ACTR1A Antibody
-
中文名稱:ACTR1A兔多克隆抗體
-
貨號:CSB-PA001246ESR1HU
-
規格:¥440
-
圖片:
-
Western blot
All lanes: Alpha-centractin antibody at 8μg/ml
Lane 1: Mouse brain tissue
Lane 2: MCF-7 whole cell lysate
Lane 3: Mouse liver tissue
Secondary
Goat polyclonal to rabbit IgG at 1/10000 dilution
Predicted band size: 43 kDa
Observed band size: 43 kDa -
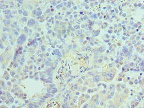
Immunohistochemistry of paraffin-embedded human colon cancer using CSB-PA001246ESR1HU at dilution of 1:100
-
Immunohistochemistry of paraffin-embedded human lung cancer using CSB-PA001246ESR1HU at dilution of 1:100
-
-
其他:
產品詳情
-
產品名稱:Rabbit anti-Homo sapiens (Human) ACTR1A Polyclonal antibody
-
Uniprot No.:
-
基因名:ACTR1A
-
別名:Actin related protein 1 antibody; Actin RPV antibody; Actin-RPV antibody; ACTR 1A antibody; Actr1a antibody; ACTZ_HUMAN antibody; Alpha centractin antibody; Alpha-centractin antibody; ARP 1 antibody; ARP1 actin related protein 1 homolog A antibody; ARP1 actin related protein 1 homolog A centractin alpha antibody; ARP1 antibody; ARP1 yeast homolog A antibody; Centractin alpha antibody; Centractin antibody; Centrosome associated actin homolog antibody; Centrosome-associated actin homolog antibody; CTRN 1 antibody; CTRN1 antibody; FLJ52695 antibody; FLJ52800 antibody; FLJ55002 antibody
-
宿主:Rabbit
-
反應種屬:Human, Mouse
-
免疫原:Recombinant Human Alpha-centractin protein (187-376AA)
-
免疫原種屬:Homo sapiens (Human)
-
標記方式:Non-conjugated
-
克隆類型:Polyclonal
-
抗體亞型:IgG
-
純化方式:Antigen Affinity Purified
-
濃度:It differs from different batches. Please contact us to confirm it.
-
保存緩沖液:PBS with 0.02% sodium azide, 50% glycerol, pH7.3.
-
產品提供形式:Liquid
-
應用范圍:ELISA, WB, IHC
-
推薦稀釋比:
Application Recommended Dilution WB 1:500-1:5000 IHC 1:20-1:200 -
Protocols:
-
儲存條件:Upon receipt, store at -20°C or -80°C. Avoid repeated freeze.
-
貨期:Basically, we can dispatch the products out in 1-3 working days after receiving your orders. Delivery time maybe differs from different purchasing way or location, please kindly consult your local distributors for specific delivery time.
-
用途:For Research Use Only. Not for use in diagnostic or therapeutic procedures.
相關產品
靶點詳情
-
功能:Component of a multi-subunit complex involved in microtubule based vesicle motility. It is associated with the centrosome.
-
基因功能參考文獻:
- ARP1 interacted with two regions of the FVII 5' flanking region, the hepatic nuclear factor 4 binding region and the nuclear hormone response region, indicating a role for ARP1 in transcriptional modulation of the FVII gene. PMID: 12871323
- point mutation observed by transcriptome sequencing of malignant pleural mesothelioma tumors PMID: 18303113
-
亞細胞定位:Cytoplasm, cytoskeleton. Cytoplasm, cytoskeleton, microtubule organizing center, centrosome. Cytoplasm, cell cortex.
-
蛋白家族:Actin family, ARP1 subfamily
-
數據庫鏈接:
Most popular with customers
-
-
YWHAB Recombinant Monoclonal Antibody
Applications: ELISA, WB, IHC, IF, FC
Species Reactivity: Human, Mouse, Rat
-
Phospho-YAP1 (S127) Recombinant Monoclonal Antibody
Applications: ELISA, WB, IHC
Species Reactivity: Human
-
-
-
-
-















