ADAM2 Antibody
-
中文名稱:ADAM2兔多克隆抗體
-
貨號:CSB-PA252519
-
規格:¥1100
-
圖片:
-
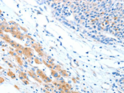
The image on the left is immunohistochemistry of paraffin-embedded Human thyroid cancer tissue using CSB-PA252519(ADAM2 Antibody) at dilution 1/15, on the right is treated with fusion protein. (Original magnification: ×200)
-
The image on the left is immunohistochemistry of paraffin-embedded Human liver cancer tissue using CSB-PA252519(ADAM2 Antibody) at dilution 1/15, on the right is treated with fusion protein. (Original magnification: ×200)
-
-
其他:
產品詳情
-
Uniprot No.:
-
基因名:ADAM2
-
別名:A disintegrin and metalloproteinase domain 2 antibody; ADAM 2 antibody; ADAM metallopeptidase domain 2 antibody; Adam2 antibody; ADAM2_HUMAN antibody; AI323749 antibody; Cancer/testis antigen 15 antibody; CRYN1 antibody; CRYN2 antibody; CT15 antibody; Disintegrin and metalloproteinase domain-containing protein 2 antibody; Fertilin beta antibody; Fertilin subunit beta antibody; Ftnb antibody; PH 30 antibody; PH 30b antibody; PH-30 antibody; PH30 antibody; Ph30 beta antibody; PH30-beta antibody
-
宿主:Rabbit
-
反應種屬:Human
-
免疫原:Fusion protein of Human ADAM2
-
免疫原種屬:Homo sapiens (Human)
-
標記方式:Non-conjugated
-
抗體亞型:IgG
-
純化方式:Antigen affinity purification
-
濃度:It differs from different batches. Please contact us to confirm it.
-
保存緩沖液:-20°C, pH7.4 PBS, 0.05% NaN3, 40% Glycerol
-
產品提供形式:Liquid
-
應用范圍:ELISA,IHC
-
推薦稀釋比:
Application Recommended Dilution ELISA 1:1000-1:2000 IHC 1:15-1:50 -
Protocols:
-
儲存條件:Upon receipt, store at -20°C or -80°C. Avoid repeated freeze.
-
貨期:Basically, we can dispatch the products out in 1-3 working days after receiving your orders. Delivery time maybe differs from different purchasing way or location, please kindly consult your local distributors for specific delivery time.
-
用途:For Research Use Only. Not for use in diagnostic or therapeutic procedures.
相關產品
靶點詳情
-
功能:Sperm surface membrane protein that may be involved in sperm-egg plasma membrane adhesion and fusion during fertilization. Could have a direct role in sperm-zona binding or migration of sperm from the uterus into the oviduct. Interactions with egg membrane could be mediated via binding between its disintegrin-like domain to one or more integrins receptors on the egg. This is a non catalytic metalloprotease-like protein.
-
基因功能參考文獻:
- ADAM2, CALR3 and SAGE1 cancer/testis antigens are not promising targets for immunotherapy of breast and lung cancer. PMID: 26252478
- The fertilin beta contributes not only to successful fertilization, but may has an important impact in development of preimplantation embryos. PMID: 18292840
-
亞細胞定位:Membrane; Single-pass type I membrane protein.
-
組織特異性:Expressed specifically in spermatogenic cells in the seminiferous cells. Not detected in fetal tissues.
-
數據庫鏈接:
Most popular with customers
-
-
Phospho-YAP1 (S127) Recombinant Monoclonal Antibody
Applications: ELISA, WB, IHC
Species Reactivity: Human
-
-
-
-
-
-















