ABCD2 Antibody
-
中文名稱:ABCD2兔多克隆抗體
-
貨號:CSB-PA866202LA01HU
-
規格:¥440
-
圖片:
-
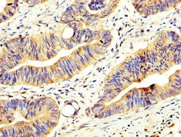
IHC image of CSB-PA866202LA01HU diluted at 1:200 and staining in paraffin-embedded human colon cancer performed on a Leica BondTM system. After dewaxing and hydration, antigen retrieval was mediated by high pressure in a citrate buffer (pH 6.0). Section was blocked with 10% normal goat serum 30min at RT. Then primary antibody (1% BSA) was incubated at 4°C overnight. The primary is detected by a biotinylated secondary antibody and visualized using an HRP conjugated SP system.
-
-
其他:
產品詳情
-
產品名稱:Rabbit anti-Homo sapiens (Human) ABCD2 Polyclonal antibody
-
Uniprot No.:
-
基因名:ABCD2
-
別名:ABCD2; ALD1; ALDL1; ALDR; ALDRP; ATP-binding cassette sub-family D member 2; Adrenoleukodystrophy-like 1; Adrenoleukodystrophy-related protein; hALDR
-
宿主:Rabbit
-
反應種屬:Human
-
免疫原:Recombinant Human ATP-binding cassette sub-family D member 2 protein (559-715AA)
-
免疫原種屬:Homo sapiens (Human)
-
標記方式:Non-conjugated
本頁面中的產品,ABCD2 Antibody (CSB-PA866202LA01HU),的標記方式是Non-conjugated。對于ABCD2 Antibody,我們還提供其他標記。見下表:
-
克隆類型:Polyclonal
-
抗體亞型:IgG
-
純化方式:>95%, Protein G purified
-
濃度:It differs from different batches. Please contact us to confirm it.
-
保存緩沖液:Preservative: 0.03% Proclin 300
Constituents: 50% Glycerol, 0.01M PBS, pH 7.4 -
產品提供形式:Liquid
-
應用范圍:ELISA, IHC
-
推薦稀釋比:
Application Recommended Dilution IHC 1:200-1:500 -
Protocols:
-
儲存條件:Upon receipt, store at -20°C or -80°C. Avoid repeated freeze.
-
貨期:Basically, we can dispatch the products out in 1-3 working days after receiving your orders. Delivery time maybe differs from different purchasing way or location, please kindly consult your local distributors for specific delivery time.
-
用途:For Research Use Only. Not for use in diagnostic or therapeutic procedures.
相關產品
靶點詳情
-
功能:ATP-dependent transporter of the ATP-binding cassette (ABC) family involved in the transport of very long chain fatty acid (VLCFA)-CoA from the cytosol to the peroxisome lumen. Like ABCD1 seems to have fatty acyl-CoA thioesterase (ACOT) and ATPase activities, according to this model, VLCFA-CoA as free VLCFA is transpoted in an ATP-dependent manner into peroxisomes after the hydrolysis of VLCFA-CoA mediated by the ACOT activity of ABCD2 (Probable). Shows overlapping substrate specificities with ABCD1 toward saturated fatty acids (FA) and monounsaturated FA (MUFA) but has a distinct substrate preference for shorter VLCFA (C22:0) and polyunsaturated fatty acid (PUFA) such as C22:6-CoA and C24:6-CoA (in vitro). Thus, may play a role in regulation of VLCFAs and energy metabolism namely, in the degradation and biosynthesis of fatty acids by beta-oxidation.
-
基因功能參考文獻:
- The functional integrity of ABCD2 may play an important role in OA pathogenesis via the accumulation of VLCFAs and stimulation of apoptotic death through altering profiles of miRNAs that target ACSL4. PMID: 30264402
- 13-cis-retinoic acid induces ABCD2 expression in human monocytes/macrophages. PMID: 25079382
- ABCD2 has a role, but not a strong one, in risk of early recurrent events after transient ischemic attack PMID: 25604068
- results show that although patients with ABCD2 score greater than 4 were more likely to develop recurrent TIA/CVA in short term, those with lesser score still harbour a considerable risk for TIA/CVA PMID: 24338191
- The transcriptional activity of the ABCD2 promoter was strongly increased by ectopic expression of beta-catenin and TCF-4. PMID: 23437103
- LXRalpha is a negative modulator of Abcd2, acting through a novel regulatory mechanism involving overlapping SREBP and LXRalpha binding sites PMID: 16249184
- Testosterone metabolites increased expression of ABCD2 mRNA in fibroblasts from X-linked adrenoleukodystrophy patients. PMID: 17602313
- These findings are of particular importance for the attempt of pharmacological induction of ABCD2 as a possible therapeutic approach in X-linked adrenoleukodystrophy. PMID: 18834860
- LDRP (ABCD2) interacts with both farnesylated wild-type and farnesylation-deficient mutant PEX19. This interaction is mediated by amino acids 1-218 of ALDRP. PMID: 10777694
- ALDRP (ABCD2) homodimerizes via the C terminal half. This interaction is modelled on the demonstrated homodimerization of murine ALDRP (ABCD2). PMID: 10551832
- ALDRP interacts with PMP70. This interaction occurs via the ALDRP C-terminus [374-740] and the PMP70 C-terminus [338-659]. This interaction was demonstrated using human PMP70 and mouse ALDRP. PMID: 10551832
- ALDRP interacts with PEX19 splice variants PEX19-delta-E2 and PEX19-delta-E8. PMID: 11883941
顯示更多
收起更多
-
亞細胞定位:Peroxisome membrane; Multi-pass membrane protein.
-
蛋白家族:ABC transporter superfamily, ABCD family, Peroxisomal fatty acyl CoA transporter (TC 3.A.1.203) subfamily
-
組織特異性:Predominantly expressed in brain and heart.
-
數據庫鏈接:
Most popular with customers
-
-
YWHAB Recombinant Monoclonal Antibody
Applications: ELISA, WB, IHC, IF, FC
Species Reactivity: Human, Mouse, Rat
-
Phospho-YAP1 (S127) Recombinant Monoclonal Antibody
Applications: ELISA, WB, IHC
Species Reactivity: Human
-
-
-
-
-















