ACRV1 Antibody
-
中文名稱:ACRV1兔多克隆抗體
-
貨號:CSB-PA001186DSR1HU
-
規格:¥440
-
圖片:
-
Western blot
All lanes: ACRV1 antibody at 4μg/ml
Lane 1: Mouse liver tissue
Lane 2: Mouse gonad tissue
Secondary
Goat polyclonal to rabbit IgG at 1/10000 dilution
Predicted band size: 29, 27, 23, 21, 20, 19, 18, 17, 14, 9 kDa
Observed band size: 29 kDa -
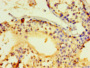
Immunohistochemistry of paraffin-embedded human testis tissue using CSB-PA001186DSR1HU at dilution of 1:100
-
-
其他:
產品詳情
-
產品名稱:Rabbit anti-Homo sapiens (Human) ACRV1 Polyclonal antibody
-
Uniprot No.:
-
基因名:ACRV1
-
別名:Acrosomal protein SP 10 antibody; Acrosomal protein SP-10 antibody; Acrosomal vesicle protein 1 antibody; ACRV1 antibody; ASPX_HUMAN antibody; D11S4365 antibody; Msa63 antibody; SP 10 antibody; Sp10 antibody; SPACA2 antibody; Sperm protein 10 antibody
-
宿主:Rabbit
-
反應種屬:Human, Mouse
-
免疫原:Recombinant Human Acrosomal protein SP-10 protein (22-265AA)
-
免疫原種屬:Homo sapiens (Human)
-
標記方式:Non-conjugated
-
克隆類型:Polyclonal
-
抗體亞型:IgG
-
純化方式:Antigen Affinity Purified
-
濃度:It differs from different batches. Please contact us to confirm it.
-
保存緩沖液:PBS with 0.02% sodium azide, 50% glycerol, pH7.3.
-
產品提供形式:Liquid
-
應用范圍:ELISA, WB, IHC
-
推薦稀釋比:
Application Recommended Dilution WB 1:500-1:2000 IHC 1:20-1:200 -
Protocols:
-
儲存條件:Upon receipt, store at -20°C or -80°C. Avoid repeated freeze.
-
貨期:Basically, we can dispatch the products out in 1-3 working days after receiving your orders. Delivery time maybe differs from different purchasing way or location, please kindly consult your local distributors for specific delivery time.
-
用途:For Research Use Only. Not for use in diagnostic or therapeutic procedures.
相關產品
靶點詳情
-
基因功能參考文獻:
- ACRV1 protein was predominantly located in round and elongated spermatids in testes, indicating that ACRV1 may play an important role in mammalian spermatogenesis PMID: 21488928
-
亞細胞定位:Cytoplasmic vesicle, secretory vesicle, acrosome. Note=Nascent acrosomal vesicle of Golgi phase spermatids.
-
組織特異性:Testis.
-
數據庫鏈接:
Most popular with customers
-
YWHAB Recombinant Monoclonal Antibody
Applications: ELISA, WB, IHC, IF, FC
Species Reactivity: Human, Mouse, Rat
-
Phospho-YAP1 (S127) Recombinant Monoclonal Antibody
Applications: ELISA, WB, IHC
Species Reactivity: Human
-
-
-
-
-
-















