ACTL7A Antibody
-
中文名稱:ACTL7A兔多克隆抗體
-
貨號:CSB-PA896747LA01HU
-
規格:¥440
-
圖片:
-
Western blot
All lanes: ACTL7A antibody at 2μg/ml + Mouse liver tissue
Secondary
Goat polyclonal to rabbit IgG at 1/10000 dilution
Predicted band size: 49 kDa
Observed band size: 49 kDa -
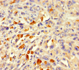
Immunohistochemistry of paraffin-embedded human melanoma using CSB-PA896747LA01HU at dilution of 1:100
-
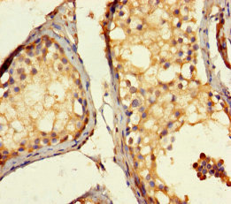
Immunohistochemistry of paraffin-embedded human testis tissue using CSB-PA896747LA01HU at dilution of 1:100
-
-
其他:
產品詳情
-
產品名稱:Rabbit anti-Homo sapiens (Human) ACTL7A Polyclonal antibody
-
Uniprot No.:
-
基因名:ACTL7A
-
別名:ACTL7AActin-like protein 7A antibody; Actin-like-7-alpha antibody
-
宿主:Rabbit
-
反應種屬:Human, Mouse
-
免疫原:Recombinant Human Actin-like protein 7A protein (1-435AA)
-
免疫原種屬:Homo sapiens (Human)
-
標記方式:Non-conjugated
本頁面中的產品,ACTL7A Antibody (CSB-PA896747LA01HU),的標記方式是Non-conjugated。對于ACTL7A Antibody,我們還提供其他標記。見下表:
-
克隆類型:Polyclonal
-
抗體亞型:IgG
-
純化方式:>95%, Protein G purified
-
濃度:It differs from different batches. Please contact us to confirm it.
-
保存緩沖液:Preservative: 0.03% Proclin 300
Constituents: 50% Glycerol, 0.01M PBS, PH 7.4 -
產品提供形式:Liquid
-
應用范圍:ELISA, WB, IHC
-
推薦稀釋比:
Application Recommended Dilution WB 1:1000-1:5000 IHC 1:20-1:200 -
Protocols:
-
儲存條件:Upon receipt, store at -20°C or -80°C. Avoid repeated freeze.
-
貨期:Basically, we can dispatch the products out in 1-3 working days after receiving your orders. Delivery time maybe differs from different purchasing way or location, please kindly consult your local distributors for specific delivery time.
-
用途:For Research Use Only. Not for use in diagnostic or therapeutic procedures.
相關產品
靶點詳情
-
基因功能參考文獻:
- Anti-ACTL7a antibodies may cause infertility in mice because the in vitro treatment of mouse spermatozoa with ACTL7a antibody-containing serum markedly reduced the fertilizing potential of the spermatozoa. PMID: 22386842
- Molecular recognition of the Tes LIM2-3 domains by the actin-related protein Arp7A. PMID: 21278383
- The researchers found the 9q31 region is associated with adult height variation. PMID: 18720898
-
亞細胞定位:Cytoplasm, cytoskeleton. Golgi apparatus. Cytoplasm. Nucleus.
-
蛋白家族:Actin family
-
組織特異性:Strongly expressed in testis. Also expressed in other tissues.
-
數據庫鏈接:
Most popular with customers
-
-
YWHAB Recombinant Monoclonal Antibody
Applications: ELISA, WB, IHC, IF, FC
Species Reactivity: Human, Mouse, Rat
-
Phospho-YAP1 (S127) Recombinant Monoclonal Antibody
Applications: ELISA, WB, IHC
Species Reactivity: Human
-
-
-
-
-















