ACAD11 Antibody
-
中文名稱:ACAD11兔多克隆抗體
-
貨號:CSB-PA597950
-
規格:¥1100
-
圖片:
-
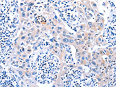
The image on the left is immunohistochemistry of paraffin-embedded Human colon cancer tissue using CSB-PA597950(ACAD11 Antibody) at dilution 1/15, on the right is treated with fusion protein. (Original magnification: ×200)
-
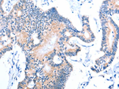
The image on the left is immunohistochemistry of paraffin-embedded Human lung cancer tissue using CSB-PA597950(ACAD11 Antibody) at dilution 1/15, on the right is treated with fusion protein. (Original magnification: ×200)
-
Gel: 8%SDS-PAGE, Lysate: 40 μg, Lane: Human fetal liver tissue, Primary antibody: CSB-PA597950(ACAD11 Antibody) at dilution 1/300, Secondary antibody: Goat anti rabbit IgG at 1/8000 dilution, Exposure time: 1 minute
-
-
其他:
產品詳情
-
Uniprot No.:
-
基因名:ACAD11
-
別名:5730439E10Rik antibody; 62113 protein antibody; ACAD 11 antibody; ACAD-11 antibody; Acad11 antibody; ACD11_HUMAN antibody; Acyl CoA dehydrogenase family member 11 antibody; Acyl Coenzyme A dehydrogenase family member 11 antibody; Acyl-CoA dehydrogenase family member 11 antibody; AI987948 antibody; FLJ12592 antibody; MGC150619 antibody; Putative acyl CoA dehydrogenase antibody; RGD1306270 antibody
-
宿主:Rabbit
-
反應種屬:Human,Rat
-
免疫原:Fusion protein of Human ACAD11
-
免疫原種屬:Homo sapiens (Human)
-
標記方式:Non-conjugated
-
抗體亞型:IgG
-
純化方式:Antigen affinity purification
-
濃度:It differs from different batches. Please contact us to confirm it.
-
保存緩沖液:-20°C, pH7.4 PBS, 0.05% NaN3, 40% Glycerol
-
產品提供形式:Liquid
-
應用范圍:ELISA,WB,IHC
-
推薦稀釋比:
Application Recommended Dilution ELISA 1:1000-1:2000 WB 1:200-1:1000 IHC 1:15-1:50 -
Protocols:
-
儲存條件:Upon receipt, store at -20°C or -80°C. Avoid repeated freeze.
-
貨期:Basically, we can dispatch the products out in 1-3 working days after receiving your orders. Delivery time maybe differs from different purchasing way or location, please kindly consult your local distributors for specific delivery time.
-
用途:For Research Use Only. Not for use in diagnostic or therapeutic procedures.
相關產品
靶點詳情
-
功能:Acyl-CoA dehydrogenase, that exhibits maximal activity towards saturated C22-CoA. Probably participates in beta-oxydation and energy production but could also play a role in the metabolism of specific fatty acids to control fatty acids composition of cellular lipids in brain (Probable).
-
基因功能參考文獻:
- Acad11, encoding a protein involved in fatty acid oxidation, is required for efficient OXPHOS and cell survival upon glucose starvation. PMID: 25704813
- ACAD11 utilizes substrates with primary carbon chain lengths between 20 and 26, with optimal activity towards C22CoA PMID: 21237683
-
亞細胞定位:Peroxisome. Mitochondrion membrane.
-
蛋白家族:Acyl-CoA dehydrogenase family
-
組織特異性:Widely expressed with highest levels in brain followed by liver, heart and kidney.
-
數據庫鏈接:
Most popular with customers
-
-
YWHAB Recombinant Monoclonal Antibody
Applications: ELISA, WB, IHC, IF, FC
Species Reactivity: Human, Mouse, Rat
-
Phospho-YAP1 (S127) Recombinant Monoclonal Antibody
Applications: ELISA, WB, IHC
Species Reactivity: Human
-
-
-
-
-















