ADAM15 Antibody
-
中文名稱:ADAM15兔多克隆抗體
-
貨號:CSB-PA932466
-
規格:¥1100
-
圖片:
-
The image on the left is immunohistochemistry of paraffin-embedded Human brain tissue using CSB-PA932466(ADAM15 Antibody) at dilution 1/35, on the right is treated with fusion protein. (Original magnification: ×200)
-
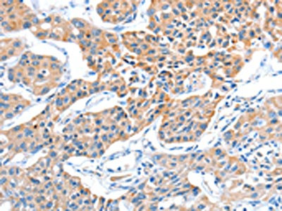
The image on the left is immunohistochemistry of paraffin-embedded Human lung cancer tissue using CSB-PA932466(ADAM15 Antibody) at dilution 1/35, on the right is treated with fusion protein. (Original magnification: ×200)
-
-
其他:
產品詳情
-
Uniprot No.:
-
基因名:ADAM15
-
別名:A disintegrin and metalloproteinase domain 15 (metargidin) antibody; A disintegrin and metalloproteinase domain 15 antibody; ADA15_HUMAN antibody; ADAM 15 antibody; ADAM metallopeptidase domain 15 antibody; Adam15 antibody; and cysteine-rich protein 15 antibody; Disintegrin and metalloproteinase domain-containing protein 15 antibody; disintegrin-like antibody; EC 3.4.24. antibody; MDC 15 antibody; MDC-15 antibody; MDC15 antibody; Metalloprotease RGD disintegrin protein antibody; Metalloproteinase like disintegrin like and cysteine rich protein 15 antibody; Metalloproteinase-like antibody; Metargidin antibody
-
宿主:Rabbit
-
反應種屬:Human,Mouse,Rat
-
免疫原:Fusion protein of Human ADAM15
-
免疫原種屬:Homo sapiens (Human)
-
標記方式:Non-conjugated
-
抗體亞型:IgG
-
純化方式:Antigen affinity purification
-
濃度:It differs from different batches. Please contact us to confirm it.
-
保存緩沖液:-20°C, pH7.4 PBS, 0.05% NaN3, 40% Glycerol
-
產品提供形式:Liquid
-
應用范圍:ELISA,IHC
-
推薦稀釋比:
Application Recommended Dilution ELISA 1:2000-1:5000 IHC 1:25-1:100 -
Protocols:
-
儲存條件:Upon receipt, store at -20°C or -80°C. Avoid repeated freeze.
-
貨期:Basically, we can dispatch the products out in 1-3 working days after receiving your orders. Delivery time maybe differs from different purchasing way or location, please kindly consult your local distributors for specific delivery time.
-
用途:For Research Use Only. Not for use in diagnostic or therapeutic procedures.
相關產品
靶點詳情
-
功能:Active metalloproteinase with gelatinolytic and collagenolytic activity. Plays a role in the wound healing process. Mediates both heterotypic intraepithelial cell/T-cell interactions and homotypic T-cell aggregation. Inhibits beta-1 integrin-mediated cell adhesion and migration of airway smooth muscle cells. Suppresses cell motility on or towards fibronectin possibly by driving alpha-v/beta-1 integrin (ITAGV-ITGB1) cell surface expression via ERK1/2 inactivation. Cleaves E-cadherin in response to growth factor deprivation. Plays a role in glomerular cell migration. Plays a role in pathological neovascularization. May play a role in cartilage remodeling. May be proteolytically processed, during sperm epididymal maturation and the acrosome reaction. May play a role in sperm-egg binding through its disintegrin domain.
-
基因功能參考文獻:
- The results of our study demonstrate that ADAM15 is strongly up regulated in a small but highly aggressive fraction of prostate cancers. PMID: 28282546
- Data show that ADAM9 silencing affected MMP2 and ADAM15 expression. PMID: 27554339
- ADAM15 promotes lung cancer cell invasion through directly targeting MMP9 activation. PMID: 26323669
- the results revealed an undescribed role of ADAM15 in the invasion of human bladder cancer and suggested that the ADAM15 catalytic domain may represent a viable therapeutic target in patients with advanced disease. PMID: 26930657
- present a tumor suppressive mechanism for ADAM15 exosomes and provide insight into the functional significance of exosomes that generate tumor-inhibitory factors PMID: 25208722
- these data suggest the potential role of miR147b in regulating endothelial barrier function by targeting ADAM15 expression. PMID: 25333931
- findings indicated that silencing ADAM15 had antiinflammatory effects in FLSs and efficiently inhibited the development of CIA. PMID: 25650586
- The severity of intrauterine adhesions positively correlates to the protein and transcript expression levels of ADAM-15 and ADAM-17 in uterine tissue. PMID: 23910172
- ADAM15 contributes to apoptosis resistance in rheumatoid arthritis synovial fibroblasts by activating the Src/FAK pathway upon FasL exposure. PMID: 23918525
- In conclusion, our data identified rhddADAM15 as a potent inhibitor of tumor growth and metastasis, making it a promising tool for use in anticancer treatment. PMID: 23688428
- ADAM15 acts as a negative regulator of TRIF-mediated NF-kappaB and IFN-beta reporter gene activity via TLR3 and TLR4 signaling. PMID: 23365087
- dispensable for cutaneous wound healing and B16F1 melanoma growth, but significantly contributes to metastasis formation PMID: 22621184
- Exosomes rich in ADAM15 display enhanced binding affinity for integrin alphavbeta3 in an RGD-dependent manner and suppress vitronectin- and fibronectin-induced cell adhesion, growth, and migration, as well as in vivo tumor growth. PMID: 22505472
- ADAM15 tail can transduce a percepted extracellular signal to enhance FAK and Src phosphorylation. PMID: 22544741
- Promoter methylation of ADAM15 was examined as well as the microsatellite instability status. Thirty-six percent of colorectal carcinomas displayed a reduced expression of ADAM15. PMID: 21190186
- gene expressions for ADAM8 and ADAM15 were notably lower in ascending aorta as compared with aortic dissection PMID: 21728902
- demonstrate the intrinsic promoter activity of ADAM15 in quiescent mesangial cells and show the involvement of Sp1 in its regulation PMID: 21196774
- the downregulation of ADAM15 plays an important role in melanoma progression and ADAM15 act as a tumorsuppressor in melanoma. PMID: 20851104
- The effects of ADAM15 on endothelial hyperpermeability and neutrophil transmigration are mediated by intracellular signalling involving Src and ERK1/2 activation. PMID: 20189953
- cytoplasmic tail of ADAM15 confers a modulatory effect on the autophosphorylation site Y397 of the focal adhesion kinase (FAK) during chondrocyte-collagen interaction PMID: 18774960
- ADAM15 conveys antiapoptotic properties to osteoarthritis chondrocytes that might sustain their potential to better resist the influence of death-inducing stimuli under pathophysiologic conditions PMID: 20213810
- Alternative splicing of ADAM15 regulates its interactions with cellular SH3 proteins SNX33 and nephrocystin PMID: 19718658
- These data demonstrate selective, phosphorylation-dependent interactions of ADAM15 with Src family PTKs and Grb2, which highlight the potential for integration of ADAM functions and cellular signaling PMID: 11741929
- Atrial fibrillation is associated with an increase in the expression of ADAM15 in the heart atrium PMID: 11839628
- structure determined by X ray chrystallography PMID: 11840679
- functional classification based on a conserved motif for bining intergrinalpha9beta1 PMID: 11882657
- ADAM 15 IS involved in the restructuring of the mesangial matrix and in the migration of MC in disease. PMID: 12091380
- Data suggest that ADAM15, whose expression may be driven by VE-cadherin, may be a component of adherens junctions and play a role in endothelial functions mediated by these cell contacts. PMID: 12243749
- ADAM8, ADAM15, and MDC-L, but not ADAM17, catalyzed ectodomain shedding of CD23, the low affinity IgE receptor. PMID: 12777399
- ADAM15 has a role in pathological neovascularization in mice PMID: 12897135
- ADAM 15 was detected in perinatal cortical pyramidal cells; during aging there was also an increase in intracellular staining and the number of stained cells per volume (cell density). In AD brains ADAM 15 was seen in a few diffuse plaques PMID: 14707550
- In humans, the cytoplasmic domain of ADAM15v2 strongly interacts with Lck and Hck and regulates leukocyte function. PMID: 15263807
- The expression and the role of ADAMs in intestinal epithelial cells, including its role in wound healing in human cell lines and cultured colonic cells. PMID: 15358598
- Altered regulation of alternative exon usage in ADAM15 gene may provide a useful target for cancer diagnostics development PMID: 15384173
- ADAM15 decreases integrin alphavbeta3/vitronectin-mediated ovarian neoplasm cell adhesion and movement in an RGD-dependent fashion. PMID: 15618016
- Lung carcinoma cell lines and tissues were frequently ADAM15 positive. PMID: 15756594
- ADAM15 is generally overexpressed in adenocarcinoma and is highly associated with metastatic progression of prostate and breast cancers PMID: 16756724
- ADAM15 is upregulated in epithelial cells during inflammatory bowel disease compared with the normal colon epithelial cells. PMID: 16894352
- the ADAM-15 disintegrin-like domain and a number of mutants in which the RGD-containing loop was substituted by cognate regions from ADAM-2, -12 and -19 were tested in terms of integrin-binding activity PMID: 17080222
- ADAM-15-mediated cell-cell interactions are involved in mechanisms of epithelial restitution and production of pro-inflammatory mediators PMID: 17416588
- disintegrin domain of ADAM-15 inhibits ASMC adhesion and migration through the beta(1)-integrin, without modulating signaling pathways involved in ASMC migratory responses PMID: 17575078
- the alternative exon use is a physiological post-transcriptional mechanism regulating ADAM15 expression in human tissues. PMID: 17937806
- Loss of ADAM15 significantly attenuated the metastatic spread of PC-3 cells to bone. Data strongly support a functional role for ADAM15 in prostate tumor cell interaction with vascular endothelium and the metastatic progression of human prostate cancer. PMID: 18281484
- Four ADAM-15 variants are differentially expressed in human mammary carcinoma tissues compared with normal breast. PMID: 18296648
- This presents a novel mechanism by which ADAM15 regulates cell-matrix adhesion and migration. PMID: 18387333
- ADAM15 catalyzes the cleavage of E-cadherin to generate a soluble fragment that in turn binds to and stimulates ErbB receptor signaling PMID: 18434311
- Recombinant ADAM15 disintegrin domain inhibits melanoma cell proliferation partly through p38 kinase activation. PMID: 18695922
- results define key catalytic properties of ADAM15 in cells and its response to stimulators and inhibitors of ectodomain shedding. PMID: 19207106
- involved in advanced atherosclerosis, in catalytically active form, most notably associated with cells of monocytic origin PMID: 19253070
- Insights into the mechanism of how a splice variant linked to clinical agressiveness in breast cancer causes increased activity of ADAM15B. PMID: 19487280
顯示更多
收起更多
-
亞細胞定位:Endomembrane system; Single-pass type I membrane protein. Cell junction, adherens junction. Cell projection, cilium, flagellum. Cytoplasmic vesicle, secretory vesicle, acrosome.
-
組織特異性:Expressed in colon and small intestine. Expressed in airway smooth muscle and glomerular mesangial cells (at protein level). Ubiquitously expressed. Overexpressed in atherosclerotic lesions. Constitutively expressed in cultured endothelium and smooth musc
-
數據庫鏈接:
Most popular with customers
-
-
YWHAB Recombinant Monoclonal Antibody
Applications: ELISA, WB, IHC, IF, FC
Species Reactivity: Human, Mouse, Rat
-
Phospho-YAP1 (S127) Recombinant Monoclonal Antibody
Applications: ELISA, WB, IHC
Species Reactivity: Human
-
-
-
-
-















