ABHD12 Antibody
-
中文名稱:ABHD12兔多克隆抗體
-
貨號:CSB-PA022733
-
規格:¥1100
-
圖片:
-
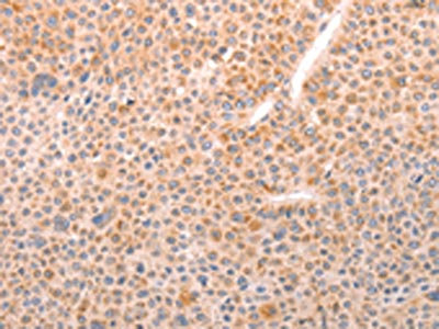
The image on the left is immunohistochemistry of paraffin-embedded Human thyroid cancer tissue using CSB-PA022733(ABHD12 Antibody) at dilution 1/25, on the right is treated with fusion protein. (Original magnification: ×200)
-
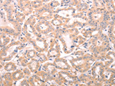
The image on the left is immunohistochemistry of paraffin-embedded Human liver cancer tissue using CSB-PA022733(ABHD12 Antibody) at dilution 1/25, on the right is treated with fusion protein. (Original magnification: ×200)
-
-
其他:
產品詳情
-
Uniprot No.:
-
基因名:ABHD12
-
別名:2-arachidonoylglycerol hydrolase antibody; 6330583M11Rik antibody; ABD12_HUMAN antibody; ABHD12 antibody; ABHD12A antibody; Abhydrolase domain containing protein 12 antibody; Abhydrolase domain-containing protein 12 antibody; AI431047 antibody; AW547313 antibody; BEM46L2 antibody; C20orf22 antibody; Monoacylglycerol lipase ABHD12 antibody; RP23-241M12.2 antibody
-
宿主:Rabbit
-
反應種屬:Human,Mouse,Rat
-
免疫原:Fusion protein of Human ABHD12
-
免疫原種屬:Homo sapiens (Human)
-
標記方式:Non-conjugated
-
抗體亞型:IgG
-
純化方式:Antigen affinity purification
-
濃度:It differs from different batches. Please contact us to confirm it.
-
保存緩沖液:-20°C, pH7.4 PBS, 0.05% NaN3, 40% Glycerol
-
產品提供形式:Liquid
-
應用范圍:ELISA,IHC
-
推薦稀釋比:
Application Recommended Dilution ELISA 1:2000-1:5000 IHC 1:25-1:100 -
Protocols:
-
儲存條件:Upon receipt, store at -20°C or -80°C. Avoid repeated freeze.
-
貨期:Basically, we can dispatch the products out in 1-3 working days after receiving your orders. Delivery time maybe differs from different purchasing way or location, please kindly consult your local distributors for specific delivery time.
-
用途:For Research Use Only. Not for use in diagnostic or therapeutic procedures.
相關產品
靶點詳情
-
功能:Lysophosphatidylserine (LPS) lipase that mediates the hydrolysis of lysophosphatidylserine, a class of signaling lipids that regulates immunological and neurological processes. Represents a major lysophosphatidylserine lipase in the brain, thereby playing a key role in the central nervous system. Also able to hydrolyze oxidized phosphatidylserine; oxidized phosphatidylserine is produced in response to severe inflammatory stress and constitutes a proapoptotic 'eat me' signal. Also has monoacylglycerol (MAG) lipase activity: hydrolyzes 2-arachidonoylglycerol (2-AG), thereby acting as a regulator of endocannabinoid signaling pathways. Has a strong preference for very-long-chain lipid substrates; substrate specificity is likely due to improved catalysis and not improved substrate binding.
-
基因功能參考文獻:
- This study presented the various mutation of ABHD12 responsible for PHARC syndrome. PMID: 28448692
- Study identified a new missense mutation, p.T253R, in ABHD12, which is functionally linked to the neurodegenerative disease PHARC (polyneuropathy, hearing loss, ataxia, retinitis pigmentosa, and early-onset cataract), as demonstrated by its deactivation of monoacylglycerol lipase activity and inability to rescue zebrafish abhd12 knockdown phenotypes. PMID: 27890673
- ABHD12 mutation in 2 PHARC (Polyneuropathy, Hearing Loss, Ataxia, Retinitis Pigmentosa, And Cataract)patients who suffered from deaf-blindness and dysfunctional central and peripheral nervous systems. PMID: 25743180
- Null mutations in the ABHD12 gene lead to PHARC syndrome, a neurodegenerative disease including polyneuropathy, hearing loss, cerebellar ataxia, RP, and early-onset cataract. Our study allowed us to report 5 new mutations in ABHD12. PMID: 24697911
- This is the first report of compound heterozygosity in PHARC and the first study to describe how a mutation might affect ABHD12 expression and function. PMID: 24027063
- ABHD12 mutations are not a frequent cause of ataxia at least in Southern Italy PMID: 23490117
- After the identification of the ABHD12 mutation in this family, one patient underwent neurological examination which revealed ataxia, but no polyneuropathy PMID: 22938382
- Data show that the three hydrolases are genuine MAG lipases; medium-chain saturated MAGs were the best substrates for hABHD6 and hMAGL, whereas hABHD12 preferred the 1 (3)- and 2-isomers of arachidonoylglycerol. PMID: 22969151
- Mutations in the ABHD12 gene cause polyneuropathy, hearing loss, ataxia, retinitis pigmentosa, and cataract disease. PMID: 20797687
顯示更多
收起更多
-
相關疾病:Polyneuropathy, hearing loss, ataxia, retinitis pigmentosa, and cataract (PHARC)
-
亞細胞定位:Endoplasmic reticulum membrane; Single-pass membrane protein.
-
蛋白家族:Serine esterase family
-
數據庫鏈接:
Most popular with customers
-
YWHAB Recombinant Monoclonal Antibody
Applications: ELISA, WB, IHC, IF, FC
Species Reactivity: Human, Mouse, Rat
-
Phospho-YAP1 (S127) Recombinant Monoclonal Antibody
Applications: ELISA, WB, IHC
Species Reactivity: Human
-
-
-
-
-
-















