AKAP9 Antibody
-
中文名稱:AKAP9兔多克隆抗體
-
貨號:CSB-PA857882LA01HU
-
規格:¥440
-
圖片:
-
IHC image of CSB-PA857882LA01HU diluted at 1:250 and staining in paraffin-embedded human lung tissue performed on a Leica BondTM system. After dewaxing and hydration, antigen retrieval was mediated by high pressure in a citrate buffer (pH 6.0). Section was blocked with 10% normal goat serum 30min at RT. Then primary antibody (1% BSA) was incubated at 4°C overnight. The primary is detected by a Goat anti-rabbit polymer IgG labeled by HRP and visualized using 0.05% DAB. Secondary antibody only control: uses 1% BSA instead of primary antibody
-
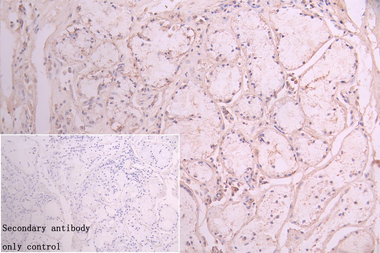
IHC image of CSB-PA857882LA01HU diluted at 1:250 and staining in paraffin-embedded human stomach tissue performed on a Leica BondTM system. After dewaxing and hydration, antigen retrieval was mediated by high pressure in a citrate buffer (pH 6.0). Section was blocked with 10% normal goat serum 30min at RT. Then primary antibody (1% BSA) was incubated at 4°C overnight. The primary is detected by a Goat anti-rabbit polymer IgG labeled by HRP and visualized using 0.05% DAB. Secondary antibody only control: uses 1% BSA instead of primary antibody
-
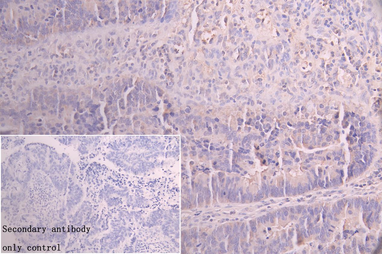
IHC image of CSB-PA857882LA01HU diluted at 1:250 and staining in paraffin-embedded human colorectal cancer performed on a Leica BondTM system. After dewaxing and hydration, antigen retrieval was mediated by high pressure in a citrate buffer (pH 6.0). Section was blocked with 10% normal goat serum 30min at RT. Then primary antibody (1% BSA) was incubated at 4°C overnight. The primary is detected by a Goat anti-rabbit polymer IgG labeled by HRP and visualized using 0.05% DAB. Secondary antibody only control: uses 1% BSA instead of primary antibody
-
-
其他:
產品詳情
-
產品名稱:Rabbit anti-Homo sapiens (Human) AKAP9 Polyclonal antibody
-
Uniprot No.:
-
基因名:
-
別名:A kinase (PRKA) anchor protein (yotiao) 9 antibody; A kinase (PRKA) anchor protein 9 antibody; A kinase anchor protein 350kDa antibody; A kinase anchor protein 450 kDa antibody; A kinase anchor protein 9 antibody; A kinase anchoring protein 350 antibody; A kinase anchoring protein 450 antibody; A-kinase anchor protein 350 kDa antibody; A-kinase anchor protein 450 kDa antibody; A-kinase anchor protein 9 antibody; AKAP 120-like protein antibody; AKAP 350 antibody; AKAP 450 antibody; AKAP 9 antibody; AKAP-9 antibody; AKAP120 like protein antibody; AKAP350 antibody; AKAP450 antibody; AKAP9 antibody; AKAP9_HUMAN antibody; Centrosome and Golgi localized PKN associated protein antibody; Centrosome and golgi localized protein antibody; Centrosome- and Golgi-localized PKN-associated protein antibody; CG NAP antibody; CG-NAP antibody; hgAKAP 350 antibody; hgAKAP350 antibody; Hyperion antibody; KIAA0803 antibody; Kinase N associated protein antibody; MU RMS 40.16A antibody; PRKA 9 antibody; PRKA9 antibody; Protein hyperion antibody; Protein kinase A anchoring protein 9 antibody; Protein kinase A-anchoring protein 9 antibody; Protein yotiao antibody; Yotiao antibody
-
宿主:Rabbit
-
反應種屬:Human
-
免疫原:Recombinant Human A-kinase anchor protein 9 protein (71-191AA)
-
免疫原種屬:Homo sapiens (Human)
-
標記方式:Non-conjugated
本頁面中的產品,AKAP9 Antibody (CSB-PA857882LA01HU),的標記方式是Non-conjugated。對于AKAP9 Antibody,我們還提供其他標記。見下表:
-
克隆類型:Polyclonal
-
抗體亞型:IgG
-
純化方式:>95%, Protein G purified
-
濃度:It differs from different batches. Please contact us to confirm it.
-
保存緩沖液:Preservative: 0.03% Proclin 300
Constituents: 50% Glycerol, 0.01M PBS, pH 7.4 -
產品提供形式:Liquid
-
應用范圍:ELISA, IHC
-
推薦稀釋比:
Application Recommended Dilution IHC 1:200-1:500 -
Protocols:
-
儲存條件:Upon receipt, store at -20°C or -80°C. Avoid repeated freeze.
-
貨期:Basically, we can dispatch the products out in 1-3 working days after receiving your orders. Delivery time maybe differs from different purchasing way or location, please kindly consult your local distributors for specific delivery time.
-
用途:For Research Use Only. Not for use in diagnostic or therapeutic procedures.
相關產品
靶點詳情
-
功能:Scaffolding protein that assembles several protein kinases and phosphatases on the centrosome and Golgi apparatus. Required to maintain the integrity of the Golgi apparatus. Required for microtubule nucleation at the cis-side of the Golgi apparatus. Required for association of the centrosomes with the poles of the bipolar mitotic spindle during metaphase. In complex with PDE4DIP isoform 13/MMG8/SMYLE, recruits CAMSAP2 to the Golgi apparatus and tethers non-centrosomal minus-end microtubules to the Golgi, an important step for polarized cell movement. In complex with PDE4DIP isoform 13/MMG8/SMYLE, EB1/MAPRE1 and CDK5RAP2, contributes to microtubules nucleation and extension also from the centrosome to the cell periphery.; Associated with the N-methyl-D-aspartate receptor and is specifically found in the neuromuscular junction (NMJ) as well as in neuronal synapses, suggesting a role in the organization of postsynaptic specializations.
-
基因功能參考文獻:
- RNA sequencing identified in both an AKAP9-BRAF gene fusion PMID: 29464327
- Data suggest that CDK5RAP2 and CEP170 both interact with microtubule nucleation-promoting region of AKAP350A; CEP68 interacts with distal C-terminal region of AKAP350A; AKAP350A spans the bridge between centrioles. (CDK5RAP2 = CDK5 regulatory subunit associated protein 2; CEP170 = centrosomal protein 170kDa; AKAP350A = A kinase (PRKA) anchor protein (yotiao) 9; CEP68 = centrosomal protein 68kDa) PMID: 29054927
- Data suggest that AKAP350A utilizes organelle-specific targeting domains to promote spatially distinct microtubule nucleation pathways. [REVIEW] PMID: 29247130
- Findings suggest MALAT1 increases AKAP-9 expression by promoting SRPK1-catalyzed SRSF1 phosphorylation in CRC cells. These results reveal a novel molecular mechanism by which MALAT1 regulates AKAP-9 expression in CRC cells. PMID: 26887056
- AKAP9 gene harbors not only somatic frameshift mutations but also mutational ITH. PMID: 26786868
- results support a model in which AKAP350 recruits CIP4 to the centrosome, providing a centrosomal scaffold to integrate microtubule and actin dynamics, thus enabling centrosome polarization and ensuring cell migration directionality. PMID: 26208639
- Study suggests a role of rare missense variants at NRXN1 and AKAP9 in schizophrenia susceptibility, probably related to alteration of the excitatory/inhibitory synaptic balance, deserving further investigation PMID: 25943950
- This study demonstrated that two rare AKAP9 variants( rs144662445 and rs149979685) are associated with Alzheimer's disease in African Americans. PMID: 25172201
- AKAP9 has been identified as a Long QT Syndrome Type 1 modifying gene PMID: 25087618
- data indicate that MALAT1 may promote CRC tumor development via its target protein AKAP-9 PMID: 25446987
- A590T mutation in KCNQ1 C-terminal helix D decreases KCNE1 channel trafficking and function but not Yotiao interaction. PMID: 24713462
- AKAP proteins, most likely AKAP9, maintain the bronchial epithelial barrier by regulating the E-cadherin expression at the cell membrane. PMID: 24452374
- in heart, Yotiao brings together PKA, PP1, PDE4D3, AC9, and the I(Ks) channel to achieve localized temporal regulation of beta-adrenergic stimulation. PMID: 22778270
- Protein kinase A-phosphodiesterase (PDE)4D3-A kinase anchor protein (AKAP)9 complex generates spatial compartmentalization of cyclic adenosine monophosphate (cAMP) signaling at the centrosome. PMID: 22908311
- Genotyped 14,843 invasive breast cancer case patients and 19,852 control subjects with white European ancestry and 2595 invasive case patients and 2192 control subjects with Asian ancestry for single nucleotide polymorphism 7q21-rs6964587 (AKAP9-M463I). PMID: 21931171
- AKAP350 participates in mechanisms which determine the development of canalicular structures as well as accurate canalicular expression of distinct proteins and actin organization PMID: 21374596
- identification of AKAP450 as a key determinant of pericentrosomal Golgi ribbon integrity, positioning, and function in mammalian cells PMID: 21606206
- We describe a pathway that integrates Epac-mediated signals with AKAP9-dependent microtubule dynamics to coordinate integrins at lateral borders PMID: 20952690
- Suppression of AKAP450 by overexpression of a dominant-negative form or siRNA knockdown disrupted the positioning and conformational activation of lymphocyte function-associated antigen 1 at the immune synapse. PMID: 20231423
- included in a macromolecular complex with PKA and PP1 which is required for the regulation of hKCNQ1 by PKA-dependent phosphorylation PMID: 11799244
- CG-NAP and kendrin provide sites for microtubule nucleation in the mammalian centrosome by anchoring gamma-TuRC PMID: 12221128
- findings support a model in which sub-cellular localization at the centrosome is mediated, at least in part, through the action of CG-NAP/AKAP450 PMID: 12270714
- InsP(3)R1-PKA association is mediated by AKAP9; InsP(3)R1-AKAP9 binding promotes association of neuronal InsP(3)R1 with the NR1 NMDA receptor; and neuronal InsP(3)R1 associate with PP1 directly via carboxy-terminus and indirectly via AKAP9 PMID: 14982933
- AKAP9-BRAF fusion was preferentially found in radiation-induced papillary carcinomas developing after a short latency, whereas BRAF point mutations were absent in this group PMID: 15630448
- These results suggest that CG-NAP/D causes centrosome amplification by anchoring excess amount of cyclin E-cdk2 to centrosomes and, possibly, CG-NAP participates in centrosome duplication by recruiting cyclin E-cdk2 to centrosomes in normal cell cycle. PMID: 15670215
- expression of the intact CG-NAP/AKAP450 and its recruitment to the LFA-1-associated multimolecular complex is critically important for polarization and migration of T cells induced by this integrin. PMID: 16339516
- AKAP350 has a role in the remodeling of the microtubule cytoskeleton. PMID: 16356588
- CG-NAP is recruited to the minus ends of microtubules by interacting with cytoplasmic dynein, thereby localizes to the Golgi apparatus in a microtubule-dependent manner and possibly involved in the formation of the Golgi near the centrosomes. PMID: 17352745
- genetic perturbations in AKAP9 disrupt its binding to KCNQ1 and have a role in long-QT syndrome PMID: 18093912
- Polymorphisms in AKAP9 M4631 were associated with increased risks for familial and nonfamilial breast cancer. The functional consequence of the AKAP9 M4631 polymorphism may involve the PKA pathway. PMID: 18334708
- These results provide the first evidence for the microtubule dependent association of AKAP350A and CCAR1 with RNA stress granules. PMID: 19073175
- Data suggest that recruitment of AKAP450 on Golgi membranes through GM130 allows centrosome-associated nucleating activity to extend to the Golgi, to control the assembly of subsets of microtubules. PMID: 19242490
顯示更多
收起更多
-
相關疾病:Long QT syndrome 11 (LQT11)
-
亞細胞定位:Golgi apparatus. Cytoplasm. Cytoplasm, cytoskeleton, microtubule organizing center, centrosome.
-
組織特異性:Widely expressed. Isoform 4: Highly expressed in skeletal muscle and in pancreas.
-
數據庫鏈接:
Most popular with customers
-
-
YWHAB Recombinant Monoclonal Antibody
Applications: ELISA, WB, IHC, IF, FC
Species Reactivity: Human, Mouse, Rat
-
Phospho-YAP1 (S127) Recombinant Monoclonal Antibody
Applications: ELISA, WB, IHC
Species Reactivity: Human
-
-
-
-
-















