ADH1B Antibody
-
中文名稱:ADH1B兔多克隆抗體
-
貨號:CSB-PA001354HA01HU
-
規格:¥440
-
圖片:
-
Western blot
All lanes: ADH1B antibody at 2µg/ml + HepG2 whole cell lysate
Secondary
Goat polyclonal to rabbit IgG at 1/15000 dilution
Predicted band size: 40, 36 kDa
Observed band size: 40 kDa -
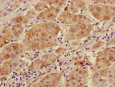
Immunohistochemistry of paraffin-embedded human liver tissue using CSB-PA001354HA01HU at dilution of 1:100
-
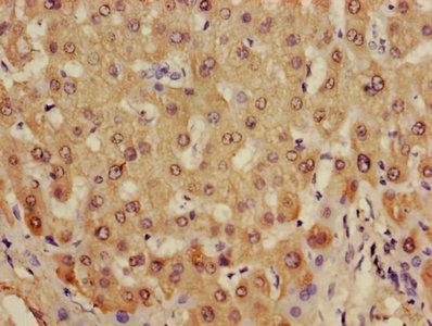
Immunohistochemistry of paraffin-embedded human liver cancer using CSB-PA001354HA01HU at dilution of 1:100
-
Immunofluorescence staining of HepG2 cells with CSB-PA001354HA01HU at 1:166, counter-stained with DAPI. The cells were fixed in 4% formaldehyde, permeabilized using 0.2% Triton X-100 and blocked in 10% normal Goat Serum. The cells were then incubated with the antibody overnight at 4°C. The secondary antibody was Alexa Fluor 488-congugated AffiniPure Goat Anti-Rabbit IgG(H+L).
-
-
其他:
產品詳情
-
產品名稱:Rabbit anti-Homo sapiens (Human) ADH1B Polyclonal antibody
-
Uniprot No.:
-
基因名:
-
別名:ADH beta subunit antibody; ADH1B antibody; ADH1B_HUMAN antibody; ADH2 antibody; Alcohol dehydrogenase 1B antibody; alcohol dehydrogenase 2 (class I); beta polypeptide antibody; Alcohol dehydrogenase 2 antibody; Alcohol dehydrogenase subunit beta antibody; Aldehyde reductase antibody; DKFZp686C06125 antibody; OTTHUMP00000220192 antibody
-
宿主:Rabbit
-
反應種屬:Human
-
免疫原:Recombinant Human Alcohol dehydrogenase 1B protein (2-375AA)
-
免疫原種屬:Homo sapiens (Human)
-
標記方式:Non-conjugated
本頁面中的產品,ADH1B Antibody (CSB-PA001354HA01HU),的標記方式是Non-conjugated。對于ADH1B Antibody,我們還提供其他標記。見下表:
-
克隆類型:Polyclonal
-
抗體亞型:IgG
-
純化方式:>95%, Protein G purified
-
濃度:It differs from different batches. Please contact us to confirm it.
-
保存緩沖液:Preservative: 0.03% Proclin 300
Constituents: 50% Glycerol, 0.01M PBS, PH 7.4 -
產品提供形式:Liquid
-
應用范圍:ELISA, WB, IHC, IF
-
推薦稀釋比:
Application Recommended Dilution WB 1:1000-1:5000 IHC 1:20-1:200 IF 1:50-1:200 -
Protocols:
-
儲存條件:Upon receipt, store at -20°C or -80°C. Avoid repeated freeze.
-
貨期:Basically, we can dispatch the products out in 1-3 working days after receiving your orders. Delivery time maybe differs from different purchasing way or location, please kindly consult your local distributors for specific delivery time.
-
用途:For Research Use Only. Not for use in diagnostic or therapeutic procedures.
相關產品
靶點詳情
-
功能:Catalyzes the NAD-dependent oxidation of all-trans-retinol and its derivatives such as all-trans-4-hydroxyretinol and may participate in retinoid metabolism. In vitro can also catalyzes the NADH-dependent reduction of all-trans-retinal and its derivatives such as all-trans-4-oxoretinal. Catalyzes in the oxidative direction with higher efficiency. Has the same affinity for all-trans-4-hydroxyretinol and all-trans-4-oxoretinal.
-
基因功能參考文獻:
- common variants of ADH1B and ALDH2 are independently associated with gout. Our findings likewise suggest that genotyping these variants can be useful for the evaluation of gout risk. PMID: 28566767
- ADH1B rs3811802 and ADH1C rs4147542 significantly modified the alcohol-colon cancer association in women. PMID: 29390059
- The results of the study do not support our hypothesis that ADH1B and ADH7 genotypes affect blood ethanol, and acetaldehyde concentration. PMID: 28731573
- ADH1B*2/*2 genotype and amount of alcohol consumption increase the risk of atrial fibrillation recurrence after catheter ablation PMID: 28975638
- ADH1B*3 was not significantly associated with drinking motives or drinking behaviors. However, significant interaction effects of ADH1B*3 with drinking motives on drinking behavior were found; the presence of an ADH1B*3 allele protected against greater drinking quantity among students with high social motives PMID: 28662358
- the mediation effects of single nucleotide polymorphisms (SNPs) in the ADH1B and ALDH2 genes on hepatocellular carcinoma, were investigated. PMID: 29600553
- rs17033 of ADH1B and rs671 of ALDH2 SNPs were associated with GC risk and smoking habit may further modify the effect of rs671. Conversely, rs4147536 of ADH1B might have a protective role in our study population. PMID: 29166882
- Serum triglycerides were positively associated with alcohol consumption in the ADH1B His/His group. PMID: 29176272
- ADH1B and CDH1 polymorphisms predict prognosis in male patients with non-metastatic laryngeal cancer PMID: 27689323
- The single nuclear polymorphism rs1229984 in ADH1B results in a gain of function and hence an increase in enzyme activity resulting in the production of excess acetaldehyde. It is found in 19-91% of East Asians but in 0-10% of other populations. PMID: 27575312
- Alcohol dehydrogenase 1B (ADH1B) catalyzes the oxidation of alcohol to acetaldehyde. PMID: 25828809
- Men carrying the ADH1B rs1229984 G>A polymorphism consumed significantly less alcohol than non-carriers. PMID: 26644136
- study demonstrates that ADH1B*3 may protect college students of African descent against alcohol outcomes, although only in low alcohol-facilitating environments. PMID: 28494133
- In Japanese alcoholic men, ADH1B*1/*1 genotype increased the risk of thrombocytopenia. PMID: 27991683
- In analysis using the ADH1B and ADH1C genotypes as instrumental variables for alcohol consumption, the hazards ratio for atrial fibrillation per genetic drink per day was 0.79 (0.44-1.41) among men and 0.64 (0.12-3.42) among women PMID: 27071860
- enhanced Alcohol elimination rate in ADH1B*2 carriers and the increased salivary Acetaldehyde levels in ALDH2*1/*2 carriers among intoxicated alcoholics provide possible mechanisms explaining how each genetic polymorphism a ff ects the risk of alcoholism and upper aerodigestive tract cancer. PMID: 27087413
- Our findings elucidated the crucial role of multiple genetic variations in ADH1B and ALDH2 as biomarkers of metachronous ESCC. PMID: 27038040
- Besides the amount and frequency of alcohol drinking, the combination of ALDH2 and ADH1B polymorphisms predicts smoking initiation. This study suggests that alcohol tolerance regulated by ALDH2 and ADH1B polymorphisms is associated with smoking initiation, and facilitates the development of targeted interventions to reduce smoking prevalence. PMID: 28212515
- This study showed ADH1B appears to affect phenotypic traits via both alcohol-mediated and alcohol-independent effects. PMID: 27187070
- ADH1B gene Arg47His variant was associated with the decreased esophageal cancer risk. PMID: 27450204
- Polymorphisms on ADH1B and ALDH2 had significant indirect effects on hepatocellular carcinoma risk, mediated through alcohol drinking PMID: 26827895
- nucleotide polymorphisms (SNPs) of alcohol dehydrogenase (ADH1B) and aldehyde dehydrogenase 2 (ALDH2) genes encoding enzymes of alcohol and reactive aldehyde metabolism, respectively, are prevalent among East Asians. PMID: 27927211
- Data suggest that activation of the AhR/ARNT (aryl hydrocarbon receptor/aryl hydrocarbon receptor nuclear translocator) signaling by AhR ligands (environmental carcinogens TCDD/3MC/PCB used here) represents novel mechanism for regulating the expression of ADH1B (alcohol dehydrogenase 1B) and other isoenzymes (ADH4, ADH6) in hepatocytes. PMID: 27055685
- No significant relationship was measured between ADH1B Arg47His and gastric cancer risk; ALDH2 Glu487Lys and CYP4502E1 polymorphisms could be risk factors for the development of gastric cancer in the Chinese population. PMID: 28002588
- ADH1B rs1229984 and ALDH2 rs671 polymorphisms increased the risk of Alzheimer's disease in all the genetic models. PMID: 27808372
- ADH1B Arg47His polymorphism, but not the ALDH2 Glu487Lys variation, may influence development of colorectal cancer in the Chinese population. PMID: 27706775
- No significant association was found between the ADH2 Arg47His polymorphism and risk of Parkinson's disease in the co-dominant, dominant, or recessive models. PMID: 27706693
- ADH1B polymorphisms influence bladder cancer risk associated with alcohol drinking. PMID: 26992901
- The faster metabolism of ethanol and acetaldehyde by the ADH1B*2 allele and ALDH2*1/*1 genotype and higher ketosis levels were associated with higher UA levels in alcoholics, while diabetes and the consumption of sake were negative determinants. PMID: 26542604
- Leukocyte counts of male Japanese alcoholics were affected by ADH1B and ALDH2 genetic variants. PMID: 26917006
- Initiating moderate red wine consumption at dinner among type 2 diabetes patients does not have a discernable effect on mean 24-h BP. Yet, a modest temporal BP reduction could be documented, and a more pronounced BP-lowering effect is suggested among fast ethanol metabolizers. PMID: 26232779
- The authors for the first time observed a significant difference in alcohol sensitivity between ADH1B*1/*2 and ADH1B*2/*2 in older men aged 65 and above. PMID: 26825972
- the combination of genotypes ADH2 * 2, CYP2E1 * 1 combined with genotype homozygous ALDH2 * 1 found in this study could be leading to the population to a potential risk to alcoholism. PMID: 26848198
- suggested that having the ADH1B*2/*2 genotype caused a positive reaction in subjects with the ALDH2*1/*1 genotype PMID: 25994345
- Even at early stages of malignant transformation, a significant decrease in ADH1B, ADH3, RDHL, and RALDH1 mRNA levels was observed in 82, 79, 73, and 64% of tumor specimens, respectively PMID: 27239845
- The presence of the ADH1B*2 allele and the active ALDH2*1/*1 genotype increased the odds ratio for a high TG level. PMID: 26284938
- Women drinking less alcohol were more likely to carry the rare allele at rs1229984, particularly for consumption before and during pregnancy. PMID: 24065783
- modulates alcohol consumption [meta-analysis] PMID: 26036284
- ADH1B polymorphisms may be related to comorbid bipolar II disorder and alcohol dependence. PMID: 26033520
- ADH1B and ADH1C genetic variations are not related to the development of alcoholism or susceptibility to alcoholic cirrhosis. PMID: 26042511
- Results show that mutation of this protein confers significant protection against alcohol dependence. PMID: 24735490
- ADH1B and (ALDH2) polymorphisms in Japanese employees were associated with increased risk for anxiety and depression and alcohol-related disorders. PMID: 25543168
- a central role for ADH1B in obesity and insulin resistance PMID: 25830378
- The study explores the association of ADH1B and ADH1C genotype with alcohol consumption and biomarkers of liver function. PMID: 25503943
- Findings indicate that ALDH2*2, rather than ADH1B2*2, is a causal variant allele for the accumulation of blood acetaldehyde and the resultant facial flushing during low alcohol consumption. PMID: 25365528
- Results show that different types of both divergent and stabilizing selection processes on ADH1B genotypes were observed in different parts of Asia, but all the data demonstrated a clear positive selection for allele 48His at this locus. PMID: 25019189
- ADH1B +3170A>G and ADH1C +13044A>G SNPs are associated with an increased risk of head and neck squamous cell carcinoma , and they could be used as biomarkers for the high-risk group of HNSCC in Koreans. PMID: 25874489
- Studies have shown that A carriers of ADH1B rs1229984 are less likely to drink alcohol. PMID: 24716453
- High expression level of ADH1B is associated with increased incidence of residual disease in high-grade serous ovarian cancer after surgery. PMID: 24756370
- ADH1B variants and childhood diversity were associated with alcohol related disorders in African-Americans and Whites in both men and women. PMID: 25410943
顯示更多
收起更多
-
亞細胞定位:Cytoplasm.
-
蛋白家族:Zinc-containing alcohol dehydrogenase family
-
數據庫鏈接:
Most popular with customers
-
YWHAB Recombinant Monoclonal Antibody
Applications: ELISA, WB, IHC, IF, FC
Species Reactivity: Human, Mouse, Rat
-
Phospho-YAP1 (S127) Recombinant Monoclonal Antibody
Applications: ELISA, WB, IHC
Species Reactivity: Human
-
-
-
-
-
-















