ADA Antibody
-
中文名稱:ADA兔多克隆抗體
-
貨號:CSB-PA776767
-
規格:¥1100
-
圖片:
-
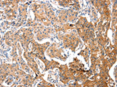
The image on the left is immunohistochemistry of paraffin-embedded Human lung cancer tissue using CSB-PA776767(ADA Antibody) at dilution 1/15, on the right is treated with fusion protein. (Original magnification: ×200)
-
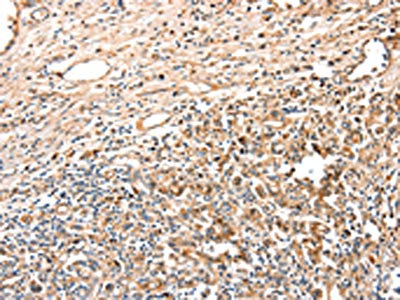
The image on the left is immunohistochemistry of paraffin-embedded Human gastric cancer tissue using CSB-PA776767(ADA Antibody) at dilution 1/15, on the right is treated with fusion protein. (Original magnification: ×200)
-
Gel: 10%SDS-PAGE, Lysate: 40 μg, Lane: Raji cells, Primary antibody: CSB-PA776767(ADA Antibody) at dilution 1/200, Secondary antibody: Goat anti rabbit IgG at 1/8000 dilution, Exposure time: 30 seconds
-
-
其他:
產品詳情
-
Uniprot No.:
-
基因名:
-
別名:ada antibody; ADA_HUMAN antibody; ADA1 antibody; Adenosine aminohydrolase antibody; Adenosine deaminase antibody
-
宿主:Rabbit
-
反應種屬:Human,Mouse,Rat
-
免疫原:Fusion protein of Human ADA
-
免疫原種屬:Homo sapiens (Human)
-
標記方式:Non-conjugated
-
抗體亞型:IgG
-
純化方式:Antigen affinity purification
-
濃度:It differs from different batches. Please contact us to confirm it.
-
保存緩沖液:-20°C, pH7.4 PBS, 0.05% NaN3, 40% Glycerol
-
產品提供形式:Liquid
-
應用范圍:ELISA,WB,IHC
-
推薦稀釋比:
Application Recommended Dilution ELISA 1:1000-1:2000 WB 1:200-1:1000 IHC 1:25-1:100 -
Protocols:
-
儲存條件:Upon receipt, store at -20°C or -80°C. Avoid repeated freeze.
-
貨期:Basically, we can dispatch the products out in 1-3 working days after receiving your orders. Delivery time maybe differs from different purchasing way or location, please kindly consult your local distributors for specific delivery time.
-
用途:For Research Use Only. Not for use in diagnostic or therapeutic procedures.
相關產品
靶點詳情
-
功能:Catalyzes the hydrolytic deamination of adenosine and 2-deoxyadenosine. Plays an important role in purine metabolism and in adenosine homeostasis. Modulates signaling by extracellular adenosine, and so contributes indirectly to cellular signaling events. Acts as a positive regulator of T-cell coactivation, by binding DPP4. Its interaction with DPP4 regulates lymphocyte-epithelial cell adhesion. Enhances dendritic cell immunogenicity by affecting dendritic cell costimulatory molecule expression and cytokines and chemokines secretion. Enhances CD4+ T-cell differentiation and proliferation. Acts as a positive modulator of adenosine receptors ADORA1 and ADORA2A, by enhancing their ligand affinity via conformational change. Stimulates plasminogen activation. Plays a role in male fertility. Plays a protective role in early postimplantation embryonic development.
-
基因功能參考文獻:
- Studied levels of mucin 16 (CA125), adenosine deaminase and midkine as tumor markers in nonsmall cell lung cancer-associated malignant pleural effusion. PMID: 29797475
- The authors found significant neurological and cognitive alterations in untreated Adenosine Deaminase deficiency-severe combined immunodeficiency patients. These included motor dysfunction, EEG alterations, sensorineural hypoacusia, white matter and ventricular alterations in MRI as well as a low mental development index or IQ. PMID: 28074903
- Results provide evidence that ADA SNPs rs12190871 and rs121908723 are risk factors for contracting tuberculous pericarditis. PMID: 30017738
- this study shows that ADA is biomarker candidate for endometriosis PMID: 29194839
- this study characterizes the long-term outcome of ADA-deficient patients, who survived 5 or more years after therapy PMID: 28748310
- ADA levels were found to be higher among patients, and revealed a possible link between evening rise and severity of auditory hallucinations as well as morning rise and severity of avolition-apathy in patients with schizophrenia. PMID: 29061410
- In this study, we compared the activity of human adenosine deaminase (hADA) expressed in transgenic seeds of three different plant species: pea (Pisum sativum L.), Nicotiana benthamiana L. and tarwi (Lupinus mutabilis Sweet). All three species were transformed with the same expression vector containing the hADA gene driven by the seed-specific promoter LegA2 with an apoplast targeting pinII signal peptide. PMID: 26994767
- Simvastatin reversed IL-13-suppressed adenosine deaminase activity, leading to the down-regulation of adenosine signaling and inhibition osteopontin expression through the direct inhibition of IL-13-activated STAT6 pathway in COPD. PMID: 27557561
- Mitochondrial Damage and Apoptosis Induced by Adenosine Deaminase Inhibition and Deoxyadenosine in Human Neuroblastoma Cell Lines PMID: 26659614
- Adenosine deaminases ADA1 and ADA2 (ADAs) decrease the level of adenosine by converting it to inosine, which serves as a negative feedback mechanism. These results suggest the existence of a new mechanism, where the activation and survival of immune cells is regulated through the activities of ADA2 or ADA1 anchored to the cell surface. PMID: 27663683
- Patients with tuberculous pleurisy who had high ADA values had a higher probability of manifesting pulmonary tuberculosis. High ADA values may help predict contagious pleuroparenchymal tuberculosis. The most common pulmonary involvement of tuberculous pleurisy showed a centrilobular nodular pattern. PMID: 27017482
- our analysis shows that, mononuclear cells secretes ADA in response to leishmanial infection and the elevated serum ADA activity is associated with VL and PKDL, and serum ADA activity can be used as prognostic marker to monitor the course of the treatment. PMID: 27186641
- association between the occurrence of polycystic ovary syndrome with altered ADA activity and genetic distribution of G22A and A4223C polymorphisms of the ADA1 gene PMID: 26980102
- High level of ADA is associated with obesity. PMID: 26794633
- diagnostic value of serum adenosine deaminase (ADA) activity as a useful tool to differentiate HIV mono- and co-infection, was investigated. PMID: 25689690
- Platelet aggregation and adenosine deaminase (ADA) activity were evaluated in pregnant women living with some disease conditions including hypertension, diabetes mellitus and human immunodeficiency virus infection. PMID: 27273565
- Increase in serum ADA levels was observed in Oral Squamous Cell Carcinoma. PMID: 27221867
- This study aimed to investigate the activities of purinergic system ecto-enzymes present on the platelet surface as well as CD39 and CD73 expressions on platelets of sickle cell anemia treated patients. PMID: 27044834
- Genetic variability within the ADA gene may influence adenosine concentration and in turn the immune response by lymphocytes in solid tumors. PMID: 26918693
- We conclude that pleural ADA activity could be integrated in the diagnostic procedures of pTB in low to medium tuberculosis prevalence settings. PMID: 26707067
- variable mutations are identified as a cause of immunodeficiency in a single Italian center PMID: 26376800
- ADA and ADK are involved in glioma progression; increased ADA and ADK levels in peritumoral tissues may be associated with epilepsy in glioma patients. PMID: 26329539
- In autologous cocultures of T cells with HIV-1-pulsed dendritic cells, adenosine deaminase decreased HIV-1-induced CD4(+)CD25(hi) FOXP3(+) cells and enhanced the HIV-1-specific CD4(+) responder T cells. PMID: 26310829
- Pleural ADA activity is an accurate test for the diagnosis of tuberculous pleural effusions. PMID: 26261621
- Serum ADA levels were increased in secondary hemophagocytic lymphohistiocytosis suggesting a partial role of activated T-cell response in the disease pathophysiology. PMID: 25764155
- increase in the salivary ADA and DPP-IV activities as well as in the lipid peroxidation could be related of the regulation to various aspects of adipose tissue function and inflammatory obesity PMID: 25527815
- Multiplex PCR and thoracoscopy are useful investigations in the diagnostic work-up of pleural effusions complicating CKD while the sensitivity and/or specificity of ADA and 65 kDa gene PCR is poor PMID: 25963491
- the diagnostic utility of pfADA in a low mTB incidence area PMID: 25647479
- activity of ADA isoenzymes and distribution of ADA1 G22 A genotypes were different among fertile and infertile men and more likely the GA genotype, which had lower ADA1 activity and was higher in fertile men is a protective factor against infertility. PMID: 26166670
- ADA rs73598374-A carriers showed lower telomerase activity and shorter leukocyte telomere length. PMID: 24896148
- Data provide evidence for a more distinct circadian modulation of nap sleep in G/A- compared to G/G-allele ADA carriers. They further indicate that REM sleep, being under strong circadian control, boosts working memory performance according to genotype in a time-of-day dependent manner. PMID: 25437848
- Genetic association replicative and exploratory studies identify SNPs in ADA and MTR highly associated with isolated Neural tube defects (NTD)and SNP in ARID1A and ALDH1A2 associated with NTDs in whites and African Americans respectively. PMID: 25293959
- We conclude that ADA is an effective test for the diagnosis of pleural tuberculosis; ADA values varied with age in our study population PMID: 25299872
- No relationship between ADA rs452159 polymorphism and susceptibility to chronic heart failure was found in Chinese population. PMID: 25170811
- The frequency of the ADA2 *2 allele in Sardinia (Italy) is higher in Oristano than in Nuoro resulting in a higher frequency of the ADA1 *1/ADA2 *2 haplotype in Oristano. This suggests a selective advantage of this haplotype in a malarial environment. PMID: 24965595
- A history of tuberculosis and hypertension were more common in the low-adenosine deaminase group than the high-adenosine deaminase group. PMID: 24762755
- Serum ADA activity in patients with chronic tonsillitis was significantly higher than in healthy controls. PMID: 24305782
- Data indicate that the well-being was worse in the adenosine deaminase (ADA) G/A genotype under sleep loss and n-back working memory performance appeared to be specifically susceptible to sleep-wake manipulation in this genotype. PMID: 24682206
- This study suggests that serum ADA could be used as a biochemical marker in cutaneous anthrax. PMID: 24997584
- ADA polymorphism is associated with type 1 diabetes mellitus. PMID: 25125338
- A strong correlation between ADA and fasting plasma glucose which suggests an association between ADA and nonobese type 2 diabetes mellitus subjects. PMID: 24453844
- ADA acts as a natural antagonist for DPP4-mediated entry of the Middle East respiratory syndrome coronavirus. PMID: 24257613
- Association between ADA, genetic polymorphism (ADA1, ADA2 and ADA6) and coronary artery disease was studied.Differend pattern observed between males and females. PMID: 24640520
- The determination of CSF and serum ADA activity is a simple and reliable test for differentiating tuberculous meningitis from other types of meningitis PMID: 23768730
- Mononuclear cell adenosine deaminase decreases rapidly after angioplasty, indicating that it is an early marker for reperfusion. PMID: 22062893
- ADA activity in serum and platelets is decreased in prostate cancer patients. PMID: 23433854
- Serum ADA could play an important role in adult-onset Still's disease and may be an important biomarker for its diagnosis. PMID: 23096558
- Affordable parameters such as serum ADA and IgG correlated significantly with immune activation levels and markers of disease progression in untreated HIV-infection. PMID: 23160984
- Taken together, these findings suggest that ADA would promote enhanced and correctly polarized T-cell responses in strategies targeting asymptomatic HIV-infected individuals. PMID: 23240012
- ADA open form, but not the closed one, that is responsible for the functional interaction with AR and AAR. PMID: 23193172
顯示更多
收起更多
-
相關疾病:Severe combined immunodeficiency autosomal recessive T-cell-negative/B-cell-negative/NK-cell-negative due to adenosine deaminase deficiency (ADASCID)
-
亞細胞定位:Cell membrane; Peripheral membrane protein; Extracellular side. Cell junction. Cytoplasmic vesicle lumen. Cytoplasm. Lysosome.
-
蛋白家族:Metallo-dependent hydrolases superfamily, Adenosine and AMP deaminases family
-
組織特異性:Found in all tissues, occurs in large amounts in T-lymphocytes. Expressed at the time of weaning in gastrointestinal tissues.
-
數據庫鏈接:
Most popular with customers
-
-
YWHAB Recombinant Monoclonal Antibody
Applications: ELISA, WB, IHC, IF, FC
Species Reactivity: Human, Mouse, Rat
-
-
-
-
-
-















