ACBD4 Antibody
-
中文名稱:ACBD4兔多克隆抗體
-
貨號:CSB-PA818758LA01HU
-
規格:¥440
-
圖片:
-
Western blot
All lanes: ACBD4 antibody at 2µg/ml
Lane 1: Mouse kidney tissue
Lane 2: Mouse liver tissue
Secondary
Goat polyclonal to rabbit IgG at 1/10000 dilution
Predicted band size: 31, 35, 38 kDa
Observed band size: 31 kDa -
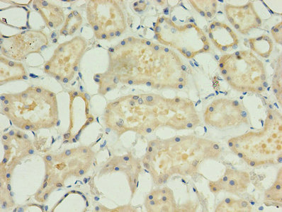
Immunohistochemistry of paraffin-embedded human kidney tissue using CSB-PA818758LA01HU at dilution of 1:100
-
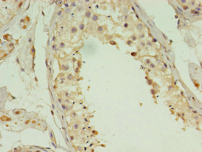
Immunohistochemistry of paraffin-embedded human testis tissue using CSB-PA818758LA01HU at dilution of 1:100
-
-
其他:
產品詳情
-
產品名稱:Rabbit anti-Homo sapiens (Human) ACBD4 Polyclonal antibody
-
Uniprot No.:
-
基因名:ACBD4
-
別名:ACBD 4 antibody; ACBD4 antibody; ACBD4_HUMAN antibody; Acyl CoA binding domain containing protein 4 antibody; Acyl coenzyme A binding domain containing 4 antibody; Acyl-CoA-binding domain-containing protein 4 antibody
-
宿主:Rabbit
-
反應種屬:Human, Mouse
-
免疫原:Recombinant Human Acyl-CoA-binding domain-containing protein 4 protein (1-305AA)
-
免疫原種屬:Homo sapiens (Human)
-
標記方式:Non-conjugated
本頁面中的產品,ACBD4 Antibody (CSB-PA818758LA01HU),的標記方式是Non-conjugated。對于ACBD4 Antibody,我們還提供其他標記。見下表:
-
克隆類型:Polyclonal
-
抗體亞型:IgG
-
純化方式:>95%, Protein G purified
-
濃度:It differs from different batches. Please contact us to confirm it.
-
保存緩沖液:Preservative: 0.03% Proclin 300
Constituents: 50% Glycerol, 0.01M PBS, PH 7.4 -
產品提供形式:Liquid
-
應用范圍:ELISA, WB, IHC
-
推薦稀釋比:
Application Recommended Dilution WB 1:500-1:2000 IHC 1:20-1:200 -
Protocols:
-
儲存條件:Upon receipt, store at -20°C or -80°C. Avoid repeated freeze.
-
貨期:Basically, we can dispatch the products out in 1-3 working days after receiving your orders. Delivery time maybe differs from different purchasing way or location, please kindly consult your local distributors for specific delivery time.
-
用途:For Research Use Only. Not for use in diagnostic or therapeutic procedures.
相關產品
靶點詳情
-
功能:Binds medium- and long-chain acyl-CoA esters and may function as an intracellular carrier of acyl-CoA esters.
-
基因功能參考文獻:
- acyl-CoA binding domain protein 4 (ACBD4) as a tail-anchored peroxisomal membrane protein which interacts with the endoplasmic reticulum (ER) protein, vesicle-associated membrane protein-associated protein-B (VAPB) to promote peroxisome-ER associations. PMID: 28463579
-
數據庫鏈接:
Most popular with customers
-
-
YWHAB Recombinant Monoclonal Antibody
Applications: ELISA, WB, IHC, IF, FC
Species Reactivity: Human, Mouse, Rat
-
Phospho-YAP1 (S127) Recombinant Monoclonal Antibody
Applications: ELISA, WB, IHC
Species Reactivity: Human
-
-
-
-
-















