ADAMTS10 Antibody
-
中文名稱:ADAMTS10兔多克隆抗體
-
貨號:CSB-PA798156
-
規格:¥1100
-
圖片:
-
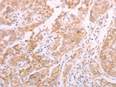
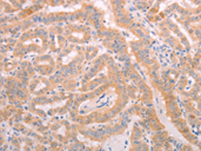
The image on the left is immunohistochemistry of paraffin-embedded Human thyroid cancer tissue using CSB-PA798156(ADAMTS10 Antibody) at dilution 1/20, on the right is treated with synthetic peptide. (Original magnification: ×200)
-
The image on the left is immunohistochemistry of paraffin-embedded Human lung cancer tissue using CSB-PA798156(ADAMTS10 Antibody) at dilution 1/20, on the right is treated with synthetic peptide. (Original magnification: ×200)
-
-
其他:
產品詳情
-
Uniprot No.:
-
基因名:ADAMTS10
-
別名:A disintegrin and metalloproteinase with thrombospondin motifs 10 antibody; A disintegrin like and metalloprotease (reprolysin type) with thrombospondin type 1 motif; 10 antibody; A disintegrin-like and metallopeptidase with thrombospondin type 1 motif; 10 antibody; ADAM metallopeptidase with thrombospondin type 1 motif 10 antibody; ADAM TS10 antibody; ADAM-TS 10 antibody; ADAM-TS10 antibody; ADAMTS-10 antibody; Adamts10 antibody; ATS10_HUMAN antibody; EC 3.4.24 antibody; WMS antibody; WMS1 antibody; zinc metalloendopeptidase antibody
-
宿主:Rabbit
-
反應種屬:Human,Mouse
-
免疫原:Synthetic peptide of Human ADAMTS10
-
免疫原種屬:Homo sapiens (Human)
-
標記方式:Non-conjugated
-
抗體亞型:IgG
-
純化方式:Antigen affinity purification
-
濃度:It differs from different batches. Please contact us to confirm it.
-
保存緩沖液:-20°C, pH7.4 PBS, 0.05% NaN3, 40% Glycerol
-
產品提供形式:Liquid
-
應用范圍:ELISA,IHC
-
推薦稀釋比:
Application Recommended Dilution ELISA 1:2000-1:5000 IHC 1:25-1:100 -
Protocols:
-
儲存條件:Upon receipt, store at -20°C or -80°C. Avoid repeated freeze.
-
貨期:Basically, we can dispatch the products out in 1-3 working days after receiving your orders. Delivery time maybe differs from different purchasing way or location, please kindly consult your local distributors for specific delivery time.
-
用途:For Research Use Only. Not for use in diagnostic or therapeutic procedures.
相關產品
靶點詳情
-
功能:Metalloprotease that participate in microfibrils assembly. Microfibrils are extracellular matrix components occurring independently or along with elastin in the formation of elastic tissues.
-
基因功能參考文獻:
- Using siRNA, over-expression and mutagenesis, it was found ADAMTS6 inhibits and ADAMTS10 is required for focal adhesions, epithelial cell-cell junction formation, and microfibril deposition. PMID: 27779234
- These findings support the Gly661Arg mutation of ADAMTS10 as the likely cause of POAG in beagles. PMID: 23422823
- ADAMTS10 participates in microfibril biogenesis rather than in fibrillin-1 turnover PMID: 21402694
- ADAMTS10 is a functional metalloprotease as demonstrated by cleavage of alpha2-macroglobulin PMID: 15355968
- Expression in human colonic cell lines. PMID: 15358598
- ADAMTS10 plays a major role in growth and in skin, lens, and heart development in humans. PMID: 15368195
- infer that folding of the complex C-terminal ancillary domain is the rate-limiting step in biosynthesis of ADAMTS10, and that it (but not catalytic domain) is sensitive to subtle changes in efficiency of signal peptide cleavage. PMID: 18567016
- Mutations in ADAMTS10 gene is not responsible for microspherophakia. PMID: 19696795
- Homozygous mutation in ADAMTS10 causes lenticular myopia, ectopia lentis, glaucoma, spherophakia, and short stature. PMID: 19836009
顯示更多
收起更多
-
相關疾病:Weill-Marchesani syndrome 1 (WMS1)
-
亞細胞定位:Secreted, extracellular space, extracellular matrix.
-
組織特異性:Widely expressed in adult tissues.
-
數據庫鏈接:
Most popular with customers
-
YWHAB Recombinant Monoclonal Antibody
Applications: ELISA, WB, IHC, IF, FC
Species Reactivity: Human, Mouse, Rat
-
Phospho-YAP1 (S127) Recombinant Monoclonal Antibody
Applications: ELISA, WB, IHC
Species Reactivity: Human
-
-
-
-
-
-















