AGBL2 Antibody
-
中文名稱:AGBL2兔多克隆抗體
-
貨號:CSB-PA197217
-
規格:¥1100
-
圖片:
-
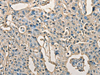
The image on the left is immunohistochemistry of paraffin-embedded Human gastric cancer tissue using CSB-PA197217(AGBL2 Antibody) at dilution 1/25, on the right is treated with fusion protein. (Original magnification: ×200)
-
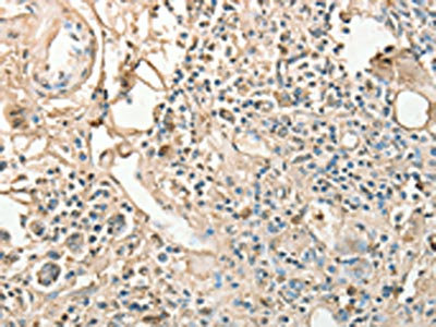
The image on the left is immunohistochemistry of paraffin-embedded Human lung cancer tissue using CSB-PA197217(AGBL2 Antibody) at dilution 1/25, on the right is treated with fusion protein. (Original magnification: ×200)
-
Gel: 6%SDS-PAGE, Lysate: 40 μg, Lane: 293T cell, Primary antibody: CSB-PA197217(AGBL2 Antibody) at dilution 1/200 dilution, Secondary antibody: Goat anti rabbit IgG at 1/8000 dilution, Exposure time: 1 minute
-
-
其他:
產品詳情
-
Uniprot No.:
-
基因名:AGBL2
-
別名:AGBL 2 antibody; AGBL2 antibody; ATP/GTP binding protein like 2 antibody; ATP/GTP-binding protein-like 2 antibody; Carboxypeptidase 2 cytosolic antibody; CBPC2_HUMAN antibody; CCP2 antibody; Cytosolic carboxypeptidase 2 antibody; FLJ23598 antibody
-
宿主:Rabbit
-
反應種屬:Human
-
免疫原:Fusion protein of Human AGBL2
-
免疫原種屬:Homo sapiens (Human)
-
標記方式:Non-conjugated
-
抗體亞型:IgG
-
純化方式:Antigen affinity purification
-
濃度:It differs from different batches. Please contact us to confirm it.
-
保存緩沖液:-20°C, pH7.4 PBS, 0.05% NaN3, 40% Glycerol
-
產品提供形式:Liquid
-
應用范圍:ELISA,WB,IHC
-
推薦稀釋比:
Application Recommended Dilution ELISA 1:1000-1:2000 WB 1:200-1:1000 IHC 1:25-1:100 -
Protocols:
-
儲存條件:Upon receipt, store at -20°C or -80°C. Avoid repeated freeze.
-
貨期:Basically, we can dispatch the products out in 1-3 working days after receiving your orders. Delivery time maybe differs from different purchasing way or location, please kindly consult your local distributors for specific delivery time.
-
用途:For Research Use Only. Not for use in diagnostic or therapeutic procedures.
相關產品
靶點詳情
-
功能:Metallocarboxypeptidase that mediates deglutamylation of tubulin and non-tubulin target proteins. Catalyzes the removal of polyglutamate side chains present on the gamma-carboxyl group of glutamate residues within the C-terminal tail of tubulin protein. Specifically cleaves tubulin long-side-chains, while it is not able to remove the branching point glutamate. Also catalyzes the removal of polyglutamate residues from the carboxy-terminus of non-tubulin proteins such as MYLK.
-
基因功能參考文獻:
- Findings suggest that ATP/GTP binding protein like 2 (AGBL2) plays a critical oncogenic role in the pathogenesis of hepatocellular carcinoma (HCC) through modulation on immunity-related GTPase family, M protein (IRGM)-regulated autophagy and aurora kinase A (Aurora A) activity. PMID: 29126912
- Suggest role for AGBL2 in cell proliferation and chemotherapy resistance in gastric cancer. PMID: 25916089
- High AGBL2 expression is associated with breast cancer. PMID: 24884516
- RARRES1, its interacting partners AGBL2, Eg5/KIF11, another EEY-bearing protein (EB1), and the microtubule tyrosination cycle are important in tumorigenesis. PMID: 21303978
-
亞細胞定位:Cytoplasm, cytosol. Cytoplasm, cytoskeleton, microtubule organizing center, centrosome, centriole. Cytoplasm, cytoskeleton, cilium basal body.
-
蛋白家族:Peptidase M14 family
-
數據庫鏈接:
Most popular with customers
-
YWHAB Recombinant Monoclonal Antibody
Applications: ELISA, WB, IHC, IF, FC
Species Reactivity: Human, Mouse, Rat
-
Phospho-YAP1 (S127) Recombinant Monoclonal Antibody
Applications: ELISA, WB, IHC
Species Reactivity: Human
-
-
-
-
-
-















