ACR Antibody
-
中文名稱:ACR兔多克隆抗體
-
貨號:CSB-PA260955
-
規格:¥1100
-
圖片:
-
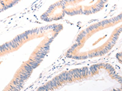
The image on the left is immunohistochemistry of paraffin-embedded Human colon cancer tissue using CSB-PA260955(ACR Antibody) at dilution 1/20, on the right is treated with synthetic peptide. (Original magnification: ×200)
-
Gel: 12%SDS-PAGE, Lysate: 50 μg, Lane: A549 cells, Primary antibody: CSB-PA260955(ACR Antibody) at dilution 1/200, Secondary antibody: Goat anti rabbit IgG at 1/8000 dilution, Exposure time: 40 seconds
-
-
其他:
產品詳情
-
Uniprot No.:
-
基因名:ACR
-
別名:Acr antibody; ACRO_HUMAN antibody; Acrosin heavy chain antibody; Acrosin precursor antibody; ACRS antibody; Preproacrosin antibody; Proacrosin antibody
-
宿主:Rabbit
-
反應種屬:Human
-
免疫原:Synthetic peptide of Human ACR
-
免疫原種屬:Homo sapiens (Human)
-
標記方式:Non-conjugated
-
抗體亞型:IgG
-
純化方式:Antigen affinity purification
-
濃度:It differs from different batches. Please contact us to confirm it.
-
保存緩沖液:-20°C, pH7.4 PBS, 0.05% NaN3, 40% Glycerol
-
產品提供形式:Liquid
-
應用范圍:ELISA,WB,IHC
-
推薦稀釋比:
Application Recommended Dilution ELISA 1:1000-1:2000 WB 1:200-1:1000 IHC 1:15-1:50 -
Protocols:
-
儲存條件:Upon receipt, store at -20°C or -80°C. Avoid repeated freeze.
-
貨期:Basically, we can dispatch the products out in 1-3 working days after receiving your orders. Delivery time maybe differs from different purchasing way or location, please kindly consult your local distributors for specific delivery time.
-
用途:For Research Use Only. Not for use in diagnostic or therapeutic procedures.
相關產品
靶點詳情
-
功能:Acrosin is the major protease of mammalian spermatozoa. It is a serine protease of trypsin-like cleavage specificity, it is synthesized in a zymogen form, proacrosin and stored in the acrosome.
-
基因功能參考文獻:
- Data indicate that the positive expression of studied genes fertilization rate for GAPDHS positive subset was 66%, ACR - 71%, SPATA22 - 68%, MND1 - 70%, pregnancy rates were 8%, 6%, 18% and 36% respectively. PMID: 23675907
- Sperm DNA damage is closely related with sperm-nucleoprotein transition, acrosin activity and seminal parameters. PMID: 23297503
- DNA immunization against proacrosin impairs fertility in male mice. PMID: 22452365
- Binding sites for recombinant human zona pellucida (ZP) glycoproteins located at the N- and C-termini of proacrosin reveal a key role of the proenzyme in the interaction. PMID: 15950651
-
蛋白家族:Peptidase S1 family
-
數據庫鏈接:
Most popular with customers
-
YWHAB Recombinant Monoclonal Antibody
Applications: ELISA, WB, IHC, IF, FC
Species Reactivity: Human, Mouse, Rat
-
Phospho-YAP1 (S127) Recombinant Monoclonal Antibody
Applications: ELISA, WB, IHC
Species Reactivity: Human
-
-
-
-
-
-















