ACOT2 Antibody
-
中文名稱:ACOT2兔多克隆抗體
-
貨號:CSB-PA035040
-
規格:¥1100
-
圖片:
-
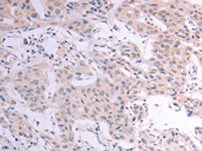
The image on the left is immunohistochemistry of paraffin-embedded Human thyroid cancer tissue using CSB-PA035040(ACOT2 Antibody) at dilution 1/15, on the right is treated with fusion protein. (Original magnification: ×200)
-
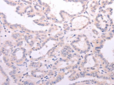
The image on the left is immunohistochemistry of paraffin-embedded Human lung cancer tissue using CSB-PA035040(ACOT2 Antibody) at dilution 1/15, on the right is treated with fusion protein. (Original magnification: ×200)
-
Gel: 8%SDS-PAGE, Lysate: 40 μg, Lane: MCF7 cells, Primary antibody: CSB-PA035040(ACOT2 Antibody) at dilution 1/150, Secondary antibody: Goat anti rabbit IgG at 1/8000 dilution, Exposure time: 30 minutes
-
-
其他:
產品詳情
-
Uniprot No.:
-
基因名:
-
別名:ACOT2 antibody; PTE2 antibody; PTE2AAcyl-coenzyme A thioesterase 2 antibody; mitochondrial antibody; Acyl-CoA thioesterase 2 antibody; EC 3.1.2.2 antibody; Acyl-coenzyme A thioester hydrolase 2a antibody; CTE-Ia antibody; Long-chain acyl-CoA thioesterase 2 antibody; ZAP128 antibody
-
宿主:Rabbit
-
反應種屬:Human
-
免疫原:Fusion protein of Human ACOT2
-
免疫原種屬:Homo sapiens (Human)
-
標記方式:Non-conjugated
-
抗體亞型:IgG
-
純化方式:Antigen affinity purification
-
濃度:It differs from different batches. Please contact us to confirm it.
-
保存緩沖液:-20°C, pH7.4 PBS, 0.05% NaN3, 40% Glycerol
-
產品提供形式:Liquid
-
應用范圍:ELISA,WB,IHC
-
推薦稀釋比:
Application Recommended Dilution ELISA 1:500-1:2000 WB 1:100-1:500 IHC 1:5-1:20 -
Protocols:
-
儲存條件:Upon receipt, store at -20°C or -80°C. Avoid repeated freeze.
-
貨期:Basically, we can dispatch the products out in 1-3 working days after receiving your orders. Delivery time maybe differs from different purchasing way or location, please kindly consult your local distributors for specific delivery time.
-
用途:For Research Use Only. Not for use in diagnostic or therapeutic procedures.
相關產品
靶點詳情
-
功能:Catalyzes the hydrolysis of acyl-CoAs into free fatty acids and coenzyme A (CoASH), regulating their respective intracellular levels. Displays higher activity toward long chain acyl CoAs (C14-C20). The enzyme is involved in enhancing the hepatic fatty acid oxidation in mitochondria.
-
基因功能參考文獻:
- the crystal structure at 2.1A resolution of human mitochondrial ACOT2, a type I enzyme is reported. PMID: 19497300
-
亞細胞定位:Mitochondrion.
-
蛋白家族:C/M/P thioester hydrolase family
-
組織特異性:Strongest expression in heart, liver, muscle and kidney. Weak in placenta and pancreas.
-
數據庫鏈接:
Most popular with customers
-
-
YWHAB Recombinant Monoclonal Antibody
Applications: ELISA, WB, IHC, IF, FC
Species Reactivity: Human, Mouse, Rat
-
Phospho-YAP1 (S127) Recombinant Monoclonal Antibody
Applications: ELISA, WB, IHC
Species Reactivity: Human
-
-
-
-
-















