AGO4 Antibody
-
中文名稱:AGO4兔多克隆抗體
-
貨號:CSB-PA950500
-
規格:¥1100
-
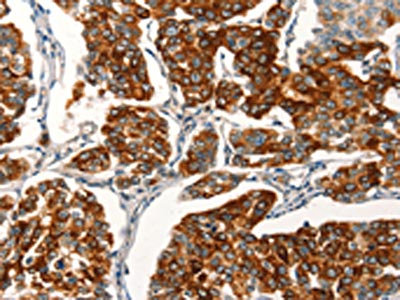
圖片:
-
其他:
產品詳情
-
Uniprot No.:
-
基因名:
-
別名:AGO4_HUMAN antibody; Argonaute4 antibody; eIF-2C 4 antibody; eIF2C 4 antibody; eif2c4 antibody; Eukaryotic translation initiation factor 2C 4 antibody; hAgo4 antibody; Protein argonaute-4 antibody
-
宿主:Rabbit
-
反應種屬:Human,Mouse
-
免疫原:Synthetic peptide of Human AGO4
-
免疫原種屬:Homo sapiens (Human)
-
標記方式:Non-conjugated
-
抗體亞型:IgG
-
純化方式:Antigen affinity purification
-
濃度:It differs from different batches. Please contact us to confirm it.
-
保存緩沖液:-20°C, pH7.4 PBS, 0.05% NaN3, 40% Glycerol
-
產品提供形式:Liquid
-
應用范圍:ELISA,IHC
-
推薦稀釋比:
Application Recommended Dilution ELISA 1:1000-1:2000 IHC 1:25-1:100 -
Protocols:
-
儲存條件:Upon receipt, store at -20°C or -80°C. Avoid repeated freeze.
-
貨期:Basically, we can dispatch the products out in 1-3 working days after receiving your orders. Delivery time maybe differs from different purchasing way or location, please kindly consult your local distributors for specific delivery time.
-
用途:For Research Use Only. Not for use in diagnostic or therapeutic procedures.
相關產品
靶點詳情
-
功能:Required for RNA-mediated gene silencing (RNAi). Binds to short RNAs such as microRNAs (miRNAs) and represses the translation of mRNAs which are complementary to them. Lacks endonuclease activity and does not appear to cleave target mRNAs. Also required for RNA-directed transcription and replication of the human hapatitis delta virus (HDV).
-
基因功能參考文獻:
- Chimeras with Ago4 N-terminal domains were defective in RISC activation & sometimes also in RNA loading. This highlights the pleiotropic role of the Ago N domain & emphasizes the unique position of human Ago4 within the Ago protein family. PMID: 23748378
- EIF2C4 protein is expressed in differentiating and terminally differentiated N-type cells more than in S- and I-type cells PMID: 19393748
-
亞細胞定位:Cytoplasm, P-body.
-
蛋白家族:Argonaute family, Ago subfamily
-
數據庫鏈接:
Most popular with customers
-
-
YWHAB Recombinant Monoclonal Antibody
Applications: ELISA, WB, IHC, IF, FC
Species Reactivity: Human, Mouse, Rat
-
Phospho-YAP1 (S127) Recombinant Monoclonal Antibody
Applications: ELISA, WB, IHC
Species Reactivity: Human
-
-
-
-
-















