ADCY5 Antibody
-
中文名稱:ADCY5兔多克隆抗體
-
貨號:CSB-PA942397
-
規格:¥1100
-
圖片:
-
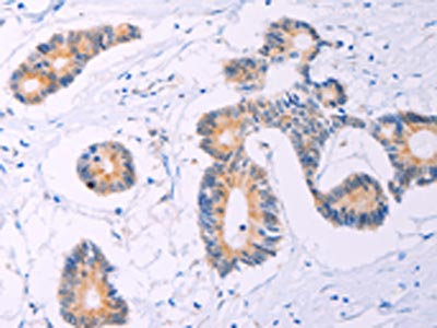
The image on the left is immunohistochemistry of paraffin-embedded Human colon cancer tissue using CSB-PA942397(ADCY5 Antibody) at dilution 1/30, on the right is treated with synthetic peptide. (Original magnification: ×200)
-
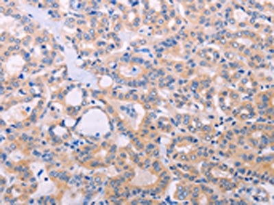
The image on the left is immunohistochemistry of paraffin-embedded Human thyroid cancer tissue using CSB-PA942397(ADCY5 Antibody) at dilution 1/30, on the right is treated with synthetic peptide. (Original magnification: ×200)
-
-
其他:
產品詳情
-
Uniprot No.:
-
基因名:
-
別名:AC 5 antibody; AC5 antibody; ADCY 5 antibody; Adcy5 antibody; ADCY5_HUMAN antibody; Adenylate cyclase type 5 antibody; Adenylate cyclase type V antibody; Adenylyl cyclase 5 antibody; ATP pyrophosphate lyase 5 antibody; ATP pyrophosphate-lyase 5 antibody
-
宿主:Rabbit
-
反應種屬:Human,Mouse,Rat
-
免疫原:Synthetic peptide of Human ADCY5
-
免疫原種屬:Homo sapiens (Human)
-
標記方式:Non-conjugated
-
抗體亞型:IgG
-
純化方式:Antigen affinity purification
-
濃度:It differs from different batches. Please contact us to confirm it.
-
保存緩沖液:-20°C, pH7.4 PBS, 0.05% NaN3, 40% Glycerol
-
產品提供形式:Liquid
-
應用范圍:ELISA,IHC
-
推薦稀釋比:
Application Recommended Dilution ELISA 1:2000-1:5000 IHC 1:25-1:100 -
Protocols:
-
儲存條件:Upon receipt, store at -20°C or -80°C. Avoid repeated freeze.
-
貨期:Basically, we can dispatch the products out in 1-3 working days after receiving your orders. Delivery time maybe differs from different purchasing way or location, please kindly consult your local distributors for specific delivery time.
-
用途:For Research Use Only. Not for use in diagnostic or therapeutic procedures.
相關產品
靶點詳情
-
功能:Catalyzes the formation of the signaling molecule cAMP in response to G-protein signaling. Mediates signaling downstream of ADRB1. Regulates the increase of free cytosolic Ca(2+) in response to increased blood glucose levels and contributes to the regulation of Ca(2+)-dependent insulin secretion.
-
基因功能參考文獻:
- Depression and psychosis are described as a part of the ADCY5-related dyskinesia phenotypic spectrum. PMID: 30172639
- Mutations in ADCY5 are responsible for a hyperkinetic movement disorder that can be preceded by episodic attacks before the movement disorder becomes persistent and is frequently misdiagnosed as dyskinetic cerebral palsy. PMID: 28511835
- In this series of five ADCY5 mutation carriers, perioral twitches and truncal jerks do not represent myokymia PMID: 28442302
- ADCY5-related dyskinesia may manifest variable expressivity within a single family, and affected individuals may be initially diagnosed with differing neurological phenotypes. PMID: 28229249
- ADCY5 gene mutations can present with a wider variety of movement disorder syndromes. PMID: 27061943
- ADCY5, which encodes adenylyl cyclase type 5, and RAP2C, which encodes a member of the RAS oncogene family, had associations of nearly genomewide significance. ADCY5 locus have been reported to be associated with birth weight and type 2 diabetes however, none were in linkage disequilibrium with the SNPs showing significant association with gestational duration. PMID: 28877031
- These data suggest that rs11708067-A risk allele contributes to type 2 diabetes by disrupting an islet enhancer, which results in reduced ADCY5 expression and impaired insulin secretion. PMID: 28684635
- This study demonstrated that whole-exome sequencing show reveled ADCY5 mutation with early-onset generalized dystonia. PMID: 27666935
- the clinical spectrum of ADCY5 mutations encompasses paroxysmal weakness in addition to paroxysmal dyskinesia and persistent hyperkinesia, nominating ADCY5 mutations as a genetic cause of unexplained alternating hemiplegia of childhood. PMID: 27931826
- This study showed that ADCY5 mutation carriers display pleiotropic paroxysmal day and nighttime dyskinesias.( PMID: 26686870
- Risk alleles for 6 loci increased glucose levels from birth to 5 years of age (ADCY5, ADRA2A, CDKAL1, CDKN2A/B, GRB10, and TCF7L2 PMID: 27049325
- changes in adipose tissue ADCY5 expression are related to obesity and fat distribution. PMID: 25793868
- This study identification of ADCY5 mutations in one family with dyskinesia-facial myokymia and in two unrelated sporadic cases of paxoysmal choreic/dystonia-facial myokymia. PMID: 25545163
- these results suggest that AnxA4 is a novel direct negative regulator of AC5, adding a new facet to the functions of annexins. PMID: 26023182
- Mutations in ADCY5 were linked to benign hereditary chorea. PMID: 26085604
- LRs are essential not only for the proper membrane distribution and maintenance of AC5/6 activity but also for the regulation of D1R- and D5R-mediated AC signaling. PMID: 25049074
- Alterations in beta-cell ADCY5 expression and impaired glucose signaling thus provide a likely route through which ADCY5 gene polymorphisms influence fasting glucose levels and T2D risk, while exerting more minor effects on incretin action PMID: 24740569
- the functional effect of missense mutations in adenylyl cyclase 5 (ADCY5) in sporadic and inherited cases of autosomal dominant familial dyskinesia with facial myokymia PMID: 24700542
- AC5, by binding active Galphai1, interferes with G-protein deactivation and reassembly and thereby might sensitize its own regulation. PMID: 23841650
- Polymorphisms ADCY5 are associated with an alcohol-dependent phenotype in females, which is distinguished by comorbid signs of depression. PMID: 23278386
- no detectable effect (with an OR >2.1) of the variants in GCKR, GIPR, ADCY5 and VPS13C on the response to sulfonylurea treatment, indicating that these variants are not significantly contributing to the risk of SH in patients with T2D PMID: 22956255
- results demonstrate a crosstalk between two metabotropic and one ionotropic purinergic receptor that regulates cAMP levels through adenylate cyclase 5 and modulates axonal elongation triggered by neurotropic factors and the PI3K-Akt-GSK3 pathway PMID: 22250198
- Alleles of single nucleotide polymorphisms in GLIS3 and ADCY5 may confer risk of type 2 diabetes. PMID: 21949744
- The SNP in ADCY5 is implicated in defective proinsulin-to-insulin conversion and previous findings on the role of a genetic variant in MADD on proinsulin-to-insulin conversion, were confirmed. PMID: 21887289
- The role of four loci (ADCY5, GIPR, GCKR and VPS13C) in early impairment of glucose and insulin metabolism in children, was investigated. PMID: 21789219
- Data show low birth weight in Asian Indians is not due to variation near CCNL1/ADCY5, but variant ADCY5 is associated with elevated glucose/decreased insulin response which suggests a common genetic cause of low birth weight and risk of type 2 diabetes. PMID: 21712988
- a genetic variant of adcy5 leads to asymmetric growth restriction, characterized by a relatively larger head circumference, from third trimester PMID: 21307140
- Data report a novel association between the fetal ADCY5 type 2 diabetes risk allele and decreased birthweight, and confirm in meta-analyses associations between decreased birthweight and the type 2 diabetes risk alleles of HHEX-IDE and CDKAL1. PMID: 20490451
- variants in ADCY5 and near CCNL1 are associated with fetal growth and birth weight PMID: 20372150
- Identification of RGS2 and type V adenylyl cyclase interaction sites. PMID: 12604604
- Adenylyl cyclase V and adenylyl cyclase VI interacts with A-kinase anchoring protein 79 (AKAP79) in a complex that associates with protein kinase A forming a negative feedback loop that termporally regulates cAMP production. PMID: 16973443
- G protein betagamma subunits stimulate type V and VI adenylyl cyclases PMID: 17110384
顯示更多
收起更多
-
相關疾病:Dyskinesia, familial, with facial myokymia (FDFM)
-
亞細胞定位:Cell membrane; Multi-pass membrane protein. Cell projection, cilium.
-
蛋白家族:Adenylyl cyclase class-4/guanylyl cyclase family
-
組織特異性:Detected in pancreas islets (at protein level). Detected in pancreas islets.
-
數據庫鏈接:
Most popular with customers
-
-
YWHAB Recombinant Monoclonal Antibody
Applications: ELISA, WB, IHC, IF, FC
Species Reactivity: Human, Mouse, Rat
-
Phospho-YAP1 (S127) Recombinant Monoclonal Antibody
Applications: ELISA, WB, IHC
Species Reactivity: Human
-
-
-
-
-















