AGTRAP Antibody
-
中文名稱:AGTRAP兔多克隆抗體
-
貨號:CSB-PA964373
-
規格:¥1100
-
圖片:
-
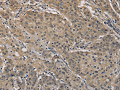
The image on the left is immunohistochemistry of paraffin-embedded Human thyroid cancer tissue using CSB-PA964373(AGTRAP Antibody) at dilution 1/40, on the right is treated with fusion protein. (Original magnification: ×200)
-
The image on the left is immunohistochemistry of paraffin-embedded Human gastric cancer tissue using CSB-PA964373(AGTRAP Antibody) at dilution 1/40, on the right is treated with fusion protein. (Original magnification: ×200)
-
-
其他:
產品詳情
-
Uniprot No.:
-
基因名:AGTRAP
-
別名:AGTRAP; ATRAP; Type-1 angiotensin II receptor-associated protein; AT1 receptor-associated protein
-
宿主:Rabbit
-
反應種屬:Human
-
免疫原:Fusion protein of Human AGTRAP
-
免疫原種屬:Homo sapiens (Human)
-
標記方式:Non-conjugated
-
抗體亞型:IgG
-
純化方式:Antigen affinity purification
-
濃度:It differs from different batches. Please contact us to confirm it.
-
保存緩沖液:-20°C, pH7.4 PBS, 0.05% NaN3, 40% Glycerol
-
產品提供形式:Liquid
-
應用范圍:ELISA,IHC
-
推薦稀釋比:
Application Recommended Dilution ELISA 1:2000-1:5000 IHC 1:50-1:200 -
Protocols:
-
儲存條件:Upon receipt, store at -20°C or -80°C. Avoid repeated freeze.
-
貨期:Basically, we can dispatch the products out in 1-3 working days after receiving your orders. Delivery time maybe differs from different purchasing way or location, please kindly consult your local distributors for specific delivery time.
-
用途:For Research Use Only. Not for use in diagnostic or therapeutic procedures.
相關產品
靶點詳情
-
功能:Appears to be a negative regulator of type-1 angiotensin II receptor-mediated signaling by regulating receptor internalization as well as mechanism of receptor desensitization such as phosphorylation. Induces also a decrease in cell proliferation and angiotensin II-stimulated transcriptional activity.
-
基因功能參考文獻:
- A role for AT1 receptor-associated proteins in blood pressure regulation PMID: 25562590
- ATRAP, a directly interacting and functionally inhibiting molecule of AT1R, plays a protective role against the development of systemic insulin resistance via regulatory effects on adipose tissue function. PMID: 23902639
- The phosphatidylinositol transfer protein RdgBbeta binds 14-3-3 via its unstructured C-terminus, whereas its lipid-binding domain interacts with the integral membrane protein ATRAP (angiotensin II type I receptor-associated protein). PMID: 21728994
- the GG genotype of the AGTRAP rs11121816 T/G single nucleotide polymorphism was associated with increased mortality in two cohorts of patients who had septic shock. PMID: 21423001
- CSF angiotensin II, ACE, and ACE2 levels are decreased in neuromyelitis optica/NMO spectrum disorder patients with anti-AQP4 antibody, reflecting severe destruction of perivascular astrocytes PMID: 20541774
- Endogenous increases in angiotensin II during dehydration contribute to dehydration-associated sympathoexcitation. PMID: 19805740
- Small interfering RNA significantly attenuates angiotensin II type 1 receptor-stimulated inositol phosphate formation. PMID: 20018811
- cloned a new human gene cDNA that codes for a homolog of the murine Agtrap protein PMID: 11733189
- isolation of a novel protein, ARAP1, which promotes recycling of angiotensin(1A) to the plasma membrane in HEK-293 cells PMID: 14559250
- mRNA is detected in all human tissues; cellular hypertrophy in cultured rat vascular smooth muscle and renal proximal tubular cells. PMID: 14985364
- CAML is an important signal transducer for the actions of Ang II in regulating the calcineurin-NFAT pathway and the interaction of CAML with ATRAP may mediate the Ang II actions in vascular physiology PMID: 15668245
顯示更多
收起更多
-
亞細胞定位:Endoplasmic reticulum membrane; Multi-pass membrane protein. Golgi apparatus membrane; Multi-pass membrane protein. Cytoplasmic vesicle membrane; Multi-pass membrane protein. Note=Present in perinuclear vesicular membranes, Endoplasmic reticulum, Golgi and endocytic vesicles.
-
組織特異性:Ubiquitous but more abundant in kidney, heart, pancreas and thyroid.
-
數據庫鏈接:
Most popular with customers
-
-
YWHAB Recombinant Monoclonal Antibody
Applications: ELISA, WB, IHC, IF, FC
Species Reactivity: Human, Mouse, Rat
-
Phospho-YAP1 (S127) Recombinant Monoclonal Antibody
Applications: ELISA, WB, IHC
Species Reactivity: Human
-
-
-
-
-















