AGO1 Antibody
-
中文名稱:AGO1兔多克隆抗體
-
貨號:CSB-PA126592
-
規格:¥1100
-
圖片:
-
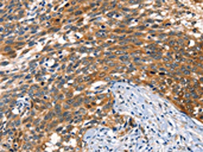
The image on the left is immunohistochemistry of paraffin-embedded Human thyroid cancer tissue using CSB-PA126592(AGO1 Antibody) at dilution 1/40, on the right is treated with synthetic peptide. (Original magnification: ×200)
-
The image on the left is immunohistochemistry of paraffin-embedded Human cervical cancer tissue using CSB-PA126592(AGO1 Antibody) at dilution 1/40, on the right is treated with synthetic peptide. (Original magnification: ×200)
-
-
其他:
產品詳情
-
Uniprot No.:
-
基因名:AGO1
-
別名:AGO1 antibody; AGO1_HUMAN antibody; Argonaute 1 antibody; Argonaute 1 RISC catalytic component antibody; Argonaute1 antibody; eIF 2C 1 antibody; eIF-2C 1 antibody; eIF2C 1 antibody; EIF2C antibody; Eif2c1 antibody; Eukaryotic translation initiation factor 2C 1 antibody; GERP95 antibody; Golgi Endoplasmic Reticulum protein 95 kDa antibody; hAgo1 antibody; Protein argonaute 1 antibody; Protein argonaute-1 antibody; Putative RNA binding protein Q99 antibody; Putative RNA-binding protein Q99 antibody; Q99 antibody
-
宿主:Rabbit
-
反應種屬:Human,Mouse
-
免疫原:Synthetic peptide of Human AGO1
-
免疫原種屬:Homo sapiens (Human)
-
標記方式:Non-conjugated
-
抗體亞型:IgG
-
純化方式:Antigen affinity purification
-
濃度:It differs from different batches. Please contact us to confirm it.
-
保存緩沖液:-20°C, pH7.4 PBS, 0.05% NaN3, 40% Glycerol
-
產品提供形式:Liquid
-
應用范圍:ELISA,IHC
-
推薦稀釋比:
Application Recommended Dilution ELISA 1:2000-1:5000 IHC 1:50-1:200 -
Protocols:
-
儲存條件:Upon receipt, store at -20°C or -80°C. Avoid repeated freeze.
-
貨期:Basically, we can dispatch the products out in 1-3 working days after receiving your orders. Delivery time maybe differs from different purchasing way or location, please kindly consult your local distributors for specific delivery time.
-
用途:For Research Use Only. Not for use in diagnostic or therapeutic procedures.
相關產品
靶點詳情
-
功能:Required for RNA-mediated gene silencing (RNAi). Binds to short RNAs such as microRNAs (miRNAs) or short interfering RNAs (siRNAs), and represses the translation of mRNAs which are complementary to them. Lacks endonuclease activity and does not appear to cleave target mRNAs. Also required for transcriptional gene silencing (TGS) of promoter regions which are complementary to bound short antigene RNAs (agRNAs).
-
基因功能參考文獻:
- E-cadherin silencing relies on the formation of a complex between the paRNA and microRNA-guided Argonaute 1 that, together, recruit SUV39H1 and induce repressive chromatin modifications in the gene promoter PMID: 28555645
- In miRNA-mediated gene silencing, the physical interaction between human Argonaute (hAgo) and GW182 (hGW182) is essential for facilitating the downstream silencing of the targeted mRNA. hGW182 can recruit up to three copies of hAgo via its three GW motifs. This may explain the observed cooperativity in miRNA-mediated gene silencing. PMID: 28781232
- We selected five single nucleotide polymorphisms (SNPs) (rs7813, rs2740349, rs2291778, rs910924, rs595961) in two key microRNA biosynthesis genes (GEMIN4 and AGO1) and systematically evaluated the association between these SNPs, the gene-environment interaction and lung cancer risk. This is the first study showing that rs7813 and rs595961 could be meaningful as genetic markers for lung cancer risk. PMID: 27669275
- Low AGO1 expression is associated with melanoma. PMID: 27518285
- Blocking AGO1, AGO2, or TRBP expression changes expression levels and nuclear distribution of RNAi factors Dicer, TNRC6A (GW182), and TRBP. PMID: 26242502
- Argonaute-1 binds transcriptional enhancers and controls constitutive and alternative splicing PMID: 25313066
- Completion of the tetrad, combined with a mutation on a loop adjacent to the active site of hAgo1, results in slicer activity that is substantially enhanced by swapping in the N domain of hAgo2. PMID: 23746446
- Evolutionary amino acid changes to hAGO1 were readily reversible, suggesting that loading of guide RNA and pairing of seed-based miRNA and target RNA constrain its sequence drift. PMID: 23809764
- nuclear Ago1 directly interacts with RNA Polymerase II and is widely associated with chromosomal loci throughout the genome with preferential enrichment in promoters of transcriptionally active genes PMID: 24086155
- Aberrant expression of argonaute-1/-2 in human renal cell carcinoma is possibly involved with tumorigenesis and prognosis. PMID: 23696926
- PIWI-domain mutations in Ago1 may misarrange the catalytic center. Replacing Ago1 cluster 2 by the sequence found in Ago2 fully activated the Ago1 PIWI domain only when the Ago1 PIWI domain was placed into the Ago2 backbone. PMID: 23665583
- The Ago1 N domain performed best when juxtaposed with cognate PAZ and MID. This exemplifies the importance of proper intermolecular-domain interactions. PMID: 23748378
- Study observed a dramatic difference in AGO1 and AGO2 associated miRNA profiles in blood plasma. The lack of correlation between AGO1 and AGO2 miRNA content in the plasma can be explained by the fact that many tissues contribute to the extracellular miRNA content. PMID: 22858679
- Tumor xenografts and human cancer specimens indicate that AGO1-mediated translational desuppression of VEGF may be associated with tumor angiogenesis and poor prognosis. PMID: 23426184
- AGO1 and AGO2 proteins couple RNA polymerase II elongation to chromatin modification PMID: 22961379
- DGCR8, AGO1, AGO2, PACT, and TARBP1 expression levels were significantly higher in the epithelial skin cancer groups than the healthy controls (P > 0.05). PMID: 22025453
- Ago2 and Ago1 can slice, and thus functionally bind, preannealed siRNA-mRNA duplexes. PMID: 23019594
- Ago3 is able to load microRNAs efficiently in the absence of Ago1 and Ago2, despite a significant loss of global microRNA expression PMID: 22474261
- Data show that Ago1, but not Ago2, overexpression in neuroblastoma cells causes slowing of the cell cycle, decreased cellular motility, and a stronger apoptotic response to UV. PMID: 21846468
- These data suggest that Axl acts as a tumor lymphatic metastasis-associated gene, and may function partly through the regulation of Cyr61. PMID: 20721975
- Data show that Ago1 and Ago2 (which encode argonautes, the key proteins forming the RNA-induced silencing complex (RISC)) had significantly higher expression levels in ER- than in ER+ breast cancer. PMID: 19723326
- Study analyzed the association of Argonaute/EIF2C-miRNA complexes with target mRNAs and the degradation of these messages. PMID: 19767416
- 2.6 A crystal structure of the PAZ domain from human Argonaute eIF2c1 bound to both ends of a 9-mer siRNA-like duplex PMID: 15152257
- These results establish a connection between RNA interference components AGO1 and TRBP2, RNAPII transcription and Polycomb-regulated control of gene expression. PMID: 16936726
- AGO1 and AGO2 associate with promoter DNA in cells treated with antigene RNAs (agRNAs), and inhibiting expression of AGO1 or AGO2 reverses transcriptional and post-transcriptional silencing. PMID: 16936728
- Results describe a repetitive motif within Tas3, termed the 'Argonaute hook', that is conserved from yeast to humans and binds Ago1 and 2 through their PIWI domains in vitro and in vivo. PMID: 17891150
- Data show that Argonaute1 and 2 reside in three complexes with distinct Dicer and RNA-induced silencing complex activities, and that the putative RNA-binding protein RBM4 is required for microRNA-guided gene regulation. PMID: 17932509
- findings show that miRNA function is effected by AGO1-GW182 complexes and the role of GW182 in silencing goes beyond promoting deadenylation PMID: 18345015
- The specificity of RNA interference depends on the concentration of Ago1, Ago3, and Ago4 relative to Ago2. PMID: 18771919
- EIF2C1 protein expressed during the differentiation of N-type and S-type cells decreased from one of I-type cells to the central period of differentiation. PMID: 19393748
- The authors demonstrate that AGO1 uses only miRNA duplexes when assembling translational repression-competent complexes, whereas AGO2 can use both miRNA and siRNA duplexes. PMID: 19946268
- describes cloning rat sequence and used RNA interference to show that the GERp95 orthologue in C. elegans is important for maturation of germ-line stem cells in the gonad. PMID: 10512872
顯示更多
收起更多
-
亞細胞定位:Cytoplasm, P-body.
-
蛋白家族:Argonaute family, Ago subfamily
-
數據庫鏈接:
Most popular with customers
-
-
YWHAB Recombinant Monoclonal Antibody
Applications: ELISA, WB, IHC, IF, FC
Species Reactivity: Human, Mouse, Rat
-
Phospho-YAP1 (S127) Recombinant Monoclonal Antibody
Applications: ELISA, WB, IHC
Species Reactivity: Human
-
-
-
-
-















