ACOT11 Antibody
-
中文名稱:ACOT11兔多克隆抗體
-
貨號:CSB-PA998335
-
規格:¥1100
-
圖片:
-
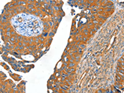
The image on the left is immunohistochemistry of paraffin-embedded Human cervical cancer tissue using CSB-PA998335(ACOT11 Antibody) at dilution 1/40, on the right is treated with fusion protein. (Original magnification: ×200)
-
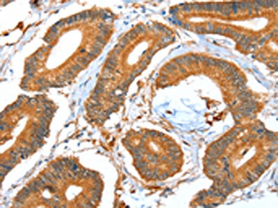
The image on the left is immunohistochemistry of paraffin-embedded Human colon cancer tissue using CSB-PA998335(ACOT11 Antibody) at dilution 1/40, on the right is treated with fusion protein. (Original magnification: ×200)
-
Gel: 8%SDS-PAGE, Lysate: 40 μg, Lane 1-2: Human liver cancer tissue, Human fetal kidney tissue, Primary antibody: CSB-PA998335(ACOT11 Antibody) at dilution 1/650, Secondary antibody: Goat anti rabbit IgG at 1/8000 dilution, Exposure time: 90 seconds
-
-
其他:
產品詳情
-
Uniprot No.:
-
基因名:ACOT11
-
別名:ACO11_HUMAN antibody; ACOT 11 antibody; ACOT11 antibody; Acyl CoA thioester hydrolase 11 antibody; Acyl CoA thioesterase 11 antibody; Acyl coenzyme A thioesterase 11 antibody; Acyl-CoA thioester hydrolase 11 antibody; Acyl-CoA thioesterase 11 antibody; Acyl-coenzyme A thioesterase 11 antibody; Adipose associated thioesterase antibody; Adipose-associated thioesterase antibody; BFIT 1 antibody; BFIT 2 antibody; BFIT antibody; BFIT1 antibody; BFIT2 antibody; Brown fat inducible thioesterase antibody; Brown fat-inducible thioesterase antibody; KIAA0707 antibody; OTTHUMP00000046722 antibody; StAR related lipid transfer (START) domain containing 14 antibody; STARD 14 antibody; STARD14 antibody; START domain containing 14 antibody; THEA antibody; THEM 1 antibody; THEM1 antibody; Thioesterase adipose associated antibody; Thioesterase superfamily member 1 antibody
-
宿主:Rabbit
-
反應種屬:Human,Mouse
-
免疫原:Fusion protein of Human ACOT11
-
免疫原種屬:Homo sapiens (Human)
-
標記方式:Non-conjugated
-
抗體亞型:IgG
-
純化方式:Antigen affinity purification
-
濃度:It differs from different batches. Please contact us to confirm it.
-
保存緩沖液:-20°C, pH7.4 PBS, 0.05% NaN3, 40% Glycerol
-
產品提供形式:Liquid
-
應用范圍:ELISA,WB,IHC
-
推薦稀釋比:
Application Recommended Dilution ELISA 1:2000-1:5000 WB 1:500-1:2000 IHC 1:50-1:200 -
Protocols:
-
儲存條件:Upon receipt, store at -20°C or -80°C. Avoid repeated freeze.
-
貨期:Basically, we can dispatch the products out in 1-3 working days after receiving your orders. Delivery time maybe differs from different purchasing way or location, please kindly consult your local distributors for specific delivery time.
-
用途:For Research Use Only. Not for use in diagnostic or therapeutic procedures.
相關產品
靶點詳情
-
功能:Has an acyl-CoA thioesterase activity with a preference for the long chain fatty acyl-CoA thioesters hexadecanoyl-CoA/palmitoyl-CoA and tetradecanoyl-CoA/myristoyl-CoA which are the main substrates in the mitochondrial beta-oxidation pathway.
-
基因功能參考文獻:
- The N-terminal region of human fat inducible thioesterase variant 2 constitutes a mitochondrial location signal sequence, which undergoes mitochondrion-dependent posttranslational cleavage. PMID: 22897136
- BFIT supports the transition of thermogenic brown adipose tissue towards increased metabolic activity, probably through alteration of intracellular fatty acyl-CoA concentration. PMID: 11696000
-
亞細胞定位:Mitochondrion matrix. Cytoplasm.
-
組織特異性:Isoform 1 is predominantly expressed in skeletal muscle, liver, testis, stomach, spleen, lung and brain. Isoform 2 is predominantly expressed in kidney, uterus, hibernoma and white adipose tissue.
-
數據庫鏈接:
Most popular with customers
-
-
YWHAB Recombinant Monoclonal Antibody
Applications: ELISA, WB, IHC, IF, FC
Species Reactivity: Human, Mouse, Rat
-
Phospho-YAP1 (S127) Recombinant Monoclonal Antibody
Applications: ELISA, WB, IHC
Species Reactivity: Human
-
-
-
-
-















