ADH7 Antibody
-
中文名稱:ADH7兔多克隆抗體
-
貨號:CSB-PA001362LA01HU
-
規格:¥440
-
圖片:
-
Western blot
All lanes: ADH7 antibody at 2µg/ml + Mouse liver tissue
Secondary
Goat polyclonal to rabbit IgG at 1/10000 dilution
Predicted band size: 42, 43 kDa
Observed band size: 42 kDa -
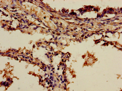
Immunohistochemistry of paraffin-embedded human lung cancer using CSB-PA001362LA01HU at dilution of 1:100
-
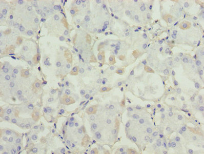
Immunohistochemistry of paraffin-embedded human gastric cancer using CSB-PA001362LA01HU at dilution of 1:100
-
Immunofluorescence staining of HepG2 cells with CSB-PA001362LA01HU at 1:133,counter-stained with DAPI. The cells were fixed in 4% formaldehyde, permeabilized using 0.2% Triton X-100 and blocked in 10% normal Goat Serum. The cells were then incubated with the antibody overnight at 4°C.The secondary antibody was Alexa Fluor 488-congugated AffiniPure Goat Anti-Rabbit IgG (H+L).
-
-
其他:
產品詳情
-
產品描述:
The ADH7 antibody is a polyclonal antibody that is generated in rabbits by immunizing with recombinant human Alcohol dehydrogenase class 4 mu/sigma chain protein (1-386aa). The primary function of the ADH7 polyclonal antibody is to recognize and bind to the ADH7 protein in samples from both human and mouse species.
The ADH7 antibody is protein G purified, with a purity greater than 95%, which ensures its high quality and reliability. This antibody has been tested for use in a range of applications, including ELISA, WB, IHC, and IF. Its availability in different applications allows for the investigation of the expression and localization of ADH7 in different tissues and cells in human and mouse samples.
-
產品名稱:Rabbit anti-Homo sapiens (Human) ADH7 Polyclonal antibody
-
Uniprot No.:
-
基因名:ADH7
-
別名:ADH7 antibody; All-trans-retinol dehydrogenase [NAD(+)] ADH7 antibody; EC 1.1.1.105 antibody; Alcohol dehydrogenase class 4 mu/sigma chain antibody; EC 1.1.1.1 antibody; Alcohol dehydrogenase class IV mu/sigma chain antibody; Gastric alcohol dehydrogenase antibody; Omega-hydroxydecanoate dehydrogenase ADH7 antibody; EC 1.1.1.66 antibody; Retinol dehydrogenase antibody
-
宿主:Rabbit
-
反應種屬:Human, Mouse
-
免疫原:Recombinant Human Alcohol dehydrogenase class 4 mu/sigma chain protein (1-386AA)
-
免疫原種屬:Homo sapiens (Human)
-
標記方式:Non-conjugated
本頁面中的產品,ADH7 Antibody (CSB-PA001362LA01HU),的標記方式是Non-conjugated。對于ADH7 Antibody,我們還提供其他標記。見下表:
-
克隆類型:Polyclonal
-
抗體亞型:IgG
-
純化方式:>95%, Protein G purified
-
濃度:It differs from different batches. Please contact us to confirm it.
-
保存緩沖液:Preservative: 0.03% Proclin 300
Constituents: 50% Glycerol, 0.01M PBS, PH 7.4 -
產品提供形式:Liquid
-
應用范圍:ELISA, WB, IHC, IF
-
推薦稀釋比:
Application Recommended Dilution WB 1:1000-1:5000 IHC 1:20-1:200 IF 1:50-1:200 -
Protocols:
-
儲存條件:Upon receipt, store at -20°C or -80°C. Avoid repeated freeze.
-
貨期:Basically, we can dispatch the products out in 1-3 working days after receiving your orders. Delivery time maybe differs from different purchasing way or location, please kindly consult your local distributors for specific delivery time.
-
用途:For Research Use Only. Not for use in diagnostic or therapeutic procedures.
相關產品
靶點詳情
-
功能:Catalyzes the NAD-dependent oxidation of all-trans-retinol, alcohol, and omega-hydroxy fatty acids and their derivatives. Oxidizes preferentially all trans-retinol, all-trans-4-hydroxyretinol, 9-cis-retinol, 2-hexenol, and long chain omega-hydroxy fatty acids such as juniperic acid. In vitro can also catalyzes the NADH-dependent reduction of all-trans-retinal and aldehydes and their derivatives. Reduces preferentially all trans-retinal, all-trans-4-oxoretinal and hexanal. Catalyzes in the oxidative direction with higher efficiency. Therefore may participate in retinoid metabolism, fatty acid omega-oxidation, and elimination of cytotoxic aldehydes produced by lipid peroxidation.
-
基因功能參考文獻:
- These results suggest that variants near ADH7 may play a role in protection from alcohol dependence in this Mexican American cohort. PMID: 25527893
- Transcriptional regulatory elements of ADH7 were identified that effect gene expression. PMID: 24512552
- common ADH1-7 variants conferred risk for both schizophrenia in African-Americans and autism in European-Americans. PMID: 23468174
- The rs1573496 (ADH7) polymorphism was not associated with colorectal cancer risk overall in Western-European populations. However, the relationship between alcohol and colorectal cancer risk might be modulated by the rs1573496 (ADH7) polymorphism. PMID: 23149980
- The current results support the ADH7 A92G SNP as a marker for the risk of SCCHN in non-Hispanic white populations. PMID: 20336794
- An association between age at onset of regular alcohol use and a SNP just upstream of ADH7 (rs2654849, p = .003) was observed. PMID: 20158305
- ADH7 gene polymorphisms are associated with upper aerodigestive tract cancers. PMID: 19861527
- the ADH7 variation may contribute to the genetic component of variation in personality traits, with the risk for SD and personality traits being partially shared. PMID: 17918242
- A recombinational hotspot within intron 7 of the ADH7 gene were seen using 25 SNPs; haplotypes associated with inter-individual variation in the early stages of alcohol metabolism were identified. PMID: 17921519
- Changes in the activity of class IV ADH in the sera of patients with gastric cancer seems to be caused by release of the isoenzyme from cancer cells. PMID: 18231859
- Single Nucleotide Polymorphism in ADH7 gene is associated with upper aerodigestive cancer. PMID: 18500343
顯示更多
收起更多
-
亞細胞定位:Cytoplasm.
-
蛋白家族:Zinc-containing alcohol dehydrogenase family, Class-IV subfamily
-
組織特異性:Preferentially expressed in stomach.
-
數據庫鏈接:
Most popular with customers
-
-
YWHAB Recombinant Monoclonal Antibody
Applications: ELISA, WB, IHC, IF, FC
Species Reactivity: Human, Mouse, Rat
-
Phospho-YAP1 (S127) Recombinant Monoclonal Antibody
Applications: ELISA, WB, IHC
Species Reactivity: Human
-
-
-
-
-















