ADHFE1 Antibody
-
中文名稱:ADHFE1兔多克隆抗體
-
貨號:CSB-PA654216
-
規格:¥1100
-
圖片:
-
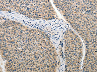
The image on the left is immunohistochemistry of paraffin-embedded Human liver cancer tissue using CSB-PA654216(ADHFE1 Antibody) at dilution 1/25, on the right is treated with synthetic peptide. (Original magnification: ×200)
-
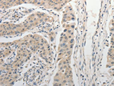
The image on the left is immunohistochemistry of paraffin-embedded Human lung cancer tissue using CSB-PA654216(ADHFE1 Antibody) at dilution 1/25, on the right is treated with synthetic peptide. (Original magnification: ×200)
-
-
其他:
產品詳情
-
Uniprot No.:
-
基因名:ADHFE1
-
別名:ADH8 antibody; ADHFE 1 antibody; ADHFe1 antibody; Alcohol dehydrogenase iron-containing protein 1 antibody; Alcohol dehydrogenase; iron containing; 1 antibody; Fe containing alcohol dehydrogenase antibody; Fe-containing alcohol dehydrogenase antibody; HOT antibody; HOT_HUMAN antibody; Hydroxyacid oxoacid transhydrogenase; mitochondrial antibody; Hydroxyacid-oxoacid transhydrogenase antibody; mitochondrial antibody
-
宿主:Rabbit
-
反應種屬:Human,Mouse,Rat
-
免疫原:Synthetic peptide of Human ADHFE1
-
免疫原種屬:Homo sapiens (Human)
-
標記方式:Non-conjugated
-
抗體亞型:IgG
-
純化方式:Antigen affinity purification
-
濃度:It differs from different batches. Please contact us to confirm it.
-
保存緩沖液:-20°C, pH7.4 PBS, 0.05% NaN3, 40% Glycerol
-
產品提供形式:Liquid
-
應用范圍:ELISA,IHC
-
推薦稀釋比:
Application Recommended Dilution ELISA 1:2000-1:5000 IHC 1:25-1:100 -
Protocols:
-
儲存條件:Upon receipt, store at -20°C or -80°C. Avoid repeated freeze.
-
貨期:Basically, we can dispatch the products out in 1-3 working days after receiving your orders. Delivery time maybe differs from different purchasing way or location, please kindly consult your local distributors for specific delivery time.
-
用途:For Research Use Only. Not for use in diagnostic or therapeutic procedures.
相關產品
靶點詳情
-
功能:Catalyzes the cofactor-independent reversible oxidation of gamma-hydroxybutyrate (GHB) to succinic semialdehyde (SSA) coupled to reduction of 2-ketoglutarate (2-KG) to D-2-hydroxyglutarate (D-2-HG). D,L-3-hydroxyisobutyrate and L-3-hydroxybutyrate (L-3-OHB) are also substrates for HOT with 10-fold lower activities.
-
基因功能參考文獻:
- These results demonstrate that the promoter hypermethylation of ADHFE1 is frequently present in CRC and alcohol induces methylation-mediated down expression of ADHFE1 and proliferation of CRC cells. PMID: 24886599
- ADHFE1 has an important role of differentiation in CRC, as well as normal colorectal mucosa and embryonic developmental processes. PMID: 23517143
- cloned and characterized an iron-activated alcohol dehydrogenase gene, Fe-containing alcohol dehydrogenase 1 (ADHFe1) PMID: 12592711
- show that the ADHFe1 gene is related to bacterial GHB dehydrogenases and has a conserved NAD-binding site PMID: 19013439
-
亞細胞定位:Mitochondrion.
-
蛋白家族:Iron-containing alcohol dehydrogenase family, Hydroxyacid-oxoacid transhydrogenase subfamily
-
組織特異性:Only expressed in adult liver.
-
數據庫鏈接:
Most popular with customers
-
-
YWHAB Recombinant Monoclonal Antibody
Applications: ELISA, WB, IHC, IF, FC
Species Reactivity: Human, Mouse, Rat
-
Phospho-YAP1 (S127) Recombinant Monoclonal Antibody
Applications: ELISA, WB, IHC
Species Reactivity: Human
-
-
-
-
-















