ACTA1 Antibody
-
中文名稱:ACTA1兔多克隆抗體
-
貨號:CSB-PA084581
-
規格:¥1100
-
圖片:
-
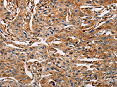
The image on the left is immunohistochemistry of paraffin-embedded Human liver cancer tissue using CSB-PA084581(ACTA1 Antibody) at dilution 1/65, on the right is treated with fusion protein. (Original magnification: ×200)
-
The image on the left is immunohistochemistry of paraffin-embedded Human lung cancer tissue using CSB-PA084581(ACTA1 Antibody) at dilution 1/65, on the right is treated with fusion protein. (Original magnification: ×200)
-
Gel: 10%SDS-PAGE, Lysate: 40 μg, Lane 1-2: Mouse muscle tissue, Mouse heart tissue, Primary antibody: CSB-PA084581(ACTA1 Antibody) at dilution 1/500, Secondary antibody: Goat anti rabbit IgG at 1/8000 dilution, Exposure time: 20 seconds
-
-
其他:
產品詳情
-
Uniprot No.:
-
基因名:
-
別名:a actin antibody; ACTA antibody; ACTA1 antibody; ACTA2 antibody; ACTC antibody; ACTC1 antibody; Actin antibody; ACTS_HUMAN antibody; ACTSA antibody; Alpha 2 actin antibody; alpha skeletal muscle antibody; Alpha-actin-1 antibody; Cardiac muscle alpha actin 1 antibody; Skeletal muscle alpha actin 1 antibody
-
宿主:Rabbit
-
反應種屬:Human,Mouse,Rat
-
免疫原:Fusion protein of Human ACTA1
-
免疫原種屬:Homo sapiens (Human)
-
標記方式:Non-conjugated
-
抗體亞型:IgG
-
純化方式:Antigen affinity purification
-
濃度:It differs from different batches. Please contact us to confirm it.
-
保存緩沖液:-20°C, pH7.4 PBS, 0.05% NaN3, 40% Glycerol
-
產品提供形式:Liquid
-
應用范圍:ELISA,WB,IHC
-
推薦稀釋比:
Application Recommended Dilution ELISA 1:2000-1:5000 WB 1:500-1:2000 IHC 1:50-1:200 -
Protocols:
-
儲存條件:Upon receipt, store at -20°C or -80°C. Avoid repeated freeze.
-
貨期:Basically, we can dispatch the products out in 1-3 working days after receiving your orders. Delivery time maybe differs from different purchasing way or location, please kindly consult your local distributors for specific delivery time.
-
用途:For Research Use Only. Not for use in diagnostic or therapeutic procedures.
相關產品
靶點詳情
-
功能:Actins are highly conserved proteins that are involved in various types of cell motility and are ubiquitously expressed in all eukaryotic cells.
-
基因功能參考文獻:
- Our study demonstrates that high ActA level is an independent prognosis factor of survival in cancer patients. More than a basic marker of the severity of the neoplastic disease or of the inflammatory process, ActA seems to influence survival by contributing to the development of cachexia and loss of skeletal muscle mass. PMID: 28712119
- The study confirmed ACTA1 mutations in four patients, including one with intranuclear rods, one with large intracytoplasmic aggregates, and two with nemaline intracytoplasmic rods. PMID: 28780987
- Study shows that clinically severe ACTA1-related myopathy can present with muscle morphological findings suggestive of cytoplasmic body myopathy in the absence of definite nemaline rods. PMID: 28416349
- Shorter than normal thin filament length contributes to the impaired force generation in patients with thin filament myopathy, but only in those who harbor specific mutations in NEB or ACTA1. PMID: 27074222
- Over-expression of TNC, SMA, and vimentin were significantly correlated with the lower overall survival in prostate cancer patients. PMID: 28341124
- ANA and ASMA evaluation in patients with liver transplantation and no history of autoimmune disease has no clinical relevance, since it varies in time and is not related to any risk factors or liver injury. Routine autoimmunity evaluation should be avoided. PMID: 28337446
- Upon actin engagement, the N-terminal "strap" and helix 1 are displaced from the vinculin tail helical bundle to mediate actin bundling. PMID: 26493222
- This study reported the new information on the frequency and phenotypes of congenital myopathy caused by ACTA1 mutations in subjects >/=5 years of age. PMID: 26172852
- The authors propose that Lpd delivers Ena/VASP proteins to growing barbed ends and increases their actin polymerase activity by tethering them to actin filaments. PMID: 26295568
- Mutations in ACTA1 can cause pathologic features consistent with myofibrillar myopathy. PMID: 25913210
- TIMP-1 significantly increased levels of alpha-SMA. PMID: 25895516
- novel homozygous recessive missense variant (c.460G>C, P.(Val154Leu)) was found in two brothers with infantile-onset congenital muscular dystrophy with rigid spine. PMID: 25182138
- Myopathy associated with zebra bodies is part of the spectrum of myopathies associated with the ACTA1 gene. PMID: 25747004
- New scapuloperoneal phenotype associated with an ACTA1 mutation. PMID: 25938801
- Antisynthetase syndrome-associated myositis is characterized by distinctive myonuclear actin filament inclusions. PMID: 25746564
- The predominant pathway mediated by Australian bat lyssavirus G envelope for internalization into HEK293T cells is clathrin-and actin-dependent also requiring Rab5. PMID: 24576301
- Data show that the width and speed of the waves depend counter-intuitively on parameters, negative feedback, and the F-actin time scale. PMID: 23831272
- Although most cases of severe infantile form of nemaline myopathy caused by ACTA1 mutations are sporadic and have no family history PMID: 24313005
- These findings suggest that the direct contact of Dengue virus 2 E protein with 43 kDa actin protein may have a crucial function in Dengue virus 2 infection of ECV304 cells. PMID: 23376163
- Myotonia in adult human skeletal actin transgenic mice may be explained on the basis of a mosaic expression of ClC-1 channels in different fibres and/or on alterations of other conductances. PMID: 23247112
- Respiratory muscles from an animal model of nemaline myopathy with an ACTA1 mutation show distinct muscle fiber weakness compared to limb muscles. PMID: 23656990
- The objective was to evaluate the presence and distribution of the lubricating and anti-adhesion glycoprotein lubricin and cells containing the contractile isoform smooth muscle alpha-actin (SMA) in pseudomembranes around loose hip prostheses. PMID: 23174700
- analysis of the pattern of of evolutionarily conserved basic and acidic residues that constitutes the binding interface of actin-tropomyosin PMID: 23420843
- Data show that GnRHR activation affected several cellular markers of locomotion, including actin organization and polymerization as well as active RhoA-GTP levels. PMID: 23176180
- Data indicate that actin nucleation on Chlamydia inclusions exhibited moderate depolymerization dynamics. PMID: 23071671
- The organization of actin and cytokeratin cytoskeleton and the expression of TCTP, p53,cyclin A, RhoA and actin in HIO180 non-transformed ovarian epithelial cells, and OVCAR3 and SKOV3 ovarian epithelial cancer cells, was studied. PMID: 23042265
- Data show that the urinary messenger RNA (mRNA) levels of alpha-smooth muscle actin (alpha-SMA), fibronectin, and matrix metalloproteinase-9 (MMP-9) were significantly higher in the diabetic nephropathy (DN) group, and mRNA levels increased with DN progression. PMID: 21824169
- High alpha-actin is associated with colorectal carcinogenesis. PMID: 21912905
- Over-expression of Nkx2.5 and/or cardiac alpha-actin inhibit the contraction ability of adipose tissue-derived stromal cells-derived cardiomyocytes. PMID: 21691712
- Platelets gal-1 forms an intracellular complex with monomeric actin. PMID: 22081313
- Herpesviruses exploit actin and actin-associated myosin motors for viral entry and virion egress. [review] PMID: 21994736
- CK2 regulates vaccinia virus dissemination and actin tail formation. PMID: 22209233
- Actin playes differential roles in trafficking of Epstein-Barr virus in B cells and epithelial cells. PMID: 22031939
- a link between extramuscular expression of alpha-skeletal muscle actin and clinical symptoms in non-skeletal muscle tissues of patients with ACTA1 mutations, and probably a functional role of alpha-skeletal muscle actin during fetal development PMID: 21514153
- The filopodium: a stable structure with highly regulated repetitive cycles of elongation and persistence depending on the actin cross-linker fascin PMID: 21975552
- Actin accumulates throughout the activated immunological synapse. PMID: 21931536
- Actin-EGFP and ezrin-EGFP accumulated below pilus-coated beads when force was applied. PMID: 21340023
- Data show that concurrent phosphorylation of cortactin by ERK1/2 and tyrosine kinases enables cells with the ability to regulate actin dynamics. PMID: 21079800
- BCL2 interaction with actin in vitro may inhibit cell motility by enhancing actin polymerization PMID: 20716950
- Results suggest that actin polymerization and bundling by VASP are critical for spine formation, expansion, and modulating synaptic strength. PMID: 20826790
- Centrosomal actin was detected with the anti-actin antibody 1C7 that recognizes antiparallel ("lower dimer") actin dimers. PMID: 21108927
- These findings demonstrated that PI3K-mediated actin rearrangements are required for Cronobacter sakazakii invasion of human brain microvascular endothelial cells. PMID: 20809254
- Results confirm that DNaseI-binding loop (D-loop) is involved in stabilization of skeletal muscle actin structure, both as monomers and filaments; actin is stabilized by ligands (by phalloidin, aluminum fluoride, & ATP [and to lesser extent by ADP]). PMID: 20718862
- Simultaneous tracking of both TCR clusters and GFP-actin speckles reveals their dynamic association and individual flow patterns. Actin retrograde flow directs the inward transport of TCR clusters PMID: 20686692
- We conclude that the Drosophila indirect flight muscles provide a good model system for studying ACTA1 mutations PMID: 20452215
- Data demonstrate for the first time that L-plastin contributes to the fine-tuning of actin turn-over, an activity which is regulated by Ser5 phosphorylation promoting its high affinity binding to the cytoskeleton. PMID: 20169155
- Podocyte BK(Ca) channels are regulated by synaptopodin, Rho, and actin microfilaments. PMID: 20630939
- these data identify NHS as a new regulator of actin remodelling. PMID: 20332100
- ACTA1 mutations are involved in fiber size disproportion in congenital myotonic dystrophy PMID: 20179953
- First insights of S100A10 function as a regulator of the filamentous actin network. PMID: 20100475
顯示更多
收起更多
-
相關疾病:Nemaline myopathy 3 (NEM3); Myopathy, actin, congenital, with excess of thin myofilaments (MPCETM); Myopathy, congenital, with fiber-type disproportion (CFTD); Myopathy, scapulohumeroperoneal (SHPM)
-
亞細胞定位:Cytoplasm, cytoskeleton.
-
蛋白家族:Actin family
-
數據庫鏈接:
Most popular with customers
-
-
YWHAB Recombinant Monoclonal Antibody
Applications: ELISA, WB, IHC, IF, FC
Species Reactivity: Human, Mouse, Rat
-
Phospho-YAP1 (S127) Recombinant Monoclonal Antibody
Applications: ELISA, WB, IHC
Species Reactivity: Human
-
-
-
-
-















