member C3 protein (1-323AA)
-
免疫原種屬:Homo sapiens (Human)
-
標記方式:Non-conjugated
-
克隆類型:Polyclonal
-
抗體亞型:IgG
-
純化方式:Antigen Affinity Purified
-
濃度:It differs from different batches. Please contact us to confirm it.
-
保存緩沖液:PBS with 0.02% sodium azide, 50% glycerol, pH7.3.
-
產品提供形式:Liquid
-
應用范圍:ELISA, WB, IHC, IP
-
推薦稀釋比:
Application Recommended Dilution WB 1:500-1:5000 IHC 1:20-1:200 IP 1:200-1:2000 -
Protocols:
-
儲存條件:Upon receipt, store at -20°C or -80°C. Avoid repeated freeze.
-
貨期:Basically, we can dispatch the products out in 1-3 working days after receiving your orders. Delivery time maybe differs from different purchasing way or location, please kindly consult your local distributors for specific delivery time.
-
用途:For Research Use Only. Not for use in diagnostic or therapeutic procedures.
引用文獻
- Aryl hydrocarbon receptor counteracts pharmacological efficacy of doxorubicin via enhanced AKR1C3 expression in triple negative breast cancer cells Yamashita N, et al,Biochemical and Biophysical Research Communications,2019
相關產品
靶點詳情
-
功能:Cytosolic aldo-keto reductase that catalyzes the NADH and NADPH-dependent reduction of ketosteroids to hydroxysteroids. Acts as a NAD(P)(H)-dependent 3-, 17- and 20-ketosteroid reductase on the steroid nucleus and side chain and regulates the metabolism of androgens, estrogens and progesterone. Displays the ability to catalyze both oxidation and reduction in vitro, but most probably acts as a reductase in vivo since the oxidase activity measured in vitro is inhibited by physiological concentration of NADPH. Acts preferentially as a 17-ketosteroid reductase and has the highest catalytic efficiency of the AKR1C enzyme for the reduction of delta4-androstenedione to form testosterone. Reduces prostaglandin (PG) D2 to 11beta-prostaglandin F2, progesterone to 20alpha-hydroxyprogesterone and estrone to 17beta-estradiol. Catalyzes the transformation of the potent androgen dihydrotestosterone (DHT) into the less active form, 5-alpha-androstan-3-alpha,17-beta-diol (3-alpha-diol). Displays also retinaldehyde reductase activity toward 9-cis-retinal.
-
基因功能參考文獻:
- Genotype data on the AKR1C3 rs12529 SNP indicates that all three prostate cancer groups (New Zealanders, African Americans, and Caucasian Americans) have similar genotype and allele frequencies. The highest percentage of high-risk PC as a percentage of all PC were recorded for ever-smoker AA men with the AKR1C3 rs12529 CC genotype while the lowest was recorded for never-smoker NZ men with the CG+GG genotypes. PMID: 29920533
- AKR1C3 is a novel epithelial-mesenchymal transition driver in prostate cancer metastasis through activating ERK signaling. PMID: 30139661
- The GG genotype of AKR1C3 rs10508293 is associated with decreased risk for preeclampsia. PMID: 29777907
- AKR1C3 transcriptional regulation and its role in prostate cancer progression [review] PMID: 28359237
- Overexpression of AKR1C3 could result in the accumulation of prostaglandin F2alpha (PGF2alpha), which can not only promote prostate cancer cell 's proliferation but also could enhance prostate cancer cells resistance to radiation. PMID: 27385003
- The replacement of C154 with a residue possessing a bulky aromatic side-chain impairs the folding of the alpha-helix containing C154 and its neighboring secondary structures, leading to low thermostability of AKR1C3. PMID: 28025170
- Data suggest that, in breast cancer cells, expression of HSD17B5 and expression of GRP78 (an apoptosis inhibitor) are strongly but negatively correlated; GRP78 knockdown decreases breast cancer cell viability whereas HSD17B5 knockdown increases cell viability and cell proliferation. (HSD17B5, 17-beta-hydroxysteroid dehydrogenase 5; GRP78, 78 kDa glucose-regulated protein) PMID: 28457968
- AKR1C3 is the primary enzyme and CBR1 is a minor enzyme responsible for warfarin reduction in human liver cytosol. PMID: 27055738
- the present study suggests that AKR1C1, AKR1C2, AKR1C3, and AKR1C4 are closely associated with drug resistance to both CDDP and 5FU, and that mefenamic acid, an inhibitor of AKR1C, restores sensitivity through inhibition of drug-resistance in human cancer cells. PMID: 28259989
- a variant in the promoter region of HSD17B5 related to fetal androgen synthesis influences the genital phenotype in 21-Hydroxylase Deficiency females. PMID: 27082632
- Five common AKR1C3 polymorphisms were associated with decreased rates of exemestane catalysis. PMID: 27111237
- If our these findings can be reproduced in larger homogeneous cohorts, a genetic stratification based on the AKR1C3 rs12529 single nucleotide polymorphism, can minimize androgen deprivation therapy-related health-related quality of life effects in prostate cancer patients PMID: 27485119
- We identified strong associations between the studied AKR1C3 variants and UBC risk. The homozygous variant genotype of rs12529 was found to be inversely associated with UBC, and rs1937920 was shown to be associated with increased risk of UBC. None of the genotypes were found to be significantly associated with tumor characteristics. PMID: 27085562
- aldo-keto reductase 1C3-mediated prostaglandin D2 metabolism has a role in keloids PMID: 26308156
- The results suggest that decreased expression of AKR1C3 may be involved in development of gastric cancer and can be restored by Sodium Butyrate. PMID: 27019068
- AKR1C3 expression is elevated in prostate cancer cell lines and primary prostate cancer, suggesting a link between AKR1C3 levels and the epigenetic status in prostate cancer cells. PMID: 26429394
- Aldo-keto reductase 1C3 is overexpressed in skin squamous cell carcinoma (SCC). AKR1C3 affects SCC growth via prostaglandin metabolism. PMID: 24917395
- these results indicated that the actions of AKR1C3 can produce FP receptor ligands whose activation results in carcinoma cell survival in breast cancer. PMID: 26170067
- and AKR1C3 may serve as a valuable therapeutic target in the treatment of castration-resistant prostate cancer PMID: 25754347
- AKR1C3 activation is a critical resistance mechanism associated with enzalutamide resistance. PMID: 25649766
- In the present study, crystal structures of complexes of HSD17B5 with structurally diverse inhibitors derived from high-throughput screening were determined. PMID: 25849402
- AKR1C3 mRNA expression did not differ between bipolar disorder patients in any affective state or in comparison with healthy control subjects. PMID: 25522430
- A catalysis-independent role for AKR1C3 on AR activity via Siah2 has been identified. PMID: 26160177
- AKR1C3 mediated doxorubicin resistance might be resulted from the activation of anti-apoptosis PTEN/Akt pathway via PTEN loss. PMID: 25661377
- Findings indicate the potential involvement of aldo-keto reductase AKR1C3 in the acquired radioresistance by AKR1C3 overexpression. PMID: 25419901
- Higher expression of PLA2G2A, PTGS2, AKR1B1, AKR1C3 and ABCC4 was seen in 22-B endometriosis cells. PMID: 25446850
- P450c17 and AKR1C3 inhibition may be an effective combinatorial treatment strategy. PMID: 25514466
- AKR1C3 2 G allele carriers exhibited greater increases in heart rate and stimulant and sedative effects of alcohol than C allele homozygotes PMID: 24838369
- Data suggest that reduction of daunorubicin/idarubicin is catalyzed by AKR1C3 and contributes to resistance of carcinoma cells to these anthracyclines; expression of AKR1C3 is induced in carcinoma cells following exposure to daunorubicin/idarubicin. PMID: 24832494
- AKR1C3 can serve as a promising biomarker for the progression of prostate cancer PMID: 24571686
- The -71G HSD17B5 variant is not a major component of the molecular pathogenetic mechanisms of PCOS, although it might contribute to the severity of hyperandrogenemia in women with PCOS and biochemical hyperandrogenism. PMID: 18692800
- Significantly higher levels of SRD5A1, AKR1C2, AKR1C3, and HSD17B10 mRNA were however found in bone metastases than in non-malignant and/or malignant prostate tissue PMID: 24244276
- Report expression of AKR1C3 in neuroendocrine tumors and adenocarcinomas of pancreas, gastrointestinal tract, and lung. PMID: 24228104
- Silencing of AKR1C3 increases LCN2 expression and inhibits metastasis in cervical cancer. PMID: 24316309
- Data indicate that fallopian tube and the epithelial component of Brenner tumours (BTs) expressed AKR1C3 and androgen receptor, but the tumour stromal cells showed strong expression of calretinin, inhibin and steroidogenic factor 1 in the majority of BTs. PMID: 24012099
- Correlation of aldo-ketoreductase (AKR) 1C3 genetic variant with doxorubicin pharmacodynamics in Asian breast cancer patients. PMID: 23116553
- examine the evidence that supports the vital role of AKR1C3 in CRPC and recent developments in the discovery of potent and selective AKR1C3 inhibitors PMID: 23748150
- AKR1C3-mediated radioresistance in lung cancer cells is correlated with an arrest in the G2/M cell cycle and a decreased induction of apoptosis. PMID: 23519145
- The involvement of up-regulated AKR1C1, AKR1C3 and proteasome in CDDP resistance of colon cancers. PMID: 23165153
- Affect further reduction of 3-keto and 20-keto groups catalyzed by AKR1C2 and AKR1C3. PMID: 23183084
- AKR1C3 can be considered a therapeutic target in a subgroup of patients with high AKR1C3 expression. PMID: 23196782
- Our data suggest that there is no association of HSD17B6 and HSD17B5 variants with the occurrence of Polycystic Ovary Syndrome in the Chinese population PMID: 21039282
- Activin A stimulates AKR1C3 expression and growth in human prostate cancer PMID: 23024260
- AKR1C3 immunoreactivity was extensively present in both adenocarcinoma and squamous cell carcinoma arising from the lung and the gastroesophageal junction, but not in small cell carcinoma. PMID: 22670171
- determined the X-ray crystal structure of AKR1C3 with the cofactor NADP+ and the drug-like inhibitor 3-phenoxybenzoic acid bound at a resolution of 1.68 A degrees in space group P212121 PMID: 22505408
- AKR1C3 functions in differentiation-associated gene regulation and also has a role in supporting inflammation in atopic dermatitis. PMID: 22170488
- Evidence of association of two alleles for alcohol dependence (AD) is found in SRD5A1 and AKR1C3, mediating a protective effect of the minor allele at each AD marker based on the genotype of the second marker. PMID: 21323680
- the pro-proliferative action of AKR1C3 in HL-60 cells involves the retinoic acid signalling pathway and that this is in part due to the retinaldehyde reductase activity of AKR1C3 PMID: 21851338
- role of AKR1C3 in the metabolism of testosterone and progesterone via the 5beta-reductase pathway. PMID: 21521174
- enhanced metabolism of progesterone by SRD5A1 and the 20alpha-HSD and 3alpha/beta-HSD activities of AKR1C1, AKR1C2 and AKR1C3 PMID: 21232532
顯示更多
收起更多
-
亞細胞定位:Cytoplasm.
-
蛋白家族:Aldo/keto reductase family
-
組織特異性:Expressed in many tissues including adrenal gland, brain, kidney, liver, lung, mammary gland, placenta, small intestine, colon, spleen, prostate and testis. High expression in prostate and mammary gland. In the prostate, higher levels in epithelial cells
-
數據庫鏈接:
Most popular with customers
-
-
YWHAB Recombinant Monoclonal Antibody
Applications: ELISA, WB, IHC, IF, FC
Species Reactivity: Human, Mouse, Rat
-
Phospho-YAP1 (S127) Recombinant Monoclonal Antibody
Applications: ELISA, WB, IHC
Species Reactivity: Human
-
-
-
-
-















