ADH1C Antibody
-
中文名稱:ADH1C兔多克隆抗體
-
貨號:CSB-PA001355ESR1HU
-
規格:¥440
-
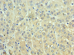
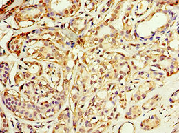
圖片:
-
其他:
產品詳情
-
產品名稱:Rabbit anti-Homo sapiens (Human) ADH1C Polyclonal antibody
-
Uniprot No.:
-
基因名:ADH1C
-
別名:ADH gamma subunit antibody; ADH1C antibody; ADH1G_HUMAN antibody; Adh3 antibody; Alcohol dehydrogenase 1C (class I) gamma polypeptide antibody; Alcohol dehydrogenase 1C antibody; Alcohol dehydrogenase 1C gamma polypeptide antibody; Alcohol dehydrogenase 3 (class I) gamma polypeptide antibody; Alcohol dehydrogenase 3 antibody; Alcohol dehydrogenase subunit gamma antibody; Aldehyde reductase antibody; Class I alcohol dehydrogenase antibody; OTTHUMP00000220209 antibody
-
宿主:Rabbit
-
反應種屬:Human
-
免疫原:Recombinant Human Alcohol dehydrogenase 1C protein (1-375AA)
-
免疫原種屬:Homo sapiens (Human)
-
標記方式:Non-conjugated
-
克隆類型:Polyclonal
-
抗體亞型:IgG
-
純化方式:Antigen Affinity Purified
-
濃度:It differs from different batches. Please contact us to confirm it.
-
保存緩沖液:PBS with 0.02% sodium azide, 50% glycerol, pH7.3.
-
產品提供形式:Liquid
-
應用范圍:ELISA, IHC
-
推薦稀釋比:
Application Recommended Dilution IHC 1:20-1:200 -
Protocols:
-
儲存條件:Upon receipt, store at -20°C or -80°C. Avoid repeated freeze.
-
貨期:Basically, we can dispatch the products out in 1-3 working days after receiving your orders. Delivery time maybe differs from different purchasing way or location, please kindly consult your local distributors for specific delivery time.
-
用途:For Research Use Only. Not for use in diagnostic or therapeutic procedures.
相關產品
靶點詳情
-
基因功能參考文獻:
- The influence of ADH3 genetic polymorphisms on the status of liver function showed significant difference according to GGT measurement, but the same cannot be said on the other two values measuring SGOT and SGPT. PMID: 28239076
- Expression of xylanase under the regulation of ADH3, AOX1 and GAP was compared.The highest enzyme production was obtained with AOX1 culture at shake-flask level.The PADH3 cultures were more productive than AOX1 and GAP at fermentor scale PMID: 26835836
- The ADH1C *1/*2 polymorphism is likely associated with pancreatitis risk. PMID: 26634490
- the combination of genotypes ADH2 * 2, CYP2E1 * 1 combined with genotype homozygous ALDH2 * 1 found in this study could be leading to the population to a potential risk to alcoholism. The role of ADH3 was not indicated. PMID: 26848198
- Thus these findings suggest that the three variants of ADH1C, MnSOD and GSTM1 can be used to identify individuals who are at high risk to develop ALD and may be helpful in proper management of Indian alcoholics PMID: 26937962
- Results show that mutation of this protein confers associated protection against alcohol dependence. However these associations were not completely independent PMID: 24735490
- Among the Inuit in Greenland, ADH1C SNPs play a role in shaping their alcohol drinking patterns. PMID: 25311581
- findings suggest that ADH1C*2 is associated with alcohol dependence in the Turkish population displaying a dominant inheritance model. ADH1C*2 allele may contribute to the variance in heritability of alcohol dependence. PMID: 25372623
- Young male East Indians with at least one ADH1C*2 allele feel less effects of alcohol, including nausea. PMID: 25208201
- a positive association between inactive ADH1C G allele and alcohol consumption regarding gastric cancer risk was found, opposite to that found in previous studies PMID: 25524923
- Decreased expression of ADH1C gene is associated with disease progression. PMID: 24599561
- Alcohol dehydrogenase (ADH)1B and ADH1C are jointly associated with alcohol use disorders, but not consumption. PMID: 23895337
- additional support for the association of SNP rs1614972 in ADH1C with alcohol dependence PMID: 23516558
- ADH1C polymorphism is not associated with childhood acute leukemia and maternal caffeinated beverage consumption during pregnancy. PMID: 23404349
- study failed to find any link between the ADH1C genotype and the cardioprotective effects of alcohol PMID: 23321361
- did not observe association of ADH1C polymorphism with esophageal cancer PMID: 22930414
- The frequency of ALDH2*2 and ADH3*1 alleles in risk drinkers was lower than that in safe drinkers in a male Tibetan population. PMID: 22279680
- No associations between alcohol dependence and polymorphisms in ADH1C were found in Mexican and Native Americans PMID: 22931071
- Findings suggest that a significantly higher presence of ADH1C*2 allele is associated with alcohol dependence in a Turkish population. PMID: 22414625
- This meta-analysis suggests that ADH1C polymorphism may not be associated with breast cancer development in Caucasians. PMID: 22353233
- ADH1C Ile350Val polymorphism may contribute to cancer risk among Africans and Asians. PMID: 22675424
- findings support that ADH1C Ile may lower the risk of alcohol dependence and alcohol abuse as well as alcohol-related cirrhosis in pooled populations, with the strongest and most consistent effects in Asians PMID: 22476623
- in a study of alcohol metabolic genotypes in drunk drivers, the rs698 ADH1C and rs671 ALDH2 polymorphisms were not associated with MCV PMID: 21917409
- No profound connection between alcohol dependence and ADH1C Ile350Val gene polymorphism was detected. PMID: 22325912
- This study shows differences in the distribution of the frequency of allele ADH1C*1 between the Basque Country and Moroccan populations, and a new allele not described to date. PMID: 21303386
- This study suggested that the ADH1C Sspl polymorphism could play a significant role in the etiology of oral cancer. PMID: 21705789
- The presence of ADH3 in normal lung development (A549 cell line), & the capacity to convert retinol to retinoic acid, indicates that fetal human lung has the ability to regulate the supply of vitamin A from the pseudoglandular stage. PMID: 21482329
- the ADH1C*2/*2 genotype was associated with a 42% increase in risk of colorectal cancer when compared with the ADH1C*1/*1 genotype. PMID: 21163612
- Polymorphisms in ADH1C is associated with pancreatic cancer. PMID: 19068087
- The increased risk of oral clefts was evident only in mothers or children who carried the ADH1C haplotype associated with reduced alcohol metabolism. PMID: 20810466
- These findings suggest that a lower presence of ADH1C*1 allele is associated with squamous cell carcinoma of the head and neck PMID: 20448861
- Among variant allele carriers of ADH1C Arg(272)Gln, alcohol intake increased the risk of breast cancer with 14% (95% CI: 1.04-1.24) per 10g alcohol/day. PMID: 20350778
- Results suggest that the ADH1C allele modifies the carcinogenic dose response for alcohol in the upper aerodigestive tract, giving rise to a gene-environment interaction. PMID: 20437850
- ADH1C polymorphisms were not significantly associated with pancreatic cancer risk. PMID: 19812523
- Besides the identification of new genetic factors related to alcohol biodisposition relevant to whites, this study provides unambiguous identification of diplotypes related to variability in alcohol biodisposition. PMID: 20101753
- ADH1C gene polymorphisms are associated with upper aerodigestive tract cancers. PMID: 19861527
- Report associations between genetic variation of alcohol dehydrogenase type 1C (ADH1C), alcohol consumption, and metabolic cardiovascular risk factors. PMID: 19447389
- A new coding variant has been identified at codon 351 of ADH1C, an allele found in most Native American populations studied, with allele frequencies of the new ADH1C*351Thr allele as high as 26%. PMID: 12500098
- Results suggest that alcohol dehydrogenase 3 catalysed S-nitrosoglutathione reduction is of physiological relevance in the metabolism of NO in humans. PMID: 12631283
- There is no significant interaction between alcohol consumption and ADH3 genotype. PMID: 12658118
- adh3 gene is implicated in alcoholism incidence among African Americans PMID: 12713190
- gastric ADH3 may highly effectively contribute to the first-pass metabolism at 0.5-3 M ethanol, an attainable range in the gastric lumen during alcohol consumption PMID: 12782305
- mutations in genes encoding ADH1C (G78Stop) as genetic risk factors for Parkinson disease . PMID: 15642852
- ADH1C polymorphisms in the cis-acting elements affect transcription. PMID: 15643610
- a slower alcohol clearance rate is associated with the ADH3 y2 allele [letter] PMID: 15842377
- mean corpuscular volume values were not associated with genotype polymorphisms of ADH1C PMID: 15897724
- No association has been revealed for the alcohol metabolism-related ADH3 genotype and Korean patients with alcoholism compared to Korean control subjects without alcoholism. PMID: 15902904
- Conversely, in both genders, no differences were found between ADH3 genotypes regarding all cardiovascular risk factors studied and carotid intima-media thickness. PMID: 15941567
- ADH1C genotype modifies the association between alcohol consumption and HDL levels among men and postmenopausal women not using postmenopausal hormones who drink moderately PMID: 16051248
- Alcohol dehydrogenase 3 null genotypes did not modify the risk of HCC due to alcohol intake. PMID: 16132793
顯示更多
收起更多
-
亞細胞定位:Cytoplasm.
-
蛋白家族:Zinc-containing alcohol dehydrogenase family
-
數據庫鏈接:
Most popular with customers
-
-
YWHAB Recombinant Monoclonal Antibody
Applications: ELISA, WB, IHC, IF, FC
Species Reactivity: Human, Mouse, Rat
-
Phospho-YAP1 (S127) Recombinant Monoclonal Antibody
Applications: ELISA, WB, IHC
Species Reactivity: Human
-
-
-
-
-















