ACP6 Antibody
-
中文名稱:ACP6兔多克隆抗體
-
貨號:CSB-PA196351
-
規格:¥1100
-
圖片:
-
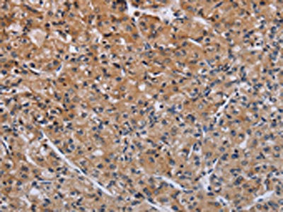
The image on the left is immunohistochemistry of paraffin-embedded Human gastic cancer tissue using CSB-PA196351(ACP6 Antibody) at dilution 1/50, on the right is treated with fusion protein. (Original magnification: ×200)
-
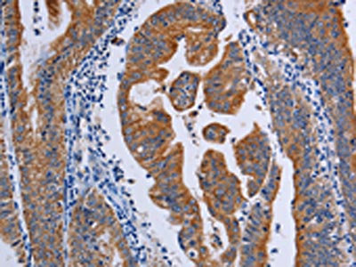
The image on the left is immunohistochemistry of paraffin-embedded Human prostate cancer tissue using CSB-PA196351(ACP6 Antibody) at dilution 1/50, on the right is treated with fusion protein. (Original magnification: ×200)
-
-
其他:
產品詳情
-
Uniprot No.:
-
基因名:ACP6
-
別名:Acid phosphatase 6 antibody; Acid phosphatase 6; lysophosphatidic antibody; Acid phosphatase like 1 antibody; Acid phosphatase like protein 1 antibody; Acid phosphatase-like protein 1 antibody; ACP6 antibody; ACPL1 antibody; LPAP antibody; Lysophosphatidic acid phosphatase 6 antibody; Lysophosphatidic acid phosphatase type 6 antibody; Lysophosphatidic acid phosphatase type 6 precursor antibody; lysophosphatidic antibody; PACPL1 antibody; PPA6_HUMAN antibody
-
宿主:Rabbit
-
反應種屬:Human
-
免疫原:Fusion protein of Human ACP6
-
免疫原種屬:Homo sapiens (Human)
-
標記方式:Non-conjugated
-
抗體亞型:IgG
-
純化方式:Antigen affinity purification
-
濃度:It differs from different batches. Please contact us to confirm it.
-
保存緩沖液:-20°C, pH7.4 PBS, 0.05% NaN3, 40% Glycerol
-
產品提供形式:Liquid
-
應用范圍:ELISA,IHC
-
推薦稀釋比:
Application Recommended Dilution ELISA 1:2000-1:5000 IHC 1:50-1:200 -
Protocols:
-
儲存條件:Upon receipt, store at -20°C or -80°C. Avoid repeated freeze.
-
貨期:Basically, we can dispatch the products out in 1-3 working days after receiving your orders. Delivery time maybe differs from different purchasing way or location, please kindly consult your local distributors for specific delivery time.
-
用途:For Research Use Only. Not for use in diagnostic or therapeutic procedures.
相關產品
靶點詳情
-
功能:Hydrolyzes lysophosphatidic acid (LPA) containing a medium length fatty acid chain to the corresponding monoacylglycerol. Has highest activity with lysophosphatidic acid containing myristate (C14:0), monounsaturated oleate (C18:1) or palmitate (C16:0), and lower activity with C18:0 and C6:0 lysophosphatidic acid.
-
基因功能參考文獻:
- structures and biochemical studies of human lysophosphatidic acid phosphatase type 6 PMID: 23807634
- acid phosphatase-like protein 1 from human intestinal tissue could be associated with interstitial cells of Cajal function ACPL1 PMID: 12010880
- Human seminal plasma contains this enzyme which converts lysophospholipids to lysophosphatidic acid. PMID: 15280042
-
亞細胞定位:Mitochondrion.
-
蛋白家族:Histidine acid phosphatase family
-
組織特異性:Highly expressed in kidney, heart, small intestine, muscle, liver, prostate, testis, ovary and weakly expressed in thymus and colon.
-
數據庫鏈接:
Most popular with customers
-
-
YWHAB Recombinant Monoclonal Antibody
Applications: ELISA, WB, IHC, IF, FC
Species Reactivity: Human, Mouse, Rat
-
Phospho-YAP1 (S127) Recombinant Monoclonal Antibody
Applications: ELISA, WB, IHC
Species Reactivity: Human
-
-
-
-
-















