AKAP8L Antibody
-
中文名稱:AKAP8L兔多克隆抗體
-
貨號:CSB-PA611485
-
規格:¥1100
-
圖片:
-
The image on the left is immunohistochemistry of paraffin-embedded Human breast cancer tissue using CSB-PA611485(AKAP8L Antibody) at dilution 1/25, on the right is treated with synthetic peptide. (Original magnification: ×200)
-
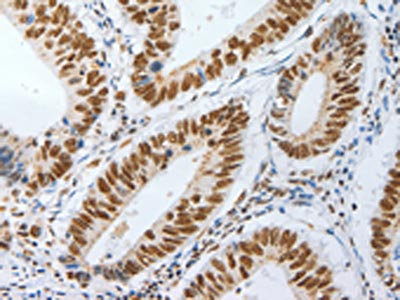
The image on the left is immunohistochemistry of paraffin-embedded Human colon cancer tissue using CSB-PA611485(AKAP8L Antibody) at dilution 1/25, on the right is treated with synthetic peptide. (Original magnification: ×200)
-
Gel: 10%SDS-PAGE, Lysate: 40 μg, Lane: 293T cells, Primary antibody: CSB-PA611485(AKAP8L Antibody) at dilution 1/400, Secondary antibody: Goat anti rabbit IgG at 1/8000 dilution, Exposure time: 50 seconds
-
-
其他:
產品詳情
-
Uniprot No.:
-
基因名:
-
別名:AKAP8L antibody; NAKAP antibody; NAKAP95 antibody; HRIHFB2018A-kinase anchor protein 8-like antibody; AKAP8-like protein antibody; Helicase A-binding protein 95 antibody; HAP95 antibody; Homologous to AKAP95 protein antibody; HA95 antibody; Neighbor of A-kinase-anchoring protein 95 antibody; Neighbor of AKAP95 antibody
-
宿主:Rabbit
-
反應種屬:Human,Mouse
-
免疫原:Synthetic peptide of Human AKAP8L
-
免疫原種屬:Homo sapiens (Human)
-
標記方式:Non-conjugated
-
抗體亞型:IgG
-
純化方式:Antigen affinity purification
-
濃度:It differs from different batches. Please contact us to confirm it.
-
保存緩沖液:-20°C, pH7.4 PBS, 0.05% NaN3, 40% Glycerol
-
產品提供形式:Liquid
-
應用范圍:ELISA,WB,IHC
-
推薦稀釋比:
Application Recommended Dilution ELISA 1:1000-1:2000 WB 1:200-1:1000 IHC 1:25-1:100 -
Protocols:
-
儲存條件:Upon receipt, store at -20°C or -80°C. Avoid repeated freeze.
-
貨期:Basically, we can dispatch the products out in 1-3 working days after receiving your orders. Delivery time maybe differs from different purchasing way or location, please kindly consult your local distributors for specific delivery time.
-
用途:For Research Use Only. Not for use in diagnostic or therapeutic procedures.
相關產品
靶點詳情
-
功能:Could play a role in constitutive transport element (CTE)-mediated gene expression by association with DHX9. Increases CTE-dependent nuclear unspliced mRNA export. Proposed to target PRKACA to the nucleus but does not seem to be implicated in the binding of regulatory subunit II of PKA. May be involved in nuclear envelope breakdown and chromatin condensation. May be involved in anchoring nuclear membranes to chromatin in interphase and in releasing membranes from chromating at mitosis. May regulate the initiation phase of DNA replication when associated with TMPO isoform Beta. Required for cell cycle G2/M transition and histone deacetylation during mitosis. In mitotic cells recruits HDAC3 to the vicinity of chromatin leading to deacetylation and subsequent phosphorylation at 'Ser-10' of histone H3; in this function seems to act redundantly with AKAP8. May be involved in regulation of pre-mRNA splicing.; (Microbial infection) In case of EBV infection, may target PRKACA to EBNA-LP-containing nuclear sites to modulate transcription from specific promoters.; (Microbial infection) Can synergize with DHX9 to activate the CTE-mediated gene expression of type D retroviruses.; (Microbial infection) In case of HIV-1 infection, involved in the DHX9-promoted annealing of host tRNA(Lys3) to viral genomic RNA as a primer in reverse transcription; in vitro negatively regulates DHX9 annealing activity.
-
基因功能參考文獻:
- Results indicate that in vitro, the interaction between HA95 and LAP2beta is influenced by a PKA-mediated phosphorylation of HA95 rather than by CDK1- or PKC-mediated phosphorylation of LAP2beta PMID: 12950172
- NAKAP-HypA scaffold is a potential nuclear docking site for huntingtin protein and may contribute to the nuclear accumulation of huntingtin observed in HD PMID: 16391387
- Nuclear PKA C subunit co-locates with HA95 in splicing factor compartments and regulates pre-mRNA splicing, possibly through a cAMP-independent mechanism. PMID: 17594903
- These results infer that RNF43 is a resident protein of the ER and, at least partially, the nuclear membrane, with ubiquitin ligase activity and may be involved in cell growth control potentially through the interaction with HAP95. PMID: 18313049
-
亞細胞定位:Nucleus. Nucleus matrix. Nucleus speckle. Nucleus, PML body. Cytoplasm.
-
蛋白家族:AKAP95 family
-
組織特異性:Ubiquitously expressed. Expressed in the brain cortex (at protein level).
-
數據庫鏈接:
Most popular with customers
-
-
YWHAB Recombinant Monoclonal Antibody
Applications: ELISA, WB, IHC, IF, FC
Species Reactivity: Human, Mouse, Rat
-
-
-
-
-
-















