AEBP2 Antibody
-
中文名稱:AEBP2兔多克隆抗體
-
貨號:CSB-PA156662
-
規格:¥1100
-
圖片:
-
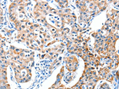
The image on the left is immunohistochemistry of paraffin-embedded Human breast cancer tissue using CSB-PA156662(AEBP2 Antibody) at dilution 1/25, on the right is treated with fusion protein. (Original magnification: ×200)
-
The image on the left is immunohistochemistry of paraffin-embedded Human lung cancer tissue using CSB-PA156662(AEBP2 Antibody) at dilution 1/25, on the right is treated with fusion protein. (Original magnification: ×200)
-
Gel: 12%SDS-PAGE, Lysate: 60 μg, Lane: Mouse liver tissue, Primary antibody: CSB-PA156662(AEBP2 Antibody) at dilution 1/225, Secondary antibody: Goat anti rabbit IgG at 1/8000 dilution, Exposure time: 20 seconds
-
-
其他:
產品詳情
-
Uniprot No.:
-
基因名:
-
別名:AEBP2 antibody; Zinc finger protein AEBP2 antibody; Adipocyte enhancer-binding protein 2 antibody; AE-binding protein 2 antibody
-
宿主:Rabbit
-
反應種屬:Human,Mouse
-
免疫原:Fusion protein of Human AEBP2
-
免疫原種屬:Homo sapiens (Human)
-
標記方式:Non-conjugated
-
抗體亞型:IgG
-
純化方式:Antigen affinity purification
-
濃度:It differs from different batches. Please contact us to confirm it.
-
保存緩沖液:-20°C, pH7.4 PBS, 0.05% NaN3, 40% Glycerol
-
產品提供形式:Liquid
-
應用范圍:ELISA,WB,IHC
-
推薦稀釋比:
Application Recommended Dilution ELISA 1:2000-1:5000 WB 1:200-1:1000 IHC 1:25-1:100 -
Protocols:
-
儲存條件:Upon receipt, store at -20°C or -80°C. Avoid repeated freeze.
-
貨期:Basically, we can dispatch the products out in 1-3 working days after receiving your orders. Delivery time maybe differs from different purchasing way or location, please kindly consult your local distributors for specific delivery time.
-
用途:For Research Use Only. Not for use in diagnostic or therapeutic procedures.
相關產品
靶點詳情
-
功能:Acts as an accessory subunit for the core Polycomb repressive complex 2 (PRC2), which mediates histone H3K27 (H3K27me3) trimethylation on chromatin leading to transcriptional repression of the affected target gene. Plays a role in nucleosome localization of the PRC2 complex.
-
基因功能參考文獻:
- retrotransposons as promoter, which display partial DNA methylation pattern of allelic- or non-allelic origin during different stages of development PMID: 25915901
- The first three-dimensional structure of the human polycomb repressive complex 2 complex bound to its cofactor AEBP2 has been presented. PMID: 23110252
-
亞細胞定位:Nucleus.
-
蛋白家族:AEBP2/jing C2H2-type zinc-finger family
-
數據庫鏈接:
Most popular with customers
-
-
YWHAB Recombinant Monoclonal Antibody
Applications: ELISA, WB, IHC, IF, FC
Species Reactivity: Human, Mouse, Rat
-
Phospho-YAP1 (S127) Recombinant Monoclonal Antibody
Applications: ELISA, WB, IHC
Species Reactivity: Human
-
-
-
-
-















