AEBP1 Antibody
-
中文名稱:AEBP1兔多克隆抗體
-
貨號:CSB-PA225304
-
規格:¥1100
-
圖片:
-
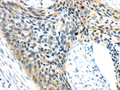
The image on the left is immunohistochemistry of paraffin-embedded Human esophagus cancer tissue using CSB-PA225304(AEBP1 Antibody) at dilution 1/25, on the right is treated with synthetic peptide. (Original magnification: ×200)
-
The image on the left is immunohistochemistry of paraffin-embedded Human thyroid cancer tissue using CSB-PA225304(AEBP1 Antibody) at dilution 1/25, on the right is treated with synthetic peptide. (Original magnification: ×200)
-
-
其他:
產品詳情
-
Uniprot No.:
-
基因名:AEBP1
-
別名:AEBP1 antibody; ACLP antibody; Adipocyte enhancer-binding protein 1 antibody; AE-binding protein 1 antibody; Aortic carboxypeptidase-like protein antibody
-
宿主:Rabbit
-
反應種屬:Human,Mouse,Rat
-
免疫原:Synthetic peptide of Human AEBP1
-
免疫原種屬:Homo sapiens (Human)
-
標記方式:Non-conjugated
-
抗體亞型:IgG
-
純化方式:Antigen affinity purification
-
濃度:It differs from different batches. Please contact us to confirm it.
-
保存緩沖液:-20°C, pH7.4 PBS, 0.05% NaN3, 40% Glycerol
-
產品提供形式:Liquid
-
應用范圍:ELISA,IHC
-
推薦稀釋比:
Application Recommended Dilution ELISA 1:2000-1:5000 IHC 1:25-1:100 -
Protocols:
-
儲存條件:Upon receipt, store at -20°C or -80°C. Avoid repeated freeze.
-
貨期:Basically, we can dispatch the products out in 1-3 working days after receiving your orders. Delivery time maybe differs from different purchasing way or location, please kindly consult your local distributors for specific delivery time.
-
用途:For Research Use Only. Not for use in diagnostic or therapeutic procedures.
相關產品
靶點詳情
-
功能:As a positive regulator of collagen fibrillogenesis, it is probably involved in the organization and remodeling of the extracellular matrix.; May positively regulate MAP-kinase activity in adipocytes, leading to enhanced adipocyte proliferation and reduced adipocyte differentiation. May also positively regulate NF-kappa-B activity in macrophages by promoting the phosphorylation and subsequent degradation of I-kappa-B-alpha (NFKBIA), leading to enhanced macrophage inflammatory responsiveness. Can act as a transcriptional repressor.
-
基因功能參考文獻:
- These studies support the conclusion that bi-allelic pathogenic variants in AEBP1 are the cause of this autosomal-recessive Ehlers-Danlos Syndrome subtype. PMID: 29606302
- Studies identify ACLP as a stromal derived mediator of adipose progenitor differentiation that may limit adipocyte expansion during white adipose tissue fibrosis. PMID: 29799877
- AEBP1 protein is expressed in the pyramidal neurons of human central nervous system and increased in neurons and glial cells of hippocampi and parahippocampal cortices, correlating with the progression of Alzheimer's disease. PMID: 27997051
- ACLP stimulates the fibroblast-to-myofibroblast transition by promoting SMA expression via TGFbeta signaling and promoting collagen expression through a TGFbeta receptor-independent pathway. PMID: 24344132
- There is no statistically significant differences in the frequency of variants in AEBP1 among the gastroschisis case group compared to a Caucasian control group. PMID: 22821744
- Most ACLP knockout mice die perinatally due to abdominal issues. PMID: 11438679
- Both cellular proliferation and survival were affected in AEBP1-silenced U87MG and U138MG cell lines and a significant percentage of these cells were directed towards apoptosis. PMID: 22723309
- This review focuses on the recently reported regulatory functions that adipocyte enhancer-binding protein 1 (AEBP1) exerts on PPARgamma1 and LXRalpha transcriptional activity in the context of macrophage cholesterol homeostasis and inflammation. PMID: 20419060
- Transgenic overexpression of AEBP1 during adipogenesis coupled with a high-fat diet results in massive obesity in female transgenic mice via adipocyte hyperplasia. PMID: 16307171
- ACLP and its discoidin-like domain may be novel targets for anti-myofibroblast-based therapies for the treatment of pulmonary fibrosis. PMID: 19179605
顯示更多
收起更多
-
亞細胞定位:[Isoform 1]: Secreted.; [Isoform 2]: Cytoplasm. Nucleus.
-
蛋白家族:Peptidase M14 family
-
組織特異性:Expressed in osteoblast and visceral fat.
-
數據庫鏈接:
Most popular with customers
-
-
YWHAB Recombinant Monoclonal Antibody
Applications: ELISA, WB, IHC, IF, FC
Species Reactivity: Human, Mouse, Rat
-
Phospho-YAP1 (S127) Recombinant Monoclonal Antibody
Applications: ELISA, WB, IHC
Species Reactivity: Human
-
-
-
-
-















