ACPT Antibody
-
中文名稱:ACPT兔多克隆抗體
-
貨號:CSB-PA829218
-
規格:¥1100
-
圖片:
-
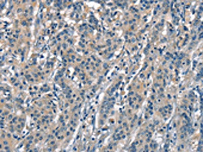
The image on the left is immunohistochemistry of paraffin-embedded Human thyroid cancer tissue using CSB-PA829218(ACPT Antibody) at dilution 1/30, on the right is treated with synthetic peptide. (Original magnification: ×200)
-
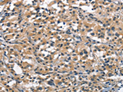
The image on the left is immunohistochemistry of paraffin-embedded Human gastric cancer tissue using CSB-PA829218(ACPT Antibody) at dilution 1/30, on the right is treated with synthetic peptide. (Original magnification: ×200)
-
-
其他:
產品詳情
-
Uniprot No.:
-
基因名:ACP4
-
別名:ACP4 antibody; ACPT antibody; Testicular acid phosphatase antibody; EC 3.1.3.2 antibody; Acid phosphatase 4 antibody
-
宿主:Rabbit
-
反應種屬:Human
-
免疫原:Synthetic peptide of Human ACPT
-
免疫原種屬:Homo sapiens (Human)
-
標記方式:Non-conjugated
-
抗體亞型:IgG
-
純化方式:Antigen affinity purification
-
濃度:It differs from different batches. Please contact us to confirm it.
-
保存緩沖液:-20°C, pH7.4 PBS, 0.05% NaN3, 40% Glycerol
-
產品提供形式:Liquid
-
應用范圍:ELISA,IHC
-
推薦稀釋比:
Application Recommended Dilution ELISA 1:1000-1:2000 IHC 1:25-1:100 -
Protocols:
-
儲存條件:Upon receipt, store at -20°C or -80°C. Avoid repeated freeze.
-
貨期:Basically, we can dispatch the products out in 1-3 working days after receiving your orders. Delivery time maybe differs from different purchasing way or location, please kindly consult your local distributors for specific delivery time.
-
用途:For Research Use Only. Not for use in diagnostic or therapeutic procedures.
相關產品
靶點詳情
-
功能:May dephosphorylate receptor tyrosine-protein kinase ERBB4 and inhibits its ligand-induced proteolytic cleavage. May play a role in odontogenesis.
-
基因功能參考文獻:
- ACPT missense mutation segregates with hypoplastic amelogenesis imperfecta in two unrelated families. PMID: 28513613
- ACPT biallelic mutations caused non-syndromic, generalized hypoplastic autosomal-recessive amelogenesis imperfecta in individuals from six unrelated Turkish families. Analysis of the ACPT crystal structure suggests that these mutations damaged the activity of ACPT by altering the sizes and charges of key amino acid side chains, limiting accessibility of the catalytic core, and interfering with homodimerization. PMID: 27843125
-
相關疾病:Amelogenesis imperfecta 1J (AI1J)
-
亞細胞定位:Membrane; Single-pass type I membrane protein.
-
蛋白家族:Histidine acid phosphatase family
-
組織特異性:Expressed mainly in the testis. Also expressed in the brain where they are enriched at the postsynaptic sites. Expressed at lower levels in the trachea, prostate, bone marrow, spinal cord, colon, fetal brain, heart, thymus, fetal liver, spleen, leukocytes
-
數據庫鏈接:
Most popular with customers
-
YWHAB Recombinant Monoclonal Antibody
Applications: ELISA, WB, IHC, IF, FC
Species Reactivity: Human, Mouse, Rat
-
Phospho-YAP1 (S127) Recombinant Monoclonal Antibody
Applications: ELISA, WB, IHC
Species Reactivity: Human
-
-
-
-
-
-















