AGGF1 Antibody
-
中文名稱:AGGF1兔多克隆抗體
-
貨號:CSB-PA001444ESR1HU
-
規格:¥440
-
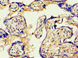
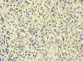
圖片:
-
其他:
產品詳情
-
產品名稱:Rabbit anti-Homo sapiens (Human) AGGF1 Polyclonal antibody
-
Uniprot No.:
-
基因名:
-
別名:AGGF 1 antibody; Aggf1 antibody; AGGF1_HUMAN antibody; Angiogenic factor VG5Q antibody; Angiogenic factor with G patch and FHA domains 1 antibody; G patch domain containing protein 7 antibody; G patch domain-containing protein 7 antibody; GPATC 7 antibody; GPATC7 antibody; GPATCH 7 antibody; GPATCH7 antibody; HSU84971 antibody; HUS84971 antibody; hVG5Q antibody; Vasculogenesis gene on 5q antibody; Vasculogenesis gene on 5q protein antibody; VG5Q antibody
-
宿主:Rabbit
-
反應種屬:Human
-
免疫原:Recombinant Human Angiogenic factor with G patch and FHA domains 1 protein (1-70AA)
-
免疫原種屬:Homo sapiens (Human)
-
標記方式:Non-conjugated
-
克隆類型:Polyclonal
-
抗體亞型:IgG
-
純化方式:Antigen Affinity Purified
-
濃度:It differs from different batches. Please contact us to confirm it.
-
保存緩沖液:PBS with 0.02% sodium azide, 50% glycerol, pH7.3.
-
產品提供形式:Liquid
-
應用范圍:ELISA, IHC
-
推薦稀釋比:
Application Recommended Dilution IHC 1:20-1:200 -
Protocols:
-
儲存條件:Upon receipt, store at -20°C or -80°C. Avoid repeated freeze.
-
貨期:Basically, we can dispatch the products out in 1-3 working days after receiving your orders. Delivery time maybe differs from different purchasing way or location, please kindly consult your local distributors for specific delivery time.
-
用途:For Research Use Only. Not for use in diagnostic or therapeutic procedures.
相關產品
靶點詳情
-
功能:Promotes angiogenesis and the proliferation of endothelial cells. Able to bind to endothelial cells and promote cell proliferation, suggesting that it may act in an autocrine fashion.
-
基因功能參考文獻:
- Aggf1 has a role in regulating vascular injury. PMID: 28153879
- High expression of AGGF1 predicts poor prognosis in gastric cancer patients. PMID: 28289272
- AGGF1 gene polymorphism does not affect the risk of varicose veins of the legs in ethnic Russians. PMID: 27704351
- Overexpression of AGGF1 is correlated with angiogenesis in hepatocellular carcinoma. PMID: 25796501
- AGGF1 reduces myocardial apoptosis and inflammation and enhances angiogenesis, leading to decreased infarct size after I/R injury. PMID: 24893993
- results of this study indicate that hypoxia down-regulates expression of the AGGF1 protein, but not AGGF1 mRNA, by inducing expression of miR-27a PMID: 24462738
- AGGF1 potently attenuated TNF-alpha triggered NF-kappaB pathway, as indicated by the decreased promoter activity, nuclear distribution and phosphorylation of NF-kappaB p65 subunit as well as the increased protein level of IkappaBalpha. PMID: 23628701
- analysis of sphingolipid modulation of angiogenic factor expression in neuroblastoma PMID: 21576349
- results define VG5Q as an angiogenic factor, establish VG5Q as a susceptibility gene for Klippel-Trenaunay syndrome, and show that increased angiogenesis is a molecular pathogenic mechanism of KTS PMID: 14961121
- VG5Q, E133K is a mutation that causes Klippel-Trenaunay and other overgrowth syndromes. PMID: 16443853
- This review describes the somatic mutation for angiogenic factor VG5Q, which may be the cause of the multisystem disorder Klippel-Trenaunay syndrome. PMID: 16911369
- identified two tagSNPs, rs13155212 and rs7704267 that capture information for all common variants in AGGF1 as a candidate susceptibility gene for Klippel-Trenaunay syndrome PMID: 18564129
- Knockdown of GATA1 expression by siRNA reduced expression of AGGF1, and resulted in endothelial cell apoptosis and inhibition of vessel formation. PMID: 19556247
顯示更多
收起更多
-
相關疾病:Klippel-Trenaunay syndrome (KTS)
-
亞細胞定位:Cytoplasm. Secreted. Note=Cytoplasmic in microvascular endothelial cells. Upon angiogenesis, when endothelial cell tube formation is initiated, it is secreted.
-
組織特異性:Widely expressed. Expressed in endothelial cells, vascular smooth muscle cells and osteoblasts. Expressed in umbilical vein endothelial cells and microvascular endothelial cells.
-
數據庫鏈接:
Most popular with customers
-
YWHAB Recombinant Monoclonal Antibody
Applications: ELISA, WB, IHC, IF, FC
Species Reactivity: Human, Mouse, Rat
-
Phospho-YAP1 (S127) Recombinant Monoclonal Antibody
Applications: ELISA, WB, IHC
Species Reactivity: Human
-
-
-
-
-
-
VDAC1 Recombinant Monoclonal Antibody
Applications: ELISA, WB, IHC
Species Reactivity: Human, Mouse, Rat















