ACSBG1 Antibody
-
中文名稱:ACSBG1兔多克隆抗體
-
貨號:CSB-PA853424LA01HU
-
規格:¥440
-
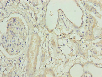
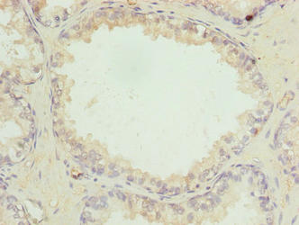
圖片:
-
其他:
產品詳情
-
產品名稱:Rabbit anti-Homo sapiens (Human) ACSBG1 Polyclonal antibody
-
Uniprot No.:
-
基因名:
-
別名:ACBG1_HUMAN antibody; ACSBG 1 antibody; ACSBG1 antibody; Acyl CoA synthetase bubblegum family member 1 antibody; Acyl-CoA synthetase bubblegum family member 1 antibody; BG antibody; BG1 antibody; BGM antibody; Bubblegum antibody; FLJ30320 antibody; GR LACS antibody; GRLACS antibody; hBG1 antibody; hsBG antibody; hsBGM antibody; KIAA0631 antibody; Lipidosin antibody; Lipodisin antibody; Long chain fatty acid CoA ligase ACSBG1 antibody; Long-chain-fatty-acid--CoA ligase ACSBG1 antibody; LPD antibody; MGC14352 antibody; Ortholog of rodent gonadotropin regulated long chain acyl CoA synthetase antibody; Very long chain acyl CoA synthetase antibody
-
宿主:Rabbit
-
反應種屬:Human
-
免疫原:Recombinant Human Long-chain-fatty-acid--CoA ligase ACSBG1 protein (351-600AA)
-
免疫原種屬:Homo sapiens (Human)
-
標記方式:Non-conjugated
本頁面中的產品,ACSBG1 Antibody (CSB-PA853424LA01HU),的標記方式是Non-conjugated。對于ACSBG1 Antibody,我們還提供其他標記。見下表:
-
克隆類型:Polyclonal
-
抗體亞型:IgG
-
純化方式:>95%, Protein G purified
-
濃度:It differs from different batches. Please contact us to confirm it.
-
保存緩沖液:Preservative: 0.03% Proclin 300
Constituents: 50% Glycerol, 0.01M PBS, PH 7.4 -
產品提供形式:Liquid
-
應用范圍:ELISA, IHC
-
推薦稀釋比:
Application Recommended Dilution IHC 1:20-1:200 -
Protocols:
-
儲存條件:Upon receipt, store at -20°C or -80°C. Avoid repeated freeze.
-
貨期:Basically, we can dispatch the products out in 1-3 working days after receiving your orders. Delivery time maybe differs from different purchasing way or location, please kindly consult your local distributors for specific delivery time.
-
用途:For Research Use Only. Not for use in diagnostic or therapeutic procedures.
相關產品
靶點詳情
-
功能:Catalyzes the conversion of fatty acids such as long-chain and very long-chain fatty acids to their active form acyl-CoAs for both synthesis of cellular lipids, and degradation via beta-oxidation. Can activate diverse saturated, monosaturated and polyunsaturated fatty acids.
-
基因功能參考文獻:
- expression tends to be correlated with the severity of X-linked adrenoleukodystrophy PMID: 15800013
-
亞細胞定位:Cytoplasm. Cytoplasmic vesicle. Microsome. Endoplasmic reticulum. Cell membrane.
-
蛋白家族:ATP-dependent AMP-binding enzyme family, Bubblegum subfamily
-
組織特異性:Expressed primarily in brain. Expressed at lower level in testis and adrenal gland. Present in all regions of brain except pituitary.
-
數據庫鏈接:
Most popular with customers
-
YWHAB Recombinant Monoclonal Antibody
Applications: ELISA, WB, IHC, IF, FC
Species Reactivity: Human, Mouse, Rat
-
Phospho-YAP1 (S127) Recombinant Monoclonal Antibody
Applications: ELISA, WB, IHC
Species Reactivity: Human
-
-
-
-
-
-















