AFP Antibody
-
中文名稱:AFP兔多克隆抗體
-
貨號:CSB-PA787484
-
規格:¥1100
-
圖片:
-
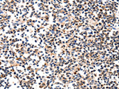
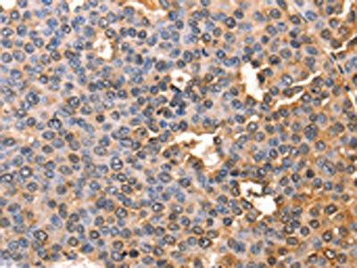
The image on the left is immunohistochemistry of paraffin-embedded Human liver cancer tissue using CSB-PA787484(AFP Antibody) at dilution 1/60, on the right is treated with fusion protein. (Original magnification: ×200)
-
The image on the left is immunohistochemistry of paraffin-embedded Human tonsil tissue using CSB-PA787484(AFP Antibody) at dilution 1/60, on the right is treated with fusion protein. (Original magnification: ×200)
-
Gel: 8%SDS-PAGE, Lysate: 40 μg, Lane: Human liver cancer tissue, Primary antibody: CSB-PA787484(AFP Antibody) at dilution 1/1000, Secondary antibody: Goat anti rabbit IgG at 1/8000 dilution, Exposure time: 30 seconds
-
-
其他:
產品詳情
-
Uniprot No.:
-
基因名:
-
別名:Afp antibody; AFPD antibody; Alpha fetoglobulin antibody; Alpha fetoprotein antibody; Alpha fetoprotein precursor antibody; Alpha-1-fetoprotein antibody; Alpha-fetoglobulin antibody; Alpha-fetoprotein antibody; alpha-fetoprotein; Hereditary persistence of; included antibody; FETA antibody; FETA_HUMAN antibody; Hereditary persistence of alpha fetoprotein antibody; HPAFP antibody
-
宿主:Rabbit
-
反應種屬:Human
-
免疫原:Fusion protein of Human AFP
-
免疫原種屬:Homo sapiens (Human)
-
標記方式:Non-conjugated
-
抗體亞型:IgG
-
純化方式:Antigen affinity purification
-
濃度:It differs from different batches. Please contact us to confirm it.
-
保存緩沖液:-20°C, pH7.4 PBS, 0.05% NaN3, 40% Glycerol
-
產品提供形式:Liquid
-
應用范圍:ELISA,WB,IHC
-
推薦稀釋比:
Application Recommended Dilution ELISA 1:2000-1:10000 WB 1:1000-1:5000 IHC 1:50-1:200 -
Protocols:
-
儲存條件:Upon receipt, store at -20°C or -80°C. Avoid repeated freeze.
-
貨期:Basically, we can dispatch the products out in 1-3 working days after receiving your orders. Delivery time maybe differs from different purchasing way or location, please kindly consult your local distributors for specific delivery time.
-
用途:For Research Use Only. Not for use in diagnostic or therapeutic procedures.
相關產品
靶點詳情
-
功能:Binds copper, nickel, and fatty acids as well as, and bilirubin less well than, serum albumin. Only a small percentage (less than 2%) of the human AFP shows estrogen-binding properties.
-
基因功能參考文獻:
- Peak preoperative serum alpha-fetoprotein to total tumor volume predicts recurrence of hepatocellular carcinoma. PMID: 29284589
- the results suggest that AFP may positively regulate cell proliferation by enhancing the apoptosis resistance via effect on TGF-beta and p53/Bax/caspase-3 signaling pathway in HepG2 cells. As such, the knockdown of AFP gene should be further investigated in vivo as a novel approach to hepatocellular carcinoma treatment. PMID: 30249880
- Aberrant CTNNB1 expression was seen in a substantial proportion of our hepatocellular carcinoma (HCC) cases. CTNNB1-positive HCC was associated with normal AFP levels, unicentric tumors, well-differentiated histology, and an unfavorable outcome. PMID: 30082549
- Elevated preoperative serum alpha-fetoprotein levels have predictive value for hepatocellular carcinoma survival. PMID: 28893428
- Cases of ovarian ovarian Sertoli-Leydig cell tumors (SLCTs) with elevated serum AFP should be sampled extensively to look for foci of intestinal-type glands, the likely source of the alpha fetoprotein (AFP) elevation in some of these neoplasms. PMID: 28582340
- In HBV-related cirrhosis, the combination of miR-122, AFP and PIVKA-II enables the identification of patients at higher risk of hepatocellular carcinoma development. PMID: 28650134
- Examination of AFP over time has great predictive and prognostic value for managing advanced gastric cancer. For those with markedly elevated AFP, triplet regimens may be a better choice. PMID: 29375212
- Low expression of AFP is associated with recurrence of hepatocellular carcinoma. PMID: 29572833
- High-levels of PIVKA-II in at-risk patients is an indicator of hepatocellular carcinoma (HCC)development in two-year time. CONCLUSIONS: Our data showed that PIVKA-II effectively increases the detection rate of HCC was a valid complement to AFP and image examination in HCC surveillance PMID: 28863782
- Unspecific AFP elevations occur in about 2% of pure testicular seminoma patients. PMID: 28668957
- serum level in the second trimester an important indicator of fetal surface malformations PMID: 27771626
- HCC [hepatocellular carcinoma] patients who are sero-positive for DCP [Des-gamma-carboxyprothrombin] and sero-negative for AFP[Alpha-fetoprotein] have significantly higher levels of serum ALT[alanine aminotransferase]; serum ALT levels may be of diagnostic importance in AFP-negative, HBV-related HCC [hepatitis B virus-related hepatocellular carcinoma] patients. PMID: 29192630
- Higher baseline serum AFP levels independently predicted a lower sustained viral response to antivirals among patients with chronic hepatitis C. PMID: 17713163
- Computer modeling shows the identification of potential binding sites of lysophospholipids (LP) receptors on the AFP third domain receptor binding fragment. AFP might bind not only to the LPL receptors, but also to LPLs themselves since AFP binds medium and long chain fatty acids. It is proposed that some of the activities ascribed to AFP might be due in part to the presence of bound LPLs and/or their receptors. [review] PMID: 26844573
- AFP may be an important molecule acting against paclitaxel-inhibited proliferation and induced apoptosis in hepatocellular carcinoma cells via repressing the activity of caspase-3 and stimulating the expression of Ras and Survivin. PMID: 27255186
- PIVKA II, when combined with AFP, may be considered as a screening test for hepatocellular carcinoma due to its high negative predictive value. PMID: 28652441
- Identification of the distinct impact of circulating tumor derived AFP on NK-cell function and viability may be crucial to developing a strategy to ameliorate hepatocellular carcinoma patient NK-cell functional deficits. PMID: 28468916
- The detection of ALT, AFP, AFP-L3, and GP73 has a certain guiding significance to predict the risk of hepatocellular carcinoma in hepatic cirrhosis patients PMID: 28540298
- Antibody therapy targeted at AFP-producing tumor cells showed an inhibitory effect on the PI3K/AKT pathway via the liberation, restoration and functional stabilization of PTEN. PTEN simultaneously induced both P53 activation and intracellular translocation of GLUT1, since these are closely associated with PTEN. PMID: 28498467
- Incorporation AFP status into the BCLC staging system to modify the recommended treatment of patients with stage C hepatocellular carcinoma. PMID: 27835609
- we used alpha-fetoprotein (AFP), a specific liver cancer marker, as an example to determine whether peptide-MHC complexes can be targets for CAR T-cell therapy against solid tumors.in an established intraperitoneal liver cancer xenograft model, AFP-CAR T cells showed robust antitumor activity PMID: 27535982
- miR-620, miR-1236 and miR-1270 are critical factors in the post-transcriptional regulation of AFP in hepatitis B infected hepatoma cells. Icaritin can counteract the effect of HBV. PMID: 27835879
- BWS registries and prospective clinical studies will assess the most appropriate means to screen for hepatoblastoma, whether aFP-screened patients have additional survival benefit over patients screened by US only, and whether the outcome is improved by earlier detection PMID: 28211991
- p55PIK significantly stimulated the expression of AFP by activating NF-kappaB signaling pathway in hepatocellular carcinoma cells. PMID: 28970114
- Irregular MIP pattern by CEUS and high level of serum AFP-L3 were independent risk factors for poor outcome after successful RFA. The Patients with these findings should be considered as special high-risk group in early-stage HCC. PMID: 27748052
- our data suggest that HBeAg seroconversion and liver cirrhosis are associated with the occurrence of HCC and that a surveillance system with regular measurement of AFP to watch for the occurrence of HCC may be mandatory for children and young patients with chronic HBV infection. PMID: 27748053
- We could demonstrate in our cohort the superior detection of early stage HCC with the combined use of the respective biomarkers and in particular GALAD even in AFP-negative tumors. PMID: 27936479
- A correlation was found between serum AFP concentration and age in extremely low-birthweight infants (ELBWI), and the 95%CI of serum AFP concentration was determined for ELBWI up to 2 years after birth. PMID: 27400853
- rAFP promoted growth of the human HCC cells, antagonize paclitaxel inhibition of HCC cell proliferation, suppress expression of active caspase-3, and promote expression of Ras and survivin. PMID: 28554567
- Measurements of serum alpha-fetoprotein (AFP) levels could be helpful in detecting progression or recurrence in treated patients with hepatitis B virus (HBV) - hepatocellular carcinoma (HCC) and normal alanine aminotransferase (ALT). PMID: 27304617
- AFP mRNA level is in enriched circulating tumor cells from patients with metastatic hepatocellular carcinoma. PMID: 27160647
- High serum AFP levels were significantly associated with the prevalence of metabolic syndrome in a Chinese asymptomatic population. PMID: 27121855
- Contrary to expectation, Chronic Hepatitis B patients with current or recent exposure to NA therapy showed poorer performance of AFP during hepatocellular carcinoma surveillance PMID: 27997559
- Protein induced by vitamin K absence or antagonist-II showed higher area under the curve than alpha-fetoprotein for diagnosis of hepatitis B virus-related hepatocellular carcinoma patients (0.901 vs 0.788).We conclude that Combining alpha-fetoprotein and protein induced by vitamin K absence or antagonist-II may improve the diagnostic value for early detection of hepatocellular carcinoma. PMID: 28621228
- AFP expression turned on prior to expression of Oct4, Klf4, Sox2 and c-myc, and the stemness markers CD44, CD133 and EpCAM in the normal human liver L-02 cell line or CHL cell lines upon transfection with MCV-HBx vectors. HBx stimulates AFP expression to induce natural reprogramming of liver cells, and AFP plays a critical role in promoting the initiation of HCC progenitor/stem cells. PMID: 27925189
- analysis of alpha-fetoprotein producing early gastric cancer with enteroblastic differentiation PMID: 27688662
- Lower post-treatment AFP levels and HCV genotype 2 significantly correlated with liver fibrosis regression after sustained virological response. PMID: 27123974
- Increased expression of AFP resulted in the upregulation of beta-catenin mRNA and protein levels, while knockdown of AFP with AFP shRNA led to significantly decreased beta-catenin mRNA and protein levels in hepatocellular carcinoma cells. PMID: 27924522
- serum level differentiates hepatocellular carcinoma from liver cirrhosis, especially when combined with acarboxyprothrombin PMID: 28296720
- soluble alpha-fetoprotein is a marker for Fanconi anemia; FANC proteins form multi-protein complexes with BRCA proteins and are involved in homologous DNA repair [review] PMID: 27690720
- Studies indicate that the experimental data on the carboxy-terminal third domain of alpha-fetoprotein (AFP-3D) interaction with cell cycle proteins in cultured MCF-7 breast cancer cells were consistent with the "in silico" findings. PMID: 27448301
- we evaluated the clinical performance of LOCItrade mark-based tumor marker assays CEA, CA19-9, CA15-3, CA125 and AFP in patients with gastrointestinal cancer and demonstrated their high diagnostic power PMID: 28011514
- The definitive endoderm and foregut endoderm differentiation capabilities of Wnt pathway-modulated cells were determined based on the expression levels of the endodermal transcription factors SOX17 and FOXA2 and those of the transcription activator GATA4 and the alpha-fetoprotein (AFP) gene, respectively. PMID: 26861571
- Suggest elevated serum AFP levels may have diagnostic value for early stage hepatocellular carcinoma in Korean patients. PMID: 26767857
- AFP promoted hepatocellular carcinoma cell invasion and metastasis via up-regulating expression of metastasis-related proteins. PMID: 26756858
- Interference of AFP reduced AGS gastric cancer cell invasion and metastasis by enhancing anoikis sensitivity. PMID: 26986949
- High serum alpha-fetoprotein is associated with colon cancer. PMID: 26976278
- High serum AFP is associated with hepatitis B virus infection-related hepatocellular carcinoma. PMID: 26784252
- Elevated insulin resistance, leptin, serum iron, ferritin, mean platelet volume, NLR, and advanced fibrosis, as well as decreased platelet count and serum albumin, are independently associated with an elevated AFP level in chronic hepatitis C. PMID: 26618566
- VEGF could be a potential biomarker for HCC, while AFP could be used to distinguish between patients with HCC and cirrhosis or HCV. PMID: 26782388
顯示更多
收起更多
-
相關疾病:Alpha-fetoprotein deficiency (AFPD); Alpha-fetoprotein, hereditary persistence (HPAFP)
-
亞細胞定位:Secreted.
-
蛋白家族:ALB/AFP/VDB family
-
組織特異性:Plasma. Synthesized by the fetal liver and yolk sac.
-
數據庫鏈接:
Most popular with customers
-
-
YWHAB Recombinant Monoclonal Antibody
Applications: ELISA, WB, IHC, IF, FC
Species Reactivity: Human, Mouse, Rat
-
Phospho-YAP1 (S127) Recombinant Monoclonal Antibody
Applications: ELISA, WB, IHC
Species Reactivity: Human
-
-
-
-
-















