AIMP2 Antibody
-
中文名稱:AIMP2兔多克隆抗體
-
貨號:CSB-PA904906
-
規格:¥1100
-
圖片:
-
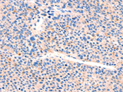
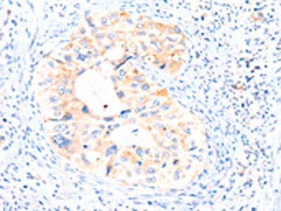
The image on the left is immunohistochemistry of paraffin-embedded Human liver cancer tissue using CSB-PA904906(AIMP2 Antibody) at dilution 1/25, on the right is treated with synthetic peptide. (Original magnification: ×200)
-
The image on the left is immunohistochemistry of paraffin-embedded Human cervical cancer tissue using CSB-PA904906(AIMP2 Antibody) at dilution 1/25, on the right is treated with synthetic peptide. (Original magnification: ×200)
-
Gel: 12%SDS-PAGE, Lysate: 40 μg, Lane 1-2: A549 cells, NIH/3T3 cells, Primary antibody: CSB-PA904906(AIMP2 Antibody) at dilution 1/200, Secondary antibody: Goat anti rabbit IgG at 1/8000 dilution, Exposure time: 10 seconds
-
-
其他:
產品詳情
-
Uniprot No.:
-
基因名:
-
別名:Aimp2 antibody; AIMP2_HUMAN antibody; Aminoacyl tRNA synthase complex-interacting multifunctional protein 2 antibody; Aminoacyl tRNA synthetase complex interacting multifunctional protein 2 antibody; ARS interacting multi functional protein 2 antibody; JTV 1 antibody; JTV 1 protein antibody; JTV1 antibody; JTV1 gene antibody; Multisynthase complex auxiliary component p38 antibody; Multisynthetase complex auxiliary component p38 antibody; P38 antibody; PRO0992 antibody; Protein JTV 1 antibody; Protein JTV-1 antibody; tRNA SYNTHETASE COFACTOR p38 antibody
-
宿主:Rabbit
-
反應種屬:Human,Mouse,Rat
-
免疫原:Synthetic peptide of Human AIMP2
-
免疫原種屬:Homo sapiens (Human)
-
標記方式:Non-conjugated
-
抗體亞型:IgG
-
純化方式:Antigen affinity purification
-
濃度:It differs from different batches. Please contact us to confirm it.
-
保存緩沖液:-20°C, pH7.4 PBS, 0.05% NaN3, 40% Glycerol
-
產品提供形式:Liquid
-
應用范圍:ELISA,WB,IHC
-
推薦稀釋比:
Application Recommended Dilution ELISA 1:1000-1:2000 WB 1:200-1:1000 IHC 1:25-1:100 -
Protocols:
-
儲存條件:Upon receipt, store at -20°C or -80°C. Avoid repeated freeze.
-
貨期:Basically, we can dispatch the products out in 1-3 working days after receiving your orders. Delivery time maybe differs from different purchasing way or location, please kindly consult your local distributors for specific delivery time.
-
用途:For Research Use Only. Not for use in diagnostic or therapeutic procedures.
相關產品
靶點詳情
-
功能:Required for assembly and stability of the aminoacyl-tRNA synthase complex. Mediates ubiquitination and degradation of FUBP1, a transcriptional activator of MYC, leading to MYC down-regulation which is required for aveolar type II cell differentiation. Blocks MDM2-mediated ubiquitination and degradation of p53/TP53. Functions as a proapoptotic factor.
-
基因功能參考文獻:
- AIMP2-DX2 plays an important role in the regulation of Nasopharyngeal carcinoma. PMID: 29854811
- Homozygosity for a nonsense variant in AIMP2 is associated with a progressive neurodevelopmental disorder with microcephaly, seizures, and spastic quadriparesis. PMID: 29215095
- These findings provide new mechanistic insights into the role of VPS35 in the regulation of AIMP2 levels and cell death. PMID: 28383562
- AIMP2 underexpression is associated with lung neoplasms. PMID: 27197155
- our findings show how DX2 promotes lung cancer progression and how its activity may be thwarted as a strategy to treat patients with lung cancers exhibiting elevated DX2 levels PMID: 27302160
- These data indicate monomer-dimer equilibrium of AIMP2-DX2 in solution. These results form the basis for the structure-function study of oncogenic AIMP2-DX2. PMID: 28185908
- analysis of the heterotetrameric complex structure of the glutathione transferase (GST) domains shared among the four MSC components, methionyl-tRNA synthetase (MRS), glutaminyl-prolyl-tRNA synthetase (EPRS), AIMP2 and AIMP3 PMID: 26472928
- Ubiquitin and SUMO compete for the same lysine (K242) on influenza A virus M1 and the interaction of viral NS2 with human AIMP2 facilitates the switch of the M1 modification from ubiquitination to SUMOylation, thus increasing viral replication. PMID: 25320310
- These findings suggested that, although excessive accumulation of oxidative DNA damage was present in LSCs, the relatively decreased phosphorylation of p38 might help leukemic cells escape senescence and apoptosis. PMID: 22684553
- Transgeneic overexpression of AIMP2 led to a selective, age-dependent, progressive loss of dopaminergic neurons. PMID: 23974709
- The tumorigenic activity of AIMP2-DX2 can be controlled by the small chemical BC-DXI01, which can selectively suppress the AIMP2-DX2 mRNA transcript. PMID: 23815603
- AIMP2-DX2, a splicing variant of tumor suppressor AIMP2, can be a therapeutic target to control chemoresistant epithelial ovarian cancer . PMID: 22532625
- downregulation of AIMP2 lacking exon 2 (AIMP2-DX2), expressed in different cancer cells, suppressed the epidermal growth factor receptor/mitogen activated protein kinase signaling pathway PMID: 22562359
- ribozyme could selectively deliver the activity of a suicide gene into the AIMP2-DX2 RNA expressing lung cancer cells and thereby specifically and effectively retard the growth of the cancer cells with prodrug treatment. PMID: 22285955
- a splicing variant of AIMP2 lacking exon 2 (AIMP2-DX2) is highly expressed by alternative splicing in human lung cancer cells and patient's tissues PMID: 21483803
顯示更多
收起更多
-
亞細胞定位:Cytoplasm, cytosol. Nucleus.
-
數據庫鏈接:
Most popular with customers
-
-
YWHAB Recombinant Monoclonal Antibody
Applications: ELISA, WB, IHC, IF, FC
Species Reactivity: Human, Mouse, Rat
-
Phospho-YAP1 (S127) Recombinant Monoclonal Antibody
Applications: ELISA, WB, IHC
Species Reactivity: Human
-
-
-
-
-















