ABI3BP Antibody
-
中文名稱:ABI3BP兔多克隆抗體
-
貨號:CSB-PA970308
-
規格:¥1100
-
圖片:
-
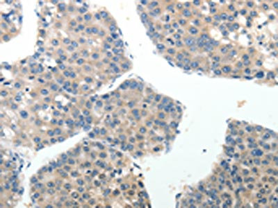
The image on the left is immunohistochemistry of paraffin-embedded Human liver cancer tissue using CSB-PA970308(ABI3BP Antibody) at dilution 1/20, on the right is treated with synthetic peptide. (Original magnification: ×200)
-
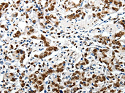
The image on the left is immunohistochemistry of paraffin-embedded Human gastric cancer tissue using CSB-PA970308(ABI3BP Antibody) at dilution 1/20, on the right is treated with synthetic peptide. (Original magnification: ×200)
-
-
其他:
產品詳情
-
Uniprot No.:
-
基因名:ABI3BP
-
別名:ABI gene family member 3 (NESH) binding protein antibody; ABI gene family member 3 binding protein antibody; ABI gene family member 3-binding protein antibody; ABI3BP antibody; FLJ41743 antibody; FLJ41754 antibody; Nesh binding protein antibody; Nesh BP antibody; Nesh-binding protein antibody; NeshBP antibody; Target of Nesh SH3 antibody; Target of Nesh-SH3 antibody; Tarsh antibody; TARSH_HUMAN antibody
-
宿主:Rabbit
-
反應種屬:Human
-
免疫原:Synthetic peptide of Human ABI3BP
-
免疫原種屬:Homo sapiens (Human)
-
標記方式:Non-conjugated
-
抗體亞型:IgG
-
純化方式:Antigen affinity purification
-
濃度:It differs from different batches. Please contact us to confirm it.
-
保存緩沖液:-20°C, pH7.4 PBS, 0.05% NaN3, 40% Glycerol
-
產品提供形式:Liquid
-
應用范圍:ELISA,IHC
-
推薦稀釋比:
Application Recommended Dilution ELISA 1:1000-1:5000 IHC 1:15-1:50 -
Protocols:
-
儲存條件:Upon receipt, store at -20°C or -80°C. Avoid repeated freeze.
-
貨期:Basically, we can dispatch the products out in 1-3 working days after receiving your orders. Delivery time maybe differs from different purchasing way or location, please kindly consult your local distributors for specific delivery time.
-
用途:For Research Use Only. Not for use in diagnostic or therapeutic procedures.
相關產品
靶點詳情
-
基因功能參考文獻:
- ABI3BP is a susceptibility gene for Kashin-Beck disease in the Chinese Han population. PMID: 24442417
- Thus, TARSH presumably represents a trigger gene for evoking cellular senescence, which has also been suggested to be involved in the prevention of tumorigenesis. PMID: 15752759
- expression of TARSH mRNA is remarkably downregulated in all lung cancer cell lines examined; also TARSH expression was significantly low in all of the tumor specimens when compared to the expression in corresponding non-neoplastic lung tissue specimens PMID: 16205947
- The loss of ABI3BP expression could play a functional role in thyroid tumorigenesis. PMID: 18559958
- These results suggest that TARSH plays an important role in proliferation of replicative senescence and may serve as a trigger of tumor development. PMID: 19338757
顯示更多
收起更多
-
相關疾病:Defects in ABI3BP has been found in a patient with isolated coloboma, a defect of the eye characterized by the absence of ocular structures due to abnormal morphogenesis of the optic cup and stalk, and the fusion of the fetal fissure (optic fissure). Isolated colobomas may be associated with an abnormally small eye (microphthalmia) or small cornea.
-
亞細胞定位:Secreted.
-
組織特異性:Expressed in brain, heart, lung, liver, pancreas kidney and placenta.
-
數據庫鏈接:
Most popular with customers
-
-
YWHAB Recombinant Monoclonal Antibody
Applications: ELISA, WB, IHC, IF, FC
Species Reactivity: Human, Mouse, Rat
-
Phospho-YAP1 (S127) Recombinant Monoclonal Antibody
Applications: ELISA, WB, IHC
Species Reactivity: Human
-
-
-
-
-















