ADAMTS16 Antibody
-
中文名稱:ADAMTS16兔多克隆抗體
-
貨號:CSB-PA546061
-
規格:¥1100
-
圖片:
-
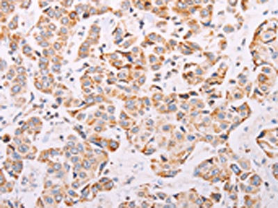
The image on the left is immunohistochemistry of paraffin-embedded Human breast cancer tissue using CSB-PA546061(ADAMTS16 Antibody) at dilution 1/50, on the right is treated with synthetic peptide. (Original magnification: ×200)
-
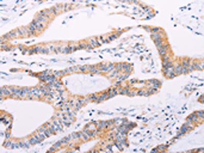
The image on the left is immunohistochemistry of paraffin-embedded Human colon cancer tissue using CSB-PA546061(ADAMTS16 Antibody) at dilution 1/50, on the right is treated with synthetic peptide. (Original magnification: ×200)
-
-
其他:
產品詳情
-
Uniprot No.:
-
基因名:ADAMTS16
-
別名:ADAMTS16 antibody; KIAA2029A disintegrin and metalloproteinase with thrombospondin motifs 16 antibody; ADAM-TS 16 antibody; ADAM-TS16 antibody; ADAMTS-16 antibody; EC 3.4.24.- antibody
-
宿主:Rabbit
-
反應種屬:Human,Mouse
-
免疫原:Synthetic peptide of Human ADAMTS16
-
免疫原種屬:Homo sapiens (Human)
-
標記方式:Non-conjugated
-
抗體亞型:IgG
-
純化方式:Antigen affinity purification
-
濃度:It differs from different batches. Please contact us to confirm it.
-
保存緩沖液:-20°C, pH7.4 PBS, 0.05% NaN3, 40% Glycerol
-
產品提供形式:Liquid
-
應用范圍:ELISA,IHC
-
推薦稀釋比:
Application Recommended Dilution ELISA 1:2000-1:10000 IHC 1:50-1:200 -
Protocols:
-
儲存條件:Upon receipt, store at -20°C or -80°C. Avoid repeated freeze.
-
貨期:Basically, we can dispatch the products out in 1-3 working days after receiving your orders. Delivery time maybe differs from different purchasing way or location, please kindly consult your local distributors for specific delivery time.
-
用途:For Research Use Only. Not for use in diagnostic or therapeutic procedures.
相關產品
靶點詳情
-
基因功能參考文獻:
- The pregnancy loss rate seems to be affected by both ADAMTS-3 and ADAMTS-16. PMID: 28088271
- Epistasis between single nucleotide polymorphisms within the TSHB and ADAMTS16 genes may increase the risk of premature ovarian failure in Korean women. PMID: 24366283
- comparison of the effects of C-terminal truncation on the GAG-binding properties and aggrecanase activity of ADAMTS-5 relative to three other ADAMTS family members, ADAMTS-9, ADAMTS-16 and ADAMTS-18 PMID: 16507336
- These studies provide the first evidence that ADAMTS-16 is an active protease and suggest a physiological role of ADAMTS-16 in ovarian follicles, at least during the pre-ovulatory phase. PMID: 17519324
- Blood pressure is associated with SNPs of ADAMTS16 in human. PMID: 19423552
- Results describe the distribution, regulation and function of human ADAMTS-16. PMID: 19635554
顯示更多
收起更多
-
亞細胞定位:Secreted, extracellular space, extracellular matrix.
-
組織特異性:Expressed in fetal lung and kidney and in adult prostate and ovary.
-
數據庫鏈接:
Most popular with customers
-
-
YWHAB Recombinant Monoclonal Antibody
Applications: ELISA, WB, IHC, IF, FC
Species Reactivity: Human, Mouse, Rat
-
Phospho-YAP1 (S127) Recombinant Monoclonal Antibody
Applications: ELISA, WB, IHC
Species Reactivity: Human
-
-
-
-
-















